相关产品推荐更多 >
万千商家帮你免费找货
0 人在求购买到急需产品
- 详细信息
- 询价记录
- 文献和实验
- 技术资料
组织标本脱色试剂
deColorizing Solution 1
deColorizing Solution 2

本产品是由麻布大学的小泽秋沙先生和坂上元荣先生共同开发的对组织染色标本进行脱色的全新型试剂。对病理学领域中广泛使用的苏-木-精和伊红染色(HE染色)以及Masson三色染色(MT染色)等特殊染色进行脱色。
在对HE染色标本脱色时,只需使用deColorizing Solution 1。另外,MT染色标本脱色时需要使用deColorizing Solution 1和deColorizing Solution 2。
使用本产品进行脱色后,通过进行不同的染色,可以从一个组织标本中获得多个染色信息。
◆特点
● 可对HE染色和MT染色进行脱色
● 脱色后可再进行抗体染色或HE染色等
● 操作简单,只需本产品浸泡即可
◆应用实例
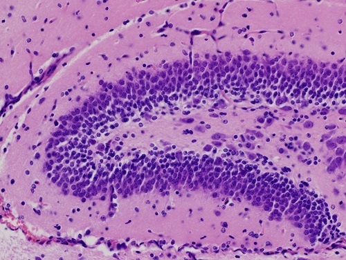
使用小鼠脑(海马体)进行脱色
数据提供:麻布大学 小泽秋沙老师・坂上元荣老师
|
HE染色
|
脱色
|
|
脱色后抗体染色(Iba1、DAPI) |
对照组(未进行脱色处理) |
HE染色脱色(HE→脱色→HE)
小鼠肺

小鼠肝脏

HE染色脱色(HE→脱色→抗体染色(PCNA))
小鼠肝脏

MT染色脱色(MT→脱色→HE)
小鼠肝脏

小鼠肾脏

◆脱色实验方案(protocol)
1、使用蒸馏水将每种试剂稀释10倍。(需先参考载玻片染色缸的容量,调整待稀释溶液的体积。)
2、从脱色标本上取下盖玻片,并进行水合反应。
3、HE染色标本脱色时,确认水溶性染料的染色已去除后,室温下将标本在deColorizing Solution 1中浸泡
1 h~1晚。
4、MT染色标本脱色时,进行与操作3相同步骤后,还需室温下将标本在deColorizing Solution 2中浸泡1 h
~1晚。
5、确认到HE和MT染色已脱除时,浸入蒸馏水中清洗3次,每次 5 min。
6、如需再次染色,请参考各使用单位的实验方案。
※ 脱色时间过长可能会导致脱色后伊红和其他染料的染色效果降低。如出现此种情况,则需调整脱色时间。
◆产品列表
| 产品编号 | 产品名称 | 产品规格 | 产品等级 |
| 043-34561 | deColorizing Solution 1 | 250 mL | 病理研究用 |
| 046-34551 | deColorizing Solution 2 | 250 mL | 病理研究用 |
风险提示:丁香通仅作为第三方平台,为商家信息发布提供平台空间。用户咨询产品时请注意保护个人信息及财产安全,合理判断,谨慎选购商品,商家和用户对交易行为负责。对于医疗器械类产品,请先查证核实企业经营资质和医疗器械产品注册证情况。
- 作者
- 内容
- 询问日期
文献和实验取材是制作切片程序中的首要步骤,取材不当,将直接影响病理诊断和科研工作的效果。组织标本的选用非常重要,不能随意的切取组织来制作组织切片,否则病理检验的结果是不会令人满意的。 一、取材工具:取材刀具必须锋利。切取标本不应该挤压和揉擦,不应使用有钩镊子或血管钳等手术器械镊取标本,以免损害组织造成人为组织变化,给诊断带来困难或导致错诊,漏诊。 二、标本的选取:应选择病变或可疑病变的组织。必要时选取病变与正常组织交界处。切取标本的原则是求准而不是求
好,在不影响诊断的情况下,尽量保存好大体标本。以利于教学标本,陈列标本的收集。⑤边取材边固定,组织标本较多的单位,取材经常要花上几个小时,如果从下午2:30开始取材,至5:30完成,那么先取的材料就可以多固定几个小时,如此可以防止固定时间不足,同时也可防止组织发生自溶。⑥对于骨髓穿刺的组织,可先用10%硝酸浸泡30分钟左右,然后再与其它组织进行处理。⑦骨组织和钙化组织,应彻底脱钙后,方能进行制作。具体用大头针能顺利扎入骨组织则可。⑧活检组织取材,不能太厚,以不超过2mm为宜。以防脱水不彻底,不利于制片。⑨
一、离体消化道平滑肌标本制备 【标本制作方法】 通常选用家兔、豚鼠、大白鼠或小白鼠等动物,禁食24 小时。击头致昏,以避免麻醉或失血对胃肠道机能的影响。立即打开腹腔,取出所需的胃、肠、胆囊等。去除附着的系膜或脂肪等组织。迅速放入充氧(或95%O2+5%CO2 )保温(37 ℃)的营养液中,并以注射器用营养液将管腔内的食物残渣清洗干净。 ⑴肠管标本的制备通常取十二指肠或回肠十二指肠的兴奋性和自动律性较高,呈现活跃的舒缩活动。回肠比较静息,其运动曲线
技术资料暂无技术资料 索取技术资料














