相关产品推荐更多 >
万千商家帮你免费找货
0 人在求购买到急需产品
- 详细信息
- 询价记录
- 文献和实验
- 技术资料
- 保存条件:
参照说明
- 英文名:
Anti-Fx1A (Heymann Nephritis, Membranous Nephritis)
- 库存:
1
- 供应商:
北京博蕾德生物科技有限公司
- 规格:
1
绵羊抗大鼠Fx1A血清 (Cat#PTX-002S)
---用于诱导被动型Heymann肾炎
产品组分:
抗FX1A 血清,溶于0.02mol/L的PBS缓冲液中。
规格:25ml
保存:-20℃保存,避免反复冻融。使用前3000rpm离心。(目前仅用于大鼠肾炎模型诱导,没有在小鼠验证过)
产品应用:本产品包含足够的抗体,可用于25只大鼠(175-200g体重)的大鼠Heymann肾炎
的诱导。参照以下流程:
麻醉大鼠,按0.4ml/100g(体重)的剂量尾静脉免疫绵羊抗大鼠Fx1A血清 15-30s。疾病的产生,依赖于抗体剂量,推荐优化剂量。由于不同批次抗血清差异,大鼠来源,以及实验要求的不同,我们建议进行剂量-反应研究,具体的免疫剂量和疾病的严重程度,需要根据每个不同批次血清和产生疾病的严重程度,选择合适的免疫剂量。
肾病研究:
异源性疾病:注射抗大鼠Fx1A血清后3-5天在肾小球毛细血管中可观察到中等程度的绵羊IgG沉积,其强度和粒度在几分钟内增加。大鼠C3补体也以颗粒状分布,5天后出现蛋白尿。
自身疾病:注射抗大鼠Fx1A血清7-10天后,蛋白尿和大鼠大鼠自身IgG聚集于肾小球。3周后蛋白尿可以达到100-200mg/24小时。在最初的几周内,常规光镜下肾小球不明显,随后发展为基底膜增厚,系膜基质增加,大约3个月后硬化。

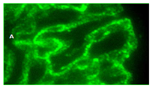
图1. Heymann肾炎发病2周后肾小球毛细血管壁免疫沉积物(羊IgG)的免疫荧光定位。

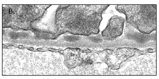
图2.电镜显示沉积物聚集于上皮下间隙
风险提示:丁香通仅作为第三方平台,为商家信息发布提供平台空间。用户咨询产品时请注意保护个人信息及财产安全,合理判断,谨慎选购商品,商家和用户对交易行为负责。对于医疗器械类产品,请先查证核实企业经营资质和医疗器械产品注册证情况。
- 作者
- 内容
- 询问日期
文献和实验Chen B, Guan X, Gunning WT, Ge Y, Gohara AF, Dworkin LD, Gong R. Negative modulation of B cell activation by melanocortin 1 receptor signaling protects against membranous nephropathy. J Am Soc Nephrol. 34:467-481, 2023. doi: 10.1681/ASN.2022050605. Epub 2022 Nov 29. PMID: 36446431. (Rats)
Gao S, Cui Z, Zhao MH. Complement C3a and C3a receptor activation mediates podocyte injuries in the mechanism of primary membranous nephropathy. J Am Soc Nephrol. Sep;33(9):1742-1756, 2022. Epub 2022 Jul 1. PMID: 35777783; PMCID: PMC9529185. (Rats) Editorial: Kettritz R, Schreiber A. Complement is complimentary in membranous nephropathy. J Am Soc Nephrol. 33:1631-1633, 2022. PMID: 35831021; PMCID: PMC9529176.
Coyne MJ, Schultze AE, McCrann DJ 3rd, Murphy RE, Cross J, Strong-Townsend M, Drake C, Mack R. Evaluation of renal injury and function biomarkers, including symmetric dimethylarginine (SDMA), in the rat passive Heymann nephritis (PHN) model. PLoS One. 17:e0269085, 2022. PMID: 35622875; PMCID: PMC9140233.
Gao Y, Dai H, Zhang N, Jiang H, Zhang Z, Feng Z, Dong Z, Liu W, Liu F, Dong X, Zhao Q, Zhou X, Du J, Zhang N, Rui H, Liu B. The ameliorative effect of Mahuang fuzi and Shenzhuo decoction on membranous nephropathy of rodent model is associated with autophagy and Wnt/β-catenin pathway. Front Pharmacol. 13:820130, 2022. PMID: 35529432; PMCID: PMC9068930. (Rats)
Wang X, Liu J, Tian R, Zheng B, Li C, Huang L, Lu Z, Zhang J, Mao W, Liu B, Bao K, Xu P. Sanqi oral solution mitigates proteinuria in rat passive Heymann nephritis and blocks podocyte apoptosis via Nrf2/HO-1 Pathway. Front Pharmacol. 12:727874, 2021. PMID: 34867334; PMCID: PMC8640486. (Rats) Erratum in: Front Pharmacol. 13:905693, 2022. PMID: 34867334; PMCID: PMC8640486.
