万千商家帮你免费找货
0 人在求购买到急需产品
- 详细信息
- 询价记录
- 文献和实验
- 技术资料
- 提供商:
上海南方模式生物科技股份有限公司
- 服务名称:
Myc条件性过表达自发肿瘤小鼠模型
- 规格:
1只
c-Myc基因(也叫Myc)在许多肿瘤中存在着异常表达,影响细胞增殖、生长代谢、基因的不稳定性、刺激血管生成、细胞恶性转化、分化及调亡中起着极为重要的调节作用。
利用Crispr技术,将CAG promoter-loxp-STOP-loxp-Myc-polyA条件性过表达结构插入到H11位点,建立H11-LSL-Myc小鼠模型。H11位点位于小鼠11号染色体,该位点已被证明与Rosa26类似,可用于较为广泛地表达外源基因。H11-LSL-Myc可在与Cre工具鼠交配后,在Cre表达的组织中高表达Myc基因。进入订购页面
例如: 与Alb-cre小鼠交配后,可在2月龄时自发肝癌。可用于肿瘤模型的建立与肿瘤研究中。

A) Schematic diagram of H11-LSL-Myc knockin cassette.
B) The H11-LSL-Myc mice were crossed with Alb-Cre transgenic mice. Cre-mediated recombination leaded to express Myc in the liver of H11-LSL-Myc;Alb-Cre+ mice and hepatic carcinoma was observed at 2 months old.
MycLSL;Alb-Cre小鼠表型分析完整数据
大体拍照

Figure1:#79与#88小鼠合影
#88为Alb-Cre小鼠,腹部平坦,腹腔未见明显肿胀等异常现象;#79为MycLSL;Alb-Cre小鼠,腹部膨隆,表面不平,腹腔内可见明显团块状物体充盈。

Figure2: #79与#88小鼠肝脏合影
#88小鼠肝脏体积适中,色紫红,表面平整光滑,未见结节样改变;#79小鼠肝脏体积增大,色泽不一致,表面不平整,多个结节状突起,为肝癌体征。
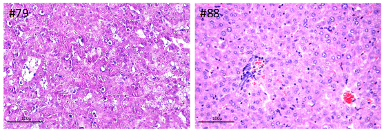
肝脏组织HE染色结果

Figure3:#79和#88小鼠肝脏组织学结果
#88小鼠的肝脏组织肝细胞呈放射状排列,细胞轮廓清晰,胞核圆形居中,肝小叶结构清晰,组织结构基本正常;#79小鼠的肝脏组织细胞排列无序,胞核不清,可见空泡样变性结构,肝小叶结构消失,组织结构呈不规则细胞团,符合肿瘤组织结构特征。
肝脏组织Ki67IF染色结果

Figure4:#79和#88小鼠肝脏Ki67表达结果
#88小鼠的肝脏组织有散在的Ki67阳性细胞,提示肝脏组织少量细胞有分裂增殖;#79小鼠的肝脏组织有大量的Ki67阳性细胞,提示肝组织的细胞分裂增殖旺盛,符合肿瘤组织的特性。
风险提示:丁香通仅作为第三方平台,为商家信息发布提供平台空间。用户咨询产品时请注意保护个人信息及财产安全,合理判断,谨慎选购商品,商家和用户对交易行为负责。对于医疗器械类产品,请先查证核实企业经营资质和医疗器械产品注册证情况。
- 作者
- 内容
- 询问日期
文献和实验家族。当 KRAS 基因发生异常时,下游信号传导失调导致肿瘤发生,KRAS 突变也是中国 NSCLC 的患者第二大常见的基因突变,其中 KRAS G12C 在肺腺癌中最为常见。 目前 NSCLC 的小鼠模型主要集中在腺癌亚型上,大多数的研究采用条件性 KRAS 点突变模型进行,在 KRAS-LSL-G12C 或 KRAS-LSL-G12D 小鼠细胞中引入 Cre 重组酶导致内源性水平上突变等位基因的表达,模拟人类肿瘤发展的启动条件。Jackson 等[2] 就采用了这样的方式构建肿瘤模型,他们在 KRASG12
拯救皱纹 + 脱发!张亮 / 李青峰 / 刘蔡钺团队解码抵抗
在这种过早的皮肤老化过程中也高度上调。图片来源:Nature Aging随后,为了探讨 miR-31 在人类皮肤衰老中的作用。他们收集了整形手术中被丢弃的皮肤样本,并对这些样本进行 miR-31 原位分析。结果同样发现老年人头皮中出现显著的 miR-31 上调。综上,研究人员确认了 miR-31 表达上调与表皮和毛囊的自然衰老以及肿瘤放疗导致的皮肤早衰均密切相关。图片来源:Nature Aging然后,通过构建多个 miR-31 的转基因和条件性敲除小鼠模型,研究者发现它在皮肤上皮组织中的过表达
模型 集萃药康通过转基因技术构建了 MMTV-PyMT 小鼠模型,经验证,小鼠出现乳腺肿瘤的表型,并出现肺及唾液腺转移,可用于研究乳腺肿瘤的发生、发展及转移机制和乳腺肿瘤相关药物的筛选。 图 2. MMTV-PyMT 小鼠乳腺、肺及卵巢组织病理学检测 从病理检测结果可见:MMTV-PyMT 小鼠存在明显的炎性细胞浸润,并形成乳腺癌巢、乳腺癌转移灶、乳腺导管及曲精小管坏死等现象。 集萃药康除乳腺癌外还可提供肠癌、肝癌、肺癌、胰腺癌等多种癌种自发肿瘤模型,并可根据服务需求提供肿瘤模型定制
技术资料暂无技术资料 索取技术资料










