相关产品推荐更多 >

高灵敏qPCR多重预混液 BioSmart U+ All-Powerful Multiple Probe qPCR PreMix (ONE TUBE)(QN222)
¥1200
紫韵万象染料法qPCR预混液 SupRealQ Ultra Hunter SYBR qPCR Master Mix(U+)( Q713)
¥1200
甲基化建库试剂盒 EpiArt DNA Methylation Library Kit for Illumina V3(NE103)
¥13200
HiScript IV 1st Strand cDNA Synthesis Kit(+gDNA wiper)(R412)
¥1430
HisyGo RT Red SuperMix for qPCR (+gDNA Wiper)(RT101)
¥1683
万千商家帮你免费找货
0 人在求购买到急需产品
- 详细信息
- 询价记录
- 文献和实验
- 技术资料
- 库存:
充足
- 英文名:
Hyperactive pA-Tn5 Transposase for CUT&Tag
- 供应商:
南京诺唯赞生物科技有限公司
- 保存条件:
整个试剂盒于-85 ~ -65℃保存,干冰运输;收到货后Hyperactive pA-Tn5 Transposase于-85 ~ -65℃保存,其余组分可于-30 ~ -15℃保存;生成的转座子于-30 ~ -15℃保存,有效期一年。
- 规格:
10 μg/20 μg
| 规格: | 10 μg | 产品价格: | ¥6800.0 |
|---|---|---|---|
| 规格: | 20 μg | 产品价格: | ¥12800.0 |
Hyperactive pA-Tn5 Transposase for CUT&Tag

蛋白质-DNA互作

· 操作简单:可一步实现DNA的片段化和接头连接,仅需9 h即可实现从细胞到二代测序文库的转化
· 高活性:兼具Protein A&Tn5活性,DNA片段化活性较高
· 细胞起始量低:可兼容低至60个细胞,甚至单细胞
· 纯度高:蛋白纯度高、核酸残留低

应用于CUT&Tag技术
CUT&Tag( Cleavage Under Targets and Tagmentation)是替换传统的ChIP-Seq用以研究蛋白质-基因组互作的新技术,与后者相比,它具有显著优势,如:信噪比高,可重复性好,实验周期短(1天实现从细胞到文库构建),细胞投入量低等,因此,该方法适用于表观遗传学、肿瘤、干细胞等研究领域。

CUT&Tag技术的实验流程简单,主要包括:①收集细胞;②分别孵育一抗和二抗;③孵育经过Hyperactive pA/pG-Tn5 Transposase for CUT&Tag (#S603/S602)制备的转座子;④激活转座子,进行DNA片段化; ⑤DNA提取; ⑥文库扩增与纯化。
活性检测

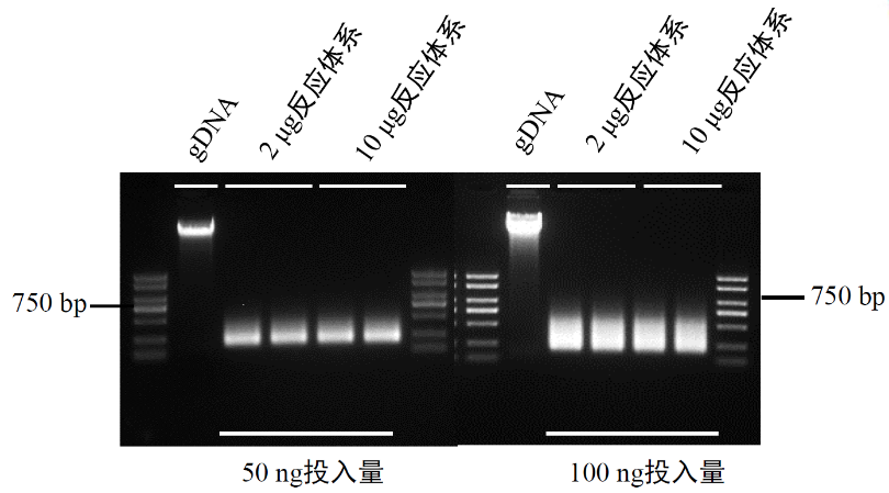
如图所示,对使用#S603反应体系(2 μg和10 μg体系)生成的转座子进行活性检测,针对不同的DNA投入量(50 ng和100 ng),1 μl转座子可快速(10 min)实现DNA片段化,说明该融合酶活性高。