Zhou HS, Cui Z, Wang H, Gao TT, Wang L, Wu J, Xiong ZY, Hao J, Zhao MH. The therapeutic effects of human embryonic stem cells-derived immunity-and-matrix regulatory cells on membranous nephropathy. Stem Cell Res Ther. 13:240, 2022. PMID: 35672767; PMCID: PMC9172125. (Rats)
Wang XH, Yang YN, Liang Y, Lang R, Zeng Q, Yan L, Yu RH, Wu CM. Structural modulation of gut microbiota during alleviation of experimental passive Heymann nephritis in rats by a traditional Chinese herbal formula. Biomed Pharmacother: 145:112475, 2022. (Rats)
Wang XH, Lang R, Zeng Q, Liang Y, Chen N, Ma ZZ, Yu RH. Jianpi Qushi Heluo formula alleviates renal damages in passive Heymann nephritis in rats by upregulating Parkin-mediated mitochondrial autophagy. Sci Rep. 11:18338, 2021. PMID: 34526554; PMCID: PMC8443625. (Rats)
Yin J, Lin J, Yu J, Wei X, Zhu B, Zhu C. Tetrandrine may treat membranous glomerulopathy via P13K/Akt signaling pathway regulation: therapeutic mechanism validation using Heymann nephritis rat model. Bioengineered. 12:6499-6515, 2021. PMID: 34463195 (Rats)
Fan K, Zeng L, Guo J, Xie S, Yu Y, Chen J, Cao J, Xiang Q, Zhang S, Luo Y, Deng Q, Zhou Q, Zhao Y, Hao L, Wang Z, Zhong L. Visualized podocyte-targeting and focused ultrasound responsive glucocorticoid nano-delivery system against immune-associated nephropathy without glucocorticoid side effect. Theranostics. 11:2670-2690, 2021. PMID: 33456566; PMCID: PMC7806481. (Rats)
Hu S, Han R, Chen L, Qin W, Xu X, Shi J, Zhu X, Zhang M, Zeng C, Tang Z, Bao H, Liu Z. Upregulated LRRC55 promotes BK channel activation and aggravates cell injury in podocytes. J Exp Med. 218:e20192373, 2021. PMID: 33346797; PMCID: PMC7756252. (Rats).
Pisarek-Horowitz A, Fan X, Kumar S, Rasouly HM, Sharma R, Chen H, Coser K, Bluette CT, Hirenallur-Shanthappa D, Anderson SR, Yang H, Beck LH Jr, Bonegio RG, Henderson JM, Berasi SP, Salant DJ, Lu W. Loss of Roundabout Guidance Receptor 2 (Robo2) in podocytes protects adult mice from glomerular injury by maintaining podocyte foot process structure. Am J Pathol. 2020 Mar 20. pii: S0002-9440(20)30024-9. [Epub ahead of print]. (PHN: Rats) Boston University School of Medicine, Boston Medical Center, Pfizer, Inc.
Sun H, Olsen HS, Merigeon EY, So E, Burch E, Kinsey S, Papadimitriou JC, Drachenberg CB, Bentzen SM, Block DS, Strome SE, Zhang X: Recombinant human IgG1 based Fc multimers, with limited FcR bindng capacity, can effectively inhibit complement-mediated disease. J Autoimmun 84: 87-98, 2017. (rats) University of Maryland School of Medicine, Gliknik, Inc., Chengdu Military General Hospital China.
Nassiirpour R, Homer BL, Mathur S, Li Y, Li Z, Brown T, Carraher D, Warneke J, Bailey S, Percival K, O'Neil SP, Whiteley LO. Identification of promising urinary microRNA biomarkers in two rat models of glomerular injury. Toxicol Sci. 148 (1): 35-47, 2015 (rats) Pfizer Research and Development, Groton, CT.
Lindskog Jonsson A, Granqvist A, Elvin J, Johansson ME, Haraldsson B, Nystrom: Effects of melanocortin 1 receptor agonists in experimental nephropathies. Plos one 9 e87816, 2014. (rats) (University of Gothenburg, Sweden).
Lindskog A, Ebefors K, Johansson ME, Stefansson B, Granqvist A, Arnadottir M, Berg A-L, Nystrom J, Haraldsson B. Melanocortin 1 receptor agonists reduce proteinuria. J Am Soc Nephrol 21: 1290-1298, 2010. (rats). (University of Gothenburg, Sweden). Link
PTX-003: Anti-Thymocyte (Thy1) Serum:
Rufanova VA, Alexanian A, Ostendorf T, Bokenmeyer D, Prosser S, Miller B, Sorokin A: Endothelin signaling via guanine exchange factor C3G in renal glomerular mesangial cells. Can J Physiol Pharmacol 88:808-816, 2010. (Rats) (Medical College of Wisconsin, USA). Link
McIntosh LM, Barnes JL, Barnes VL, McDonald JR. Selective CCR2-targeted macrophage depletion ameliorates experimental mesangioproliferative glomerulonephritis. Clin Exp Immunol 155:295-303, 2009. (rats) (Ospery Pharmaceuticals, Canada).
Gullulu M, Akdag I, Kahvecioglu S, Filiz G and Savci V: Aldosterone blockage in proliferative glomerulonephritis prevents not only fibrosis, but proliferation as well. Renal Failure 28:509-514 2006. (rats) Uludag University Medical School, Bursa, Turkey.
关于论坛中所有Native PAGE/非变性电泳及蛋白回收的经典总结
dragline protein (S600) anti-serum2.4 用ELISA方法定量检测茧壳中仿蜘蛛牵丝蛋白量的工作系统的建立为筛选丝腺特异性表达仿蜘蛛牵丝的转基因家蚕以及茧壳中牵丝蛋白表达量的测定, 建立了一个基于ELISA方法的测定系统。 因为茧壳蛋白与仿牵丝蛋白都是丝蛋白, 氨基酸组成, 蛋白质二级结构有相似之处, 茧壳蛋白与高浓度(1∶400稀释)抗仿牵丝蛋白抗血清有一定交叉反应, 故在本工作中要确定牵丝蛋白与茧壳蛋白共包被时, 仿牵丝蛋白含量达到多少是处在可置信的ELISA阳性范围











