相关产品推荐更多 >
万千商家帮你免费找货
0 人在求购买到急需产品
- 详细信息
- 技术资料
- 英文名:
NCTC 1469
- 库存:
31
- 细胞形态:
淋巴母细胞
- 运输方式:
常温运输/干冰运输
- 年限:
详见说明书
- 生长状态:
贴壁
- 规格:
株
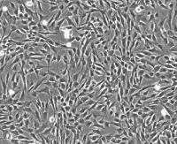
产品名称:小鼠正常肝细胞
产品规格:1 x 10^6 cells/T25培养瓶
产品价格:请与我司取得联系
小鼠正常肝细胞特性
1)来源:ATCC
2)形态:贴壁
3) 种属:小鼠
4)含量:>1x10^6个/mL
5)污染:支原体、细菌、酵母和真菌检测为阴性
6)规格:T25瓶或者1mL冻存管包装
客户收到小鼠正常肝细胞后需要注意的事项:
1)请先检查是否有漏液或者污染情况,若发现漏液或者污染,请拍照发给我们,我们核实后会进行退换。
2)请先放置于显微镜下观察细胞生长状态,撕去封口膜并将瓶子置于37℃培养约2-3个小时。
3)弃去瓶中的培养基,添加6ml本公司附带的完全培养基。
4)如果细胞长满到90%以上,就要及时进行细胞传代,传代培养用6ml本公司附带的完全培养基。
我司还提供:
产品规格:1 x 10^6 cells/T25培养瓶
产品价格:请与我司取得联系
小鼠正常肝细胞特性
1)来源:ATCC
2)形态:贴壁
3) 种属:小鼠
4)含量:>1x10^6个/mL
5)污染:支原体、细菌、酵母和真菌检测为阴性
6)规格:T25瓶或者1mL冻存管包装
客户收到小鼠正常肝细胞后需要注意的事项:
1)请先检查是否有漏液或者污染情况,若发现漏液或者污染,请拍照发给我们,我们核实后会进行退换。
2)请先放置于显微镜下观察细胞生长状态,撕去封口膜并将瓶子置于37℃培养约2-3个小时。
3)弃去瓶中的培养基,添加6ml本公司附带的完全培养基。
4)如果细胞长满到90%以上,就要及时进行细胞传代,传代培养用6ml本公司附带的完全培养基。
我司还提供:
| 人结直肠腺癌细胞,NCI-H716 [H716] |
| 人结肠腺癌细胞,RKO |
| 人结肠癌转基因细胞,RKO-AS45-1 |
| 人结肠癌转基因细胞,RKO-E6 |
| 人结肠腺癌细胞,SW1116 |
| 人结肠腺癌细胞,SW480 [SW-480] |
| 人结肠癌细胞,SW620 |
| 人结肠癌细胞,COLO 205 |
| 人结肠腺癌肺转移细胞,T84 |
| 人结直肠腺癌细胞,COLO 320DM |
风险提示:丁香通仅作为第三方平台,为商家信息发布提供平台空间。用户咨询产品时请注意保护个人信息及财产安全,合理判断,谨慎选购商品,商家和用户对交易行为负责。对于医疗器械类产品,请先查证核实企业经营资质和医疗器械产品注册证情况。
技术资料暂无技术资料 索取技术资料
小鼠正常肝细胞
¥600 - 2680









