相关产品推荐更多 >
万千商家帮你免费找货
0 人在求购买到急需产品
- 详细信息
- 询价记录
- 技术资料
- 库存:
10
- 英文名:
Fuse-It-mRNA
- 供应商:
广州科适特科学仪器有限公司
- 保存条件:
-20度冻存
膜融合转染试剂,能够讲mRNA快速转入活细胞的胞质内,对于原代细胞,干细胞具有极高的转染效率和低的细胞毒性。
mRNA的瞬转试剂,能在15-30后检测到蛋白质合成
高转染效率,针对原代细胞(例如,HUVEC和神经元)和干细胞的转染试剂
快速mRNA导入技术,无胞吞作用及溶酶体的降解影响,不需要将基因导入细胞核内
低的细胞毒性
应用:
mRNA翻译和降级研究
蛋白质生化研究:合成,折叠,处理,稳定性,定位,降解
mRNA转染进入原代细胞中不需要基因修饰的组织
采用RNA-only CRISPR/Cas技术进行基因组改造工程
技术特征:
全新的mRNA活细胞转染试剂
15-30分钟能完成mRNA转染
不需要胞吞过程
不需要溶酶体降解
不需要将基因转入细胞核中
专为成熟的(带5’-Capped和poly-A的)mRNA优化的转染试剂
较好的生物兼容性和极低的生物毒性
膜融合——蛋白表达直接的方法:

即时的mRNA转染
不像传统的脂质体转染技术,膜融合不需要胞吞作用来释放mRNA。内含mRNA的Fuse-it的脂载体,能够快速简单的与细胞膜相融合,并且将mRNA直接释放如细胞质中。mRNA翻译工作能够立即进行,不会受到胞吞,溶酶体降解,或者有丝分裂的影响。
![]() |
Fuse-it-mRNA具有令人难以置信的极速mRNA表达。在CHO-K1细胞中6个小时就具有接近100%的表达效率。而传统的DNA转染技术的效率低于10%。 |
在原代细胞也有极高的转染效率
Fuse-it-RNA采用与细胞膜一致的电极,能够有效的和多种细胞系进行膜融合。细胞系,无神经元,各种难以转染的原代细胞都能采用膜融合转染试剂将mRNA转入细胞质中。Fuse-it-mRNA的膜融合技术能够获得快速高效的蛋白表达而不会对基因组造成影响。
易于操作
Fuse-it-mRNA操作步骤非常容易掌握,因为融合试剂和mRNA的比例在各个实验中都是固定的。试剂安全性好,没有任何基因毒性,操作不需进行严格的生物防护。
极低的生物毒性
对比传统的脂质体转染试剂,Fuse-It-mRNA仅仅需要5-20分钟的孵育时间就能达到较大的mRNA转染效率。不仅如此,仅用很少量的Fuse-it试剂就能获得较大量的mRNA的转染效率,而不需要额外使用化学药剂,这样对于一些敏感的细胞不会造成细胞毒性。
![]() |
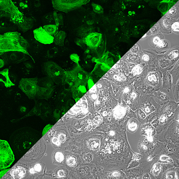
对比于传统的脂质体转染技术,Fuse-It-mRNA的膜融合方式不会伤害到细胞。如图,六小时后,采用Fuse-It-mRNA转染的人正常表皮角细胞(nHEK)已有 表达,而且细胞活性极佳。而采用传统方法时,六个小时后大量的细胞都已经死亡 |
使用Fuse-It-mRNA将eGFP-mRNA转入CHO-K1细胞后的蛋白合成:

2小时内就能在细胞中检测到eGFP的蛋白表达,并且,eGFP表达量在持续上升并且能持续稳定表达3天以上(90个小时)。
注意:采用成熟的mRNA能获得理想的实验结果(带5’Capped和3’Poly-A的mRNA).
Fuse-It-mRNA在各细胞中的mRNA表达效率:
| 细胞类型 |
组织 |
孵育时间 |
mRNA表达效率 |
| Primary Cells |
|||
| Bone Marrow-derived Dendritic Cells (BMDCs) | murine | 20 min | 70-80% |
| Cortical Neurons (embry.) | rat | 5-15 min | 70-90% |
| Fibroblasts, foreskin | human | 10-15 min | 60-80% |
| Hepatocytes | human | 15-25 min | 60-80% |
| HUVEC | human | 10-20 min | 50-70% |
| Macrophages/Monocytes | human | 10-15 min | 30-50% |
| Myocytes (embry.) | rat | 15-25 min | 40-60% |
| Myofibroblasts (embry.) | rat | 15-20 min | 30-50% |
| N/TERT-1 (keratinocytes, immortalized by expression of TERT) | human | 10 min | 80-90% |
| nHEK, foreskin | human | 5-15 min | 70-80% |
| ZNS cells (unpurified) | rat | 5-15 min | 80-100% |
| Stem Cells |
|||
| Cor.4U Myocytes (iPSC derived cardiomyocytes) | human | 10-20 min | 80-100% |
| Dopa.4U (iPSC derived dopaminergic neurons) | human | 5-10 min | 70-90% |
| iPSC | human | 10-20 min | 70-90% |
| Peri.4U (iPSC derived peripheral neurons) | human | 5-10 min | 70-90% |
| Cell Lines |
|||
| A549 | human | 20-25 min | 80-100% |
| CHO-K1 | hamster | 15-20 min | 80-100% |
| HeLa | human | 15-20 min | 70-90% |
| HL-1 | mouse | 15-20 min | 5-10% |
| HT-1080 | human | 15-20 min | 80-100% |
| HUH-7 | human | 10-15 min | 70-90% |
| Jurkat | human | 1-2 min | 20-50% |
| L929 | mouse | 15-20 min | 70-90% |
| MCF-10A | human | 10-15 min | 80-100% |
| MCF-7 | human | 15-20 min | 70-90% |
| MDA-MB-231 | human | 10-15 min | 70-90% |
| MDCK | dog | 20-25 min | 20-40% |
| NIH-3T3 | mouse | 15-20 min | 70-90% |
| Rat1 | rat | 5-10 min | 80-100% |
| RAW 264.7 | rat | 15-20 min | 50-70% |
| THP-1 | human | 1-2 min | 40-70% |
|
||||||||||||||||||||||||||||||||||||||||||||||||||||||||||||||||||||||||||||||||||||||||||||||||||||||||||||||||||||||||||||||||||||||||||||||||||||||||||||||||||||||||||||||||||||||||||||||||||||||||||||||||||||||||||||
风险提示:丁香通仅作为第三方平台,为商家信息发布提供平台空间。用户咨询产品时请注意保护个人信息及财产安全,合理判断,谨慎选购商品,商家和用户对交易行为负责。对于医疗器械类产品,请先查证核实企业经营资质和医疗器械产品注册证情况。
- 作者
- 内容
- 询问日期
技术资料暂无技术资料 索取技术资料

































