万千商家帮你免费找货
0 人在求购买到急需产品
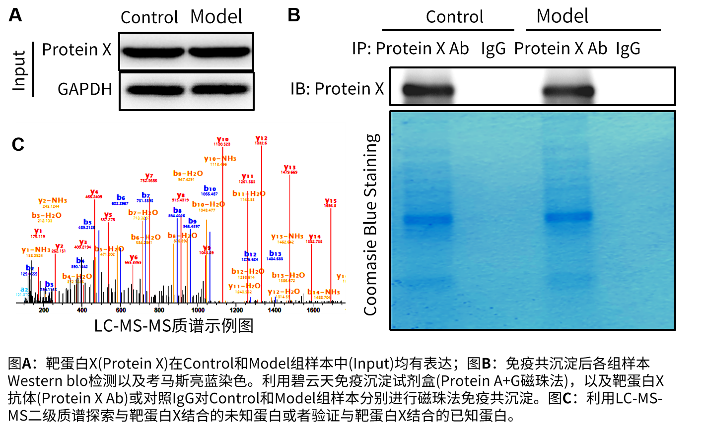
- 详细信息
- 询价记录
- 文献和实验
- 技术资料
- 提供商:
上海碧云天生物
- 服务名称:
免疫共沉淀(Co-ip)
免疫共沉淀
免疫共沉淀(Co-Immunoprecipitation,Co-IP)技术是以抗原、抗体间的特异性免疫反应为基础,研究蛋白质间相互作用的经典方法。与其它研究蛋白质相互作用的方法相比,免疫共沉淀是在生理条件下检测蛋白质间相互作用,因此,不仅可以检测到体内形成的天然复合体,而且可排除过表达靶蛋白所带来的假阳性;由于内源性的靶蛋白是完全加工、修饰成熟的蛋白质,因此,依赖于修饰的蛋白质间相互作用也可以被检测到。
实验原理免疫共沉淀技术原理是以细胞内源性靶蛋白(protein X)为诱饵,将protein X的抗体与细胞总蛋白进行共孵育,促进免疫复合物的形成;随后加入能够与抗体Fc段结合的protein A/G(预先结合固化在琼脂糖微珠上),这样在protein X所在的环境中与其有相互作用的蛋白(protein Y)会被一起沉淀下来,形成"结合蛋白-靶蛋白-靶蛋白抗体-protein A/G微珠"复合物,纯化该复合物后凝胶电泳分离蛋白,应用Western blot 或者质谱技术鉴定靶蛋白的结合蛋白。
碧云天免疫共沉淀技术原理示意图
碧云天凭借多年的蛋白免疫相关试剂盒研发经验,提供高灵敏度、高特异性的免疫沉淀相关试剂。碧云天拥有专业的技术服务团队,可以为客户定制个性化的实验方案,积极促进客户的实验研究和产品开发,为客户提供优质的免疫共沉淀技术服务。碧云天专业的技术人员拥有丰富的行业经验,帮助客户优化实验条件,严格监管实验过程中的各个环节,保证服务质量。详细的碧云天免疫共沉淀技术服务介绍请点击碧云天免疫共沉淀技术服务介绍。
碧云天免疫共沉淀技术服务项目表| 服务编号 | 服务项目 | 服务时间 | 全额预付特价(元) | 半额预付特价(元) | 零售价(元) | 服务内容 | 交付结果 |
| T2201 | 免疫共沉淀 | 2-3周 | 1500 | 1800 | 2000 | Co-IP, Western blot鉴定Co-IP实验产物 | 实验报告,原始实验数据 |
| T2202 | 质谱检测 | 3-4周 | 1000/样品 | 1200/样品 | 1500/样品 | 质谱鉴定和验证Co-IP实验产物 | 质谱鉴定结果 |
| T2203 | 其他免疫共沉淀相关技术服务 | 咨询 | 询价 | 询价 | 询价 | 自定义 | 自定义 |
- 请您下载并填写《碧云天免疫共沉淀技术服务询价单》,我们的专业技术人员将在第一时间为您提供准确报价。
- 若有订购意向,碧云天的技术服务人员会与您联系,并签订《碧云天免疫共沉淀服务协议书》。
- 送样时,请下载并填写《碧云天免疫共沉淀生物样品信息表》,样品的具体要求参见《碧云天免疫共沉淀生物送样要求》。
-
一站式服务 提供从细胞、组织样品处理,到 Western Blot 或质谱检测的一站式服务。
-
高品质产品 碧云天拥有自主研发 CO-IP 试剂盒,并拥有大量 IP 级抗体可供客户选择。
-
超高的效率 整个检测周期仅需 1 周,并提供加急服务。
-
详尽的报告 提供完整实验报告以及所有原始数据,承诺数据真实可靠。
碧云天免疫共沉淀技术服务客户须知
