万千商家帮你免费找货
0 人在求购买到急需产品
- 详细信息
- 询价记录
- 文献和实验
- 技术资料
- 提供商:
深圳市拓普生物科技有限公司
- 服务名称:
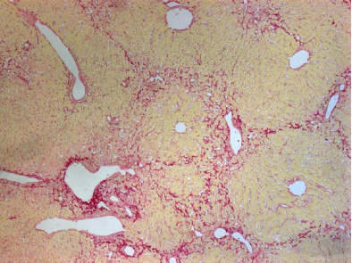
CCl4诱导性肝硬化模型
CCl4是最常用于CM 诱导的化学物质,CCl4进入机体后,首先经肝细胞微粒体细胞色素P450激活生成活性三氯甲基,CCl4通过攻击肝细胞膜的磷脂引起脂质过氧化从而破坏膜性结构,CC1 一还可与蛋白质共价结合,损害线粒体导致还原性辅酶A(NADH)和三磷酸腺苷(ATP)在肝内生成减少,进而抑制脂肪酸氧化和三羧酸循环。此外,由于内质网受损可导致脂蛋白合成障碍,使三酰甘油和脂肪酸在肝细胞内蓄积,形成脂肪变性。因此,低浓度的CC1 反复应用,可使大鼠的肝组织受到损害-修复-损害的循环破坏作用.最终导致肝纤维化及肝硬化的发生。
方法:
一般采用30%-60%CCl4油剂,0.1-0.3ml/100g体重,皮下注射,每周2次,也可以用腹腔注射、灌胃或蒸汽吸入等途径给药。改方法试验周期较长,肝硬化一般在12-15周形成。动物死亡率也较高,通常在30%-40%。降低CCl4的浓度,可减少动物死亡率。腹腔注射肝硬化形成相对较快,一般8周即可,但动物死亡率较高。
案例分享:
风险提示:丁香通仅作为第三方平台,为商家信息发布提供平台空间。用户咨询产品时请注意保护个人信息及财产安全,合理判断,谨慎选购商品,商家和用户对交易行为负责。对于医疗器械类产品,请先查证核实企业经营资质和医疗器械产品注册证情况。
- 作者
- 内容
- 询问日期
文献和实验所选动物:大耳白兔,体重1-3KG。 复制方法:采用腹部敷贴法感染采自钉螺的血吸虫尾蚴。兔腹部剪毛,约1CM2,滴以含尾蚴液,使每只兔感染180-200只尾蚴,玻片覆盖15MIN,形成机型感染,3个月后形成血吸虫性肝纤维化。 模型特点:肝内门静脉分支与门脉区纤维增生,门脉周围硬化产生门脉阻塞。该模型门静脉系统血流动力学改变明显,故非常适用于门静脉高压症的研究。但是不适用于其他类型人类肝纤维化。 相关动物及产品: 实验
1肝细胞悬液。分离的肝细胞经0.6%台盼蓝拒染法测得细胞活力大于90%,高碘酸雪夫反应显示糖原法鉴定99%为肝实质细胞。 将上述肝细胞悬液分别加入24孔(每孔1 ml)和96孔(每孔0.1 ml)培养板中,置37℃,5%CO2培养箱中培养。12~16 h后可见肝细胞贴壁于培养板孔底上生长。 2 CCl4诱导肝细胞坏死性损伤模型的建立 肝细胞培养12 h后,吸弃上清,更换培养液并加入不同浓度的CCl4〔(1~16 mmol・L-1),以少量的二甲亚砜助溶,二甲亚砜终浓度
文献速递|Science 子刊 :少突胶质前体细胞调控免疫反应及多发性硬化症早期脱髓鞘新机制
疫性疾病,全球患者超 280 万。其典型表现为免疫细胞异常浸润引发的神经髓鞘损伤、轴突退化甚至不可逆的神经功能障碍 [1]。尽管现有疗法可延缓疾病进展,但早期病理机制不明、缺乏特异性干预靶点仍是临床面临的重大挑战。陆军军医大学牛建钦教授团队前期研究发现,MS 患者脑内 OPC 存在 Wnt 信号通路异常激活现象,且其病理复杂性远超小鼠模型,但此类病理性 OPC 如何驱动疾病进展尚不清楚 [2,3]。近日,研究团队在 Science translational medicine 发表论文揭示:MS 病理条件
技术资料暂无技术资料 索取技术资料