Hyperactive pA-Tn5 Transposase for CUT&Tag是将Protein A与经过工程学改造的超高活性Tn5转座酶进行融合,形成同时具备转座酶与Protein A活性的新型融合酶,专门适用于蛋白质-基因组互作研究的CUT&Tag技术。与传统的蛋白质-基因组互作研究方法ChIP-Seq相比,CUT&Tag具有显著优势,该技术实验周期短,信噪比高,可重复性好,且细胞投入量低,尤其适用于早期胚胎发育、干细胞、肿瘤以及表观遗传学等研究领域。

| 组分 | S603-01 (10 μg) | S603-02 (20 μg) |
| Hyperactive pA-Tn5 Transposase ( 500ng/μl)a | 20 μl | 40 μl |
| 5 × Tagment Buffer Lb | 250 μl | 500 μl |
| Coupling Buffer | 250 μl | 500 μl |
| Annealing Buffer | 500 μl | 1 ml |
a. #S603的质量浓度是500 ng/μl,换算成摩尔浓度是7.5 pmol/μl;
b. 5 × Tagment Buffer L含Mg2+,用于测试制备的转座子片段化DNA的效果,而非CUT&Tag工作Buffer。

整个试剂盒于-85 ~ -65℃保存,干冰运输;收到货后Hyperactive pA-Tn5 Transposase于-85 ~ -65℃保存,
其余组分可于-30 ~ -15℃保存;生成的转座子于-30 ~ -15℃保存,有效期一年。
风险提示:丁香通仅作为第三方平台,为商家信息发布提供平台空间。用户咨询产品时请注意保护个人信息及财产安全,合理判断,谨慎选购商品,商家和用户对交易行为负责。对于医疗器械类产品,请先查证核实企业经营资质和医疗器械产品注册证情况。
- 作者
- 内容
- 询问日期
文献和实验干货 | CUT and Tag 核心酶 Hyperactive PA/PG-Tn5 Transposase 大解密
比高、实验周期短( 1 天实现从细胞到文库构建)、可重复性好等显著优势,尤其适用于早期胚胎发育、干细胞、肿瘤以及表观遗传学等研究领域。 图 1. CUT&Tag 原理图 由于 CUT&Tag 主要是针对极低细胞起始量进行实验,因此对核心酶原料有着极高的要求。CUT&Tag 技术的核心原料酶是 Hyperactive PA/PG-Tn5 Transposase ,它具有高活性,对微量 DNA 有高灵敏度和高亲和力,能有效抓取数十个细胞中的有限结合位点等特点
Mesoplasma florum: Tn5 Transposase
this is about 1 pmol of DNA and 72 pmol transposase, or a 72x molar excess of transposase Concentrated to 20 ul and run on a 1.2% gel 3.7 Kb transposon reacted at 50 ng/ul (2 ug total) with Tn5 transposase at 10 ng/ul (400 ng total) in 40 ul
Tn5 转座酶需要具有高活性,才能保证对微量 DNA 的高灵敏度和高亲和力,有效抓取数十个细胞中的有限结合位点;第二,由于 Tn5 转座酶对 DNA 的高亲和力,纯化过程中易产生非特异核酸残留。应用在仅有数十个细胞的 CUT&Tag实验中,非特异核酸残留会对建库效果和测序数据产生较大影响。因此,选择 CUT&Tag 用酶时,一方面需要对 Tn5 转座酶进行定向进化和突变,选择高活性突变株;另一方面,需要有较高的蛋白纯化工艺,尽可能降低非特异核酸残留。 参考文献 [1] Orlando, V
技术资料暂无技术资料 索取技术资料






