相关产品推荐更多 >
万千商家帮你免费找货
0 人在求购买到急需产品
- 详细信息
- 询价记录
- 文献和实验
- 技术资料
- 英文名:
VascuLife® VEGF Endothelial Medium Complete Kit
- 物种来源:
人
- 器官来源:
人源
- 运输方式:
冷藏或冷冻
- 年限:
1年
- 规格:
500ml
VascuLife® VEGF (containing Vascular Endothelial Growth Factor) is a low serum medium optimized for the rapid proliferation of Human Endothelial Cells, including:
- Human Umbilical Vein Endothelial Cells (HUVEC)
- Aortic Endothelial Cells
- Other human large-vessel endothelial cells
VascuLife® culture medium supports the growth of these cells in a low serum environment.
VascuLife® Basal Medium contains no antimicrobials and no phenol red.
VascuLife® VEGF Medium contains rh VEGF, which may affect stimulation assays. Lifeline® recommends using VascuLife® EnGS for these types of studies.
- Kit Format: VascuLife® culture medium is offered in a kit format composed of basal medium and associated supplements and growth factors called ” LifeFactors® .” This kit allows you to prepare fresh medium in your laboratory, extending shelf life and enhancing performance.
- Protective Packaging: VascuLife® Basal Medium is provided in a light-protected 500 mL bottle. The remaining LifeFactors® (growth factors and supplements) are packaged in a convenient gas-impermeable pouch for easy storage.
LifeFactors® include:

ISO-Style Quality Testing for Guaranteed Consistency and Reproducible Results
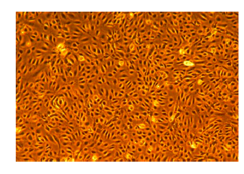
VascuLife® VEGF medium grows HUVEC and other human large-vessel endothelial cells at rates that meet or exceed other commercially available serum-containing media while maintaining excellent cell morphology. In comparisons with other commercially-available media, Vasculife® VEGF shows superior proliferation at different seeding densities.
Shown at left: HUVEC, passage 2, 4 days after inoculation with 2,000 cells/cm2 (100X).
Shown below: HUVEC inoculated at low seeding density in 24-well plates. Higher fluorescence represents a greater number of cells per well and therefore better proliferation.
Every production lot of VascuLife® VEGF Endothelial Cell Culture Medium is extensively tested using Endothelial Cells.
- Sterility Testing: Negative for bacteria and fungal growth
- pH: 7.8 +/- 0.3
- Cell Testing: Rate of proliferation and morphology
- Osmolality: 270 +/- 10 mOsm
- Endotoxin: < 0.5 EU/mL
风险提示:丁香通仅作为第三方平台,为商家信息发布提供平台空间。用户咨询产品时请注意保护个人信息及财产安全,合理判断,谨慎选购商品,商家和用户对交易行为负责。对于医疗器械类产品,请先查证核实企业经营资质和医疗器械产品注册证情况。
- 作者
- 内容
- 询问日期
文献和实验Vybrant® DyeCycle Green and Orange Stains
DyeCycle™ Staining Protocol This basic protocol is optimized using Jurkat cells suspended in complete medium (RPMI/10% fetal bovine serum) and stained with Vybrant® DyeCycle™ stain at 37?C. Remove the Vybrant® DyeCycle™ Green stain
E.Z.N.A.® Endo-free Plasmid Mini Kit I Spin Protocol
medium and discard. To the bacterial pellet add 250 u Solution I/RNase A. Resuspend cells completely by vortexing or pipetting up and down. Complete resuspension of cell pellet is vital for obtaining good yields. 4. Add 250 u Solution II and mix
E.Z.N.A.® Total RNA Midi Kit Protocol for Eukaryotic Cells and Tissues
, use 4 ml of TRK Lysis Buffer. However, use no more than 300 mg tissue. For tissue culture cells grown in monolayer (fibroblasts, endothelial cells, etc.), lyse the cells directly in the culture vessel as follows. Aspirate culture medium
技术资料暂无技术资料 索取技术资料












