研选同类产品更多 >

CD31 Rabbit pAb, APC conjugated(bs-0195R-APC)-100ul
¥2980
AIF1 Recombinant Rabbit mAb(bsm-54132R)-50ul/100ul/25ul
¥800
beta Tubulin Recombinant Rabbit mAb(bsm-52290R)-50ul/100ul/25ul
¥800
Collagen I Recombinant Rabbit mAb(bsm-52478R)-50ul/100ul
¥1400
GAPDH Recombinant Rabbit mAb, Loading Control(bsm-52262R)-50ul/100ul/500ul
¥680
万千商家帮你免费找货
0 人在求购买到急需产品
- 详细信息
- 用户评价
- 文献和实验
- 技术资料
- 应用范围:
产品信息以Bioss网站为准
- 规格:
50ul/100ul/25ul
| 规格: | 50ul | 产品价格: | ¥1400.0 |
|---|---|---|---|
| 规格: | 100ul | 产品价格: | ¥2500.0 |
| 规格: | 25ul | 产品价格: | ¥800.0 |
| 产品编号 | bsm-52323R |
| 英文名称 | Tubulin beta-III Recombinant Rabbit mAb |
| 中文名称 | 微管蛋白β3重组兔单抗 |
| 英文别名 | Neuron specific beta III Tubulin; beta 4; MC1R; TBB3_HUMAN; TUBB 3; TUBB 4; TUBB3; TUBB4; Tubulin beta 3 chain; Tubulin beta 4; Tubulin beta III; Tubulin beta-3 chain; Tubulin beta-4 chain; Tubulin beta-III; beta tubulin III; Neuron specific beta III Tubulin. |
| 产品应用 | WB=1:1000-10000, IHC-P=1:100-500, IHC-F=1:100-500, ICC/IF=1:100-500, IF=1:100-500, Flow-Cyt=1:50-200 Not yet tested in other applications. |
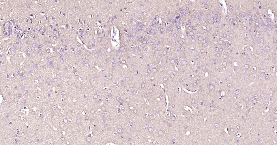
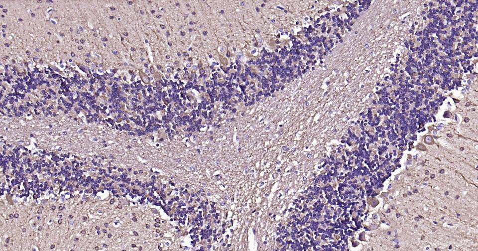
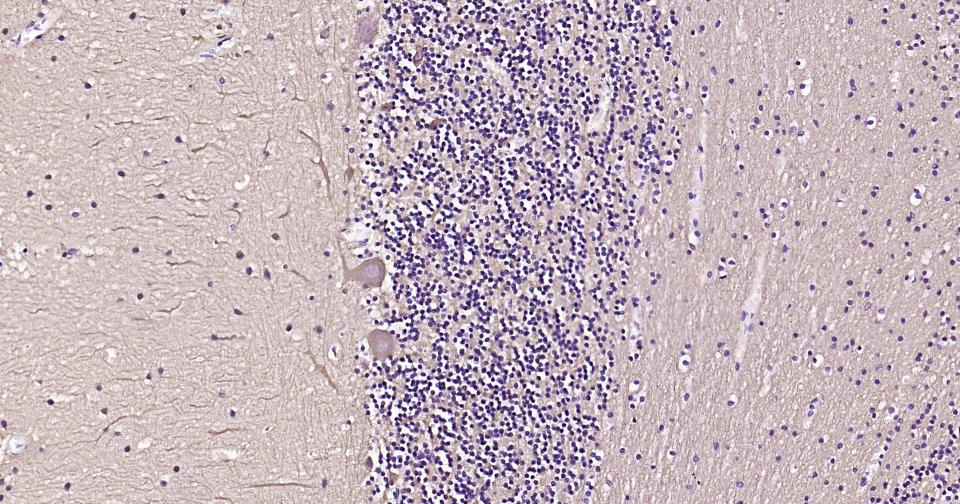
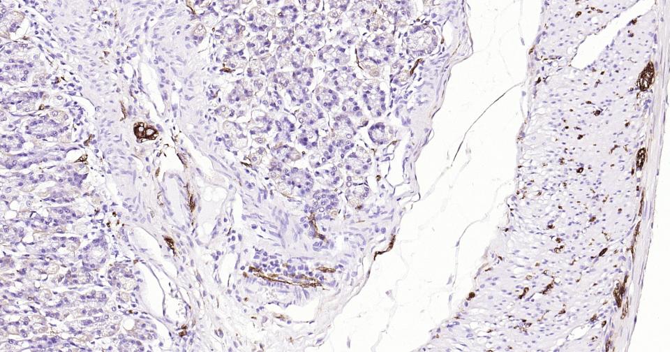
| 交叉反应 | Human, Mouse, Rat, cerebellum, Cerebrum, Cerebrum, Cerebrum, Cerebrum, Human left parietal lobe, Human left parietal lobe, Human left parietal lobe, Human left parietal lobe |
| 抗体来源 | Rabbit |
| 免疫原 | A synthesized peptide derived from human beta III Tubulin |
| 亚型 | IgG |
| 性状 | Liquid |
| 纯化方法 | affinity purified by Protein A |
| 克隆类型 | Recombinant |
| 理论分子量 | 50 kDa |
| 浓度 | 1mg/ml |
| 储存液 | 0.01M TBS (pH7.4) with 1% BSA, 0.02% Proclin300 and 50% Glycerol. |
| 研究领域 | Neuroscience > Cell Adhesion Proteins > Cytoskeletal Proteins > Microtubules Signal Transduction > Cytoskeleton / ECM > Cytoskeleton > Microtubules > Tubulin Tags & Cell Markers > Cell Type Markers > Neuroscience Markers > Neuronal |
| 亚基 | Dimer of alpha and beta chains. |
| 亚细胞定位 | Cytoplasm, cytoskeleton. |
| 组织特异性 | Expression is primarily restricted to centraland peripheral nervous system. Greatly increased expression in mostcancerous tissues. |
| 翻译后修饰 | Some glutamate residues at the C-terminus arepolyglutamylated. This modification occurs exclusively on glutamateresidues and results in polyglutamate chains on the gamma-carboxylgroup. Also monoglycylated but not polyglycylated due to theabsence of functional TTLL10 in human. Monoglycylation is mainlylimited to tubulin incorporated into axonemes (cilia and flagella)whereas glutamylation is prevalent in neuronal cells, centrioles,axonemes, and the mitotic spindle. Both modifications can coexiston the same protein on adjacent residues, and lowering glycylationlevels increases polyglutamylation, and reciprocally. The precisefunction of such modifications is still unclear but they regulatethe assembly and dynamics of axonemal microtubules (Probable).
