相关产品推荐更多 >

ER36 Rabbit pAb, AP conjugated(bs-23769R-AP)-100ul
¥2980
C9orf169 Rabbit pAb(bs-15318R)-50ul/100ul/200ul
¥1180
HOXB5 Rabbit pAb, RBITC conjugated(bs-6668R-RBITC)-100ul
¥2980
ITLN1 Rabbit pAb(bs-5129R)-50ul/100ul/200ul
¥1180
phospho-IKB alpha (Ser36) Rabbit pAb, BF350 conjugated(bs-18129R-BF350)-100ul
¥2980
万千商家帮你免费找货
0 人在求购买到急需产品
- 详细信息
- 文献和实验
- 技术资料
- 应用范围:
产品信息以Bioss网站为准
- 规格:
50ul/100ul
| 规格: | 50ul | 产品价格: | ¥1400.0 |
|---|---|---|---|
| 规格: | 100ul | 产品价格: | ¥2500.0 |
| 产品编号 | bsm-52938R |
| 英文名称 | TNFR2 Recombinant Rabbit mAb |
| 中文名称 | 肿瘤坏死因子受体2重组兔单抗 |
| 英文别名 | TNF Receptor II; CD120b; p75; p75TNFR; p80 TNF alpha receptor; p80 TNF-alpha receptor; TBP-2; TBPII; TNF R2; TNF R75; TNF-R2; TNF-RII; TNFR-II; TNFR80; TNFRII; TNFRSF1B; TNR1B_HUMAN; Tumor necrosis factor receptor 2; Tumor necrosis factor receptor type II; Tumor necrosis factor-binding protein 2. |
| 产品应用 | IHC-P=1:50-200, IHC-F=1:50-200, IF=1:50-200 Not yet tested in other applications. |
| 交叉反应 | Human (Mouse, Rat) |
| 抗体来源 | Rabbit |
| 免疫原 | A synthesized peptide derived from human TNFRSF1B |
| 亚型 | IgG |
| 性状 | Liquid |
| 纯化方法 | affinity purified by Protein A |
| 克隆类型 | Recombinant |
| 理论分子量 | 46 kDa |
| 浓度 | 1mg/ml |
| 储存液 | 0.01M TBS (pH7.4) with 1% BSA, 0.02% Proclin300 and 50% Glycerol. |
| 亚细胞定位 | Secreted and Cell membrane. |
| 翻译后修饰 | Phosphorylated; mainly on serine residues and with a very low level on threonine residues. A soluble form (tumor necrosis factor binding protein 2) is produced from the membrane form by proteolytic processing. |
| 相似性 | Contains 4 TNFR-Cys repeats. |
| 功能 | Receptor with high affinity for TNFSF2/TNF-alpha and approximately 5-fold lower affinity for homotrimeric TNFSF1/lymphotoxin-alpha. The TRAF1/TRAF2 complex recruits the apoptotic suppressors BIRC2 and BIRC3 to TNFRSF1B/TNFR2. This receptor mediates most of the metabolic effects of TNF-alpha. Isoform 2 blocks TNF-alpha-induced apoptosis, which suggests that it regulates TNF-alpha function by antagonizing its biological activity. |
| 保存条件 | Shipped at 4℃. Store at -20℃ for one year. Avoid repeated freeze/thaw cycles. |
| 注意事项 | This product as supplied is intended for research use only, not for use in human, therapeutic or diagnostic applications. |
