相关产品推荐更多 >

SMARCB1 Rabbit pAb, APC-Cy7 conjugated(bs-6109R-APC-Cy7)-100ul
¥2980
TAPA1/CD81 Recombinant Rabbit mAb(bsm-52640R)-50ul/100ul/25ul
¥800
ART1 Rabbit pAb(bs-12531R)-50ul/100ul/200ul
¥1180
GRO Alpha Rabbit pAb, HRP conjugated(bs-10234R-HRP)-100ul
¥2980
Beta-casein Rabbit pAb, Biotin conjugated(bs-10032R-Bio)-100ul
¥2980
万千商家帮你免费找货
0 人在求购买到急需产品
- 详细信息
- 文献和实验
- 技术资料
- 应用范围:
产品信息以Bioss网站为准
- 规格:
50ul/100ul/200ul
| 规格: | 50ul | 产品价格: | ¥1180.0 |
|---|---|---|---|
| 规格: | 100ul | 产品价格: | ¥1980.0 |
| 规格: | 200ul | 产品价格: | ¥2800.0 |
| 产品编号 | bs-22260R |
| 英文名称 | Dab1 Rabbit pAb |
| 中文名称 | 磷脂蛋白受体Dab1抗体 |
| 英文别名 | Dab 1; Disabled homolog 1; Disabled homolog 1 Drosophila; Scm; Scr; Scrambler; Yot; Yotari; Dab, reelin signal transducer, homolog 1(Drosophila); Dab1; DAB1_HUMAN. |
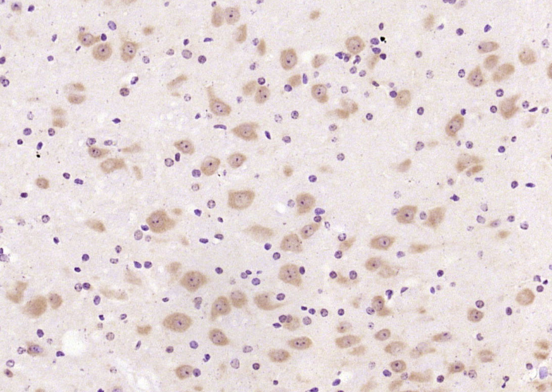
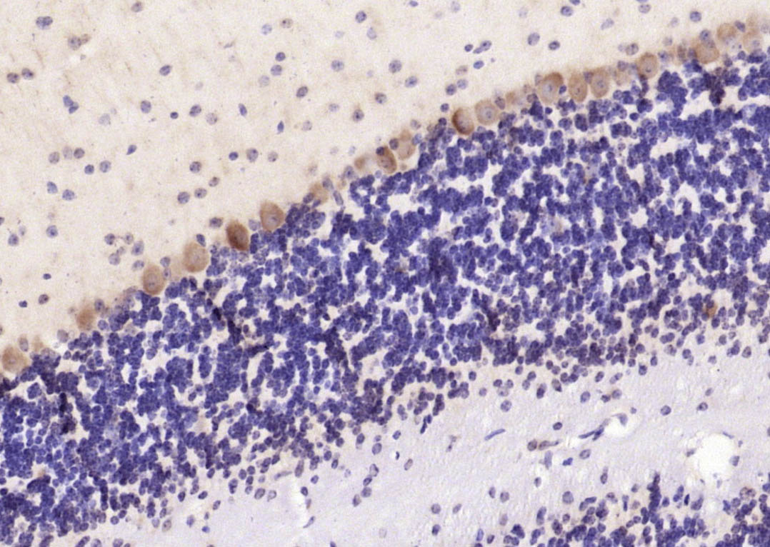
| 产品应用 | IHC-P=1:100-500, IHC-F=1:100-500, IF=1:100-500 Not yet tested in other applications. |
| 交叉反应 | Mouse (Human, Rat, Chicken, Dog, Pig, Cow, Horse, Rabbit, Sheep) |
| 抗体来源 | Rabbit |
| 免疫原 | KLH conjugated synthetic peptide derived from human Dab1 |
| 亚型 | IgG |
| 性状 | Liquid |
| 纯化方法 | affinity purified by Protein A |
| 克隆类型 | Polyclonal |
| 理论分子量 | 65 kDa |
| 浓度 | 1mg/ml |
| 储存液 | 0.01M TBS (pH7.4) with 1% BSA, 0.02% Proclin300 and 50% Glycerol. |
| 研究领域 | Neuroscience > Neurology process > Neural Signal Transduction Signal Transduction > Protein Trafficking > Vesicle Transport > Adapters |
| 亚基 | Associates with the SH2 domains of SRC, FYN and ABL. Interacts with DAB2IP and SIAH1. Interacts with LRP1. |
| 翻译后修饰 | Phosphorylated on Tyr-198 and Tyr-220 upon reelin induction in embryonic neurons. Also phosphorylated on Ser-524 independently of reelin signaling. |
| 相似性 | Contains 1 PID domain. |
| 功能 | Adapter molecule functioning in neural development. May regulate SIAH1 activity. |
| 保存条件 | Shipped at 4℃. Store at -20℃ for one year. Avoid repeated freeze/thaw cycles. |
| 注意事项 | This product as supplied is intended for research use only, not for use in human, therapeutic or diagnostic applications. |
| 背景资料 | The laminar organization of multiple neuronal types in the cerebral cortex is required for normal cognitive function. In mice, the disabled-1 gene plays a central role in brain development, directing the migration of cortical neurons past previously formed neurons to reach their proper layer. This gene is similar to disabled-1, and the protein encoded by this gene is thought to be a signal transducer that interacts with protein kinase pathways to regulate neuronal positioning in the developing brain. Alternatively spliced transcript variants of this gene have been reported, but their full length nature has not been determined. [provided by RefSeq, Jul 2008] |
| 应用 | 推荐稀释比例 |
| {IHC-P} | {1:100-500} |
| {IHC-F} | {1:100-500} |
| {IF} | {1:100-500} |


风险提示:丁香通仅作为第三方平台,为商家信息发布提供平台空间。用户咨询产品时请注意保护个人信息及财产安全,合理判断,谨慎选购商品,商家和用户对交易行为负责。对于医疗器械类产品,请先查证核实企业经营资质和医疗器械产品注册证情况。
文献和实验= NAL), appears to form upon oxidative cyclization of the nonfluorescent 2:1 lysine-HNE Michael adduct-Schiff base cross-link (Scheme 1). Polyclonal antibody (PAb) to the NAL-HNE fluorophore was raised in rabbit and found to be highly specific
GE Healthcare Benzamidine Sepharose™ 6B is p-aminobenzamidine covalently attached to Sepharose 6B by the epoxy coupling method. p-Aminobenzamidine (PAB), is a synthetic inhibitor of trypsin-like serine protease. Trypsin and trypsin
Nucleic Acid Programmable Protein Arrays: Versatile Tools for Array‐Based Functional Protein Studies
.g., Sigma) 50 mg/ml bis‐sulfosuccinimdylsuberate (BS3 ;Pierce, cat. no. PI 21580) in dimethylsulfoxide (DMSO) 5 mg/ml
技术资料暂无技术资料 索取技术资料