Phosphorylated on Ser-172 by CDK1 during the cell cycle, frommetaphase to telophase, but not in interphase. This phosphorylationinhibits tubulin incorporation into microtubules. |
| 相似性 | Belongs to the tubulin family. |
| 功能 | Tubulin is the major constituent of microtubules. Itbinds two moles of GTP, one at an exchangeable site on the betachain and one at a non-exchangeable site on the alpha chain. TUBB3plays a critical role in proper axon guidance and mantainance. |
| 保存条件 | Shipped at 4℃. Store at -20℃ for one year. Avoid repeated freeze/thaw cycles. |
| 注意事项 | This product as supplied is intended for research use only, not for use in human, therapeutic or diagnostic applications. |
| 背景资料 | Neuronal MarkerBeta III tubulin is abundant in the central and peripheral nervous systems (CNS and PNS) where it is prominently expressed during fetal and postnatal development. As exemplified in cerebellar and sympathoadrenal neurogenesis, the distribution of beta III is neuron-associated, exhibiting distinct temporospatial gradients according to the regional neuroepithelia of origin. However, transient expression of this protein is also present in the subventricular zones of the CNS comprising putative neuronal- and/or glial precursor cells, as well as in Kulchitsky neuroendocrine cells of the fetal respiratory epithelium. This temporally restricted, potentially non-neuronal expression may have implications in the identification of presumptive neurons derived from embryonic stem cells. |
| 应用 | 推荐稀释比例 |
| {WB} | {1:1000-10000} |
| {IHC-P} | {1:100-500} |
| {IHC-F} | {1:100-500} |
| {ICC/IF} | {1:100-500} |
| {IF} | {1:100-500} |
| {Flow-Cyt} | {1:50-200} |








风险提示:丁香通仅作为第三方平台,为商家信息发布提供平台空间。用户咨询产品时请注意保护个人信息及财产安全,合理判断,谨慎选购商品,商家和用户对交易行为负责。对于医疗器械类产品,请先查证核实企业经营资质和医疗器械产品注册证情况。
用户评价
暂无用户评价
文献和实验[IF={{ 6.064 }}] {Le Wang. et al. Enteric nervous system damage caused by abnormal intestinal butyrate metabolism may lead to functional constipation. FRONT MICROBIOL. 2023; 14: 1117905} {ICC} {Mouse}
[IF={{ 5.195 }}] {Lu Hong. et al. Investigation of Naoluoxintong on the neural stem cells by facilitating proliferation and differentiation in vitro and on protecting neurons by up-regulating the expression of nestin in MCAO rats. J ETHNOPHARMACOL. 2022 Sep;:115684} {WB} {Rat}
到 PVDF 膜上,同时减少蛋白不必要降解,这对于最终获得清晰、可信结果也是需要考虑因素。抗体信息:1.ACC1, Recombinant Rabbit monoclonal IgG. HuaAn. HuaAn biotechnology , inc.2.ATGL, Mouse mAb IgG1, Cat#:RT1058. HuaAn biotechnology , inc.3.p-PERK(Thr981), Rabbit Polyclonal IgG primary antibodies, Cat
The OP9-DL1 System: Generation of T-Lymphocytes from Embryonic or Hematopoietic Stem Cells In Vitro
al. 2006b ). MATERIALS Reagents Anti-CD24 monoclonal antibody (mAb) (J11d clone) (for Protocol 3) Use either culture supernatant that contains anti-CD24 mAb or purified anti-CD24 mAb (see Step 55). BDPharmLyse (red blood cell lysing
【资源】全面归类网址:毕赤酵母表达各种来源蛋白(细菌,真菌,植物,人类等)
, 12 mg/L, α-MF or endogenous signal507Porcine pepsinogenS, PHO, 30 mg/L, active504Rabbit intestinal peptide transporter (PepT1)I[177]Rabbit intestinal peptide transporter (PEPT2)I[178]Rabbit antibody: monoclonal single-chain Fv specific for recombinant
技术资料暂无技术资料 索取技术资料