| 背景资料 | The protein encoded by this gene is a member of the TNF-receptor superfamily. This protein and TNF-receptor 1 form a heterocomplex that mediates the recruitment of two anti-apoptotic proteins, c-IAP1 and c-IAP2, which possess E3 ubiquitin ligase activity. The function of IAPs in TNF-receptor signalling is unknown, however, c-IAP1 is thought to potentiate TNF-induced apoptosis by the ubiquitination and degradation of TNF-receptor-associated factor 2, which mediates anti-apoptotic signals. Knockout studies in mice also suggest a role of this protein in protecting neurons from apoptosis by stimulating antioxidative pathways. [provided by RefSeq, Jul 2008] |
| 应用 | 推荐稀释比例 |
| {IHC-P} | {1:50-200} |
| {IHC-F} | {1:50-200} |
| {IF} | {1:50-200} |
Lane 1: Human THP-1 cell Lysates
Lane 2: Human K562 cell Lysates
Lane 3: Human U937 cell Lysates
Lane 4: Human U87MG cell Lysates
Lane 5: Human HUVEC cell Lysates
Primary: Anti-TNFR2 (bsm-52938R) at 1/1000 dilution
Secondary: IRDye800CW Goat Anti-Rabbit IgG at 1/20000 dilution
Predicted band size: 46kDa
Observed band size: 70 kDa
风险提示:丁香通仅作为第三方平台,为商家信息发布提供平台空间。用户咨询产品时请注意保护个人信息及财产安全,合理判断,谨慎选购商品,商家和用户对交易行为负责。对于医疗器械类产品,请先查证核实企业经营资质和医疗器械产品注册证情况。
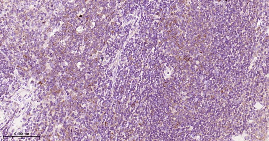
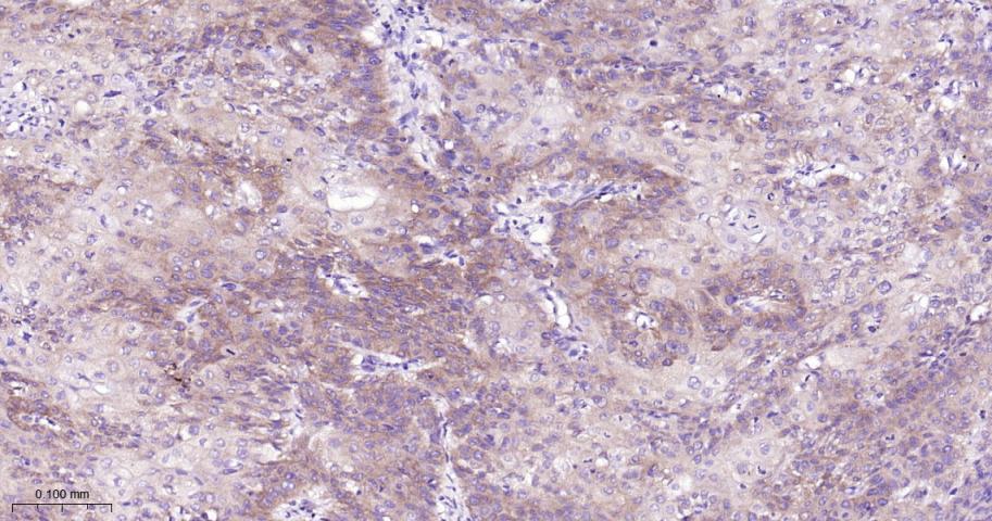
文献和实验[IF={{ 3.9 }}] {Timothy D. Jacobsen. et al. TNFα Receptor 1 and Not Receptor 2 Affect Annulus Fibrosus and Nucleus Pulposus Response to Cytokine Challenge in a Rat Model. JOR SPINE. 2025 May;8(2):e70070} {IHC} {Rat}
到 PVDF 膜上,同时减少蛋白不必要降解,这对于最终获得清晰、可信结果也是需要考虑因素。抗体信息:1.ACC1, Recombinant Rabbit monoclonal IgG. HuaAn. HuaAn biotechnology , inc.2.ATGL, Mouse mAb IgG1, Cat#:RT1058. HuaAn biotechnology , inc.3.p-PERK(Thr981), Rabbit Polyclonal IgG primary antibodies, Cat
The OP9-DL1 System: Generation of T-Lymphocytes from Embryonic or Hematopoietic Stem Cells In Vitro
al. 2006b ). MATERIALS Reagents Anti-CD24 monoclonal antibody (mAb) (J11d clone) (for Protocol 3) Use either culture supernatant that contains anti-CD24 mAb or purified anti-CD24 mAb (see Step 55). BDPharmLyse (red blood cell lysing
【申请上传】Current Protocols in Immunology
Immunocompromised Animals Unit 1.3 Handling and Restraint Unit 1.4 Anesthesia Unit 1.5 Animal Identification Section II Use of Mouse, Rat, Hamster, and Rabbit Unit 1.6 Parenteral Injections Unit 1.7 Blood Collection Unit 1.8 Euthanasia Section III Selected
技术资料暂无技术资料 索取技术资料