样本要求
- 客户需提供样品:新鲜或正确保存的组织、细胞或蛋白样品,组织样品:动物组织>400mg/样品,植物组织>2g/样品;细胞样品:>2×107 细胞数/样品;蛋白样品:裂解样品总蛋白量>2ml/样品。
- 客户提供目的蛋白和互作蛋白的详细信息,包括蛋白种属、大小、参考文献等。
- 碧云天建议客户提供目的蛋白阳性对照。
- 客户需提供符合免疫共沉淀技术要求的浓缩或即用型抗体,也可由碧云天代购;若因客户抗体原因导致实验失败,由此造成的损失由客户承担。
- 样本寄送要求:参考《碧云天免疫共沉淀生物送样要求》,样本应避免各类污染和反复冻融。
- 客户应对所提供的材料及信息负责,如因客户提供的材料及信息不准确而引起的实验延误或经济损失由客户承担。
- 各种蛋白的丰度和表达水平在不同细胞或组织中差异很大,表达量过低的蛋白可能得不到免疫共沉淀的结果。
- 因科学实验的不确定性,实验结果不一定会出现阳性结果,我们保证实验结果的真实准确性,但是对结果是否符合预期不做承诺。
碧云天承诺提供高分辨率的清晰图片,准确、客观、可信的检测数据和分析结果:
相互作用蛋白鉴定结果,质谱鉴定结果和(或)western blot鉴定结果;
完整实验报告(包括详细实验步骤及免疫共沉淀结果相关的图表)。
风险提示:丁香通仅作为第三方平台,为商家信息发布提供平台空间。用户咨询产品时请注意保护个人信息及财产安全,合理判断,谨慎选购商品,商家和用户对交易行为负责。对于医疗器械类产品,请先查证核实企业经营资质和医疗器械产品注册证情况。
- 作者
- 内容
- 询问日期
文献和实验—— co-IP 检测 Hsp90 与 Cdc37 结合情况1、实验材料SKBR3 细胞,PMSF(Amresco,cat:329-98-6),cocktail(上海晶莱生物),脱脂奶粉(cat:66196131T),β-actin(上海晶莱生物)。Anti-Hsp90(santa,cat:sc-69703)、Anti-Cdc37(santa,cat:sc-13129)、Protein A+G agrose(Beyotime),细胞刮,4 度离心机(eppendorf,centrifuge
糖凝胶上检测分析。如图一所示 图一:2.2 超声破碎后,8000g,30秒,4°C,离心。将上清移入新的管子中。开始准备进行染色质免疫共沉淀(IP)。2.3 每份超声样品取50ul,这时的样品标记为INPUT,用于定量DNA浓度和作为PCR的空白对照。超声后的染色质应立刻冻入液氮中或者储存于-70°C可储存2个月。避免多次反复冻融。3检测DNA浓度1INPUT样品用于为后来的IP样品计算DNA浓度。DNA可采用PCR纯化试剂盒(加入70ul洗脱液,接着进入3.2a)或者采用酚/氯仿抽提(加入350ul
一、原理:免疫共沉淀(Co-Immunoprecipitation)是以抗体和抗原之间的专一性作用为基础的用于研究蛋白质相互作用的经典方法。是确定两种蛋白质在完整细胞内生理性相互作用的有效方法。其原理是:当细胞在非变性条件下被裂解时,完整细胞内存在的许多蛋白质-蛋白质间的相互作用被保留了下来。如果用蛋白质X的抗体免疫沉淀X,那么与X在体内结合的蛋白质Y也能沉淀下来。目前多用精制的prorein A预先结合固化在argarose的beads上,使之与含有抗原的溶液及抗体反应后,beads











