相关产品推荐更多 >
万千商家帮你免费找货
0 人在求购买到急需产品
- 详细信息
- 询价记录
- 文献和实验
- 技术资料
- 提供商:
北京永欣康泰科技发展有限公司
- 服务名称:
大鼠动脉硬化
1、球囊拉伤大鼠颈动脉,致颈动脉斑块模型
2、特殊球囊、手术快速、成活率达到90%
3、高脂饲料配制、干燥饲养,减少死亡
4、动物病变程度一致,药效结果客观
5、灌胃、尾静脉、皮下、肌肉多途径给药 采血
相关检测评价:
1、血常规、血清血脂检测分析
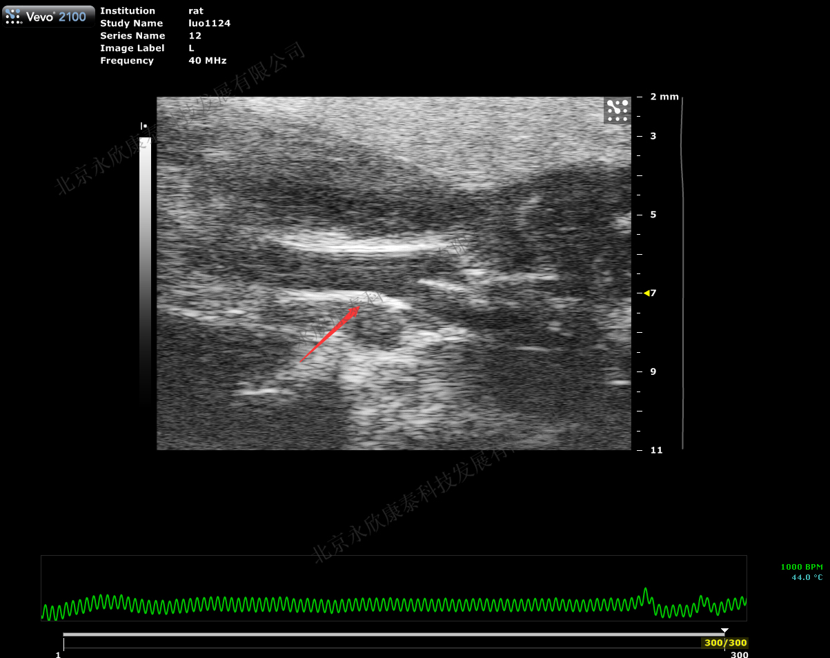
2、超声评价斑块程度
3、CT、核磁成像
4、动脉取材、石蜡、冰冻病理切片
5、血管油红染色、马松masson染色 HE染色、免疫组化、荧光
6、肝脏油红染色
7、病理读片,分析斑块状态及面积比例
8、扫描电镜分析血管内皮病变
9、相关基因、蛋白分析。WB、QPCR
实验室可构建的动物模型 :
| 构建动物模型名称 | 适用范围 |
| 1、裸鼠肿瘤(皮下、原位)动物实验 | 胰腺、肝、胃原位接种、皮下接种 |
| 2、兔 腹主动脉、颈动脉硬化(球囊法)模型 | 稳定制备 颈动脉、腹主动脉硬化模型 |
| 3、心肌缺血、大、小鼠、兔、小型猪心电图、心脏超声、病理评价 | 心肌缺血及再灌注、心梗、血压测定(麻醉及清醒状态下)等 |
| 4、Ⅰ、Ⅱ型糖尿病大小鼠、兔动物模型 | 高脂诱导+STZ制备糖尿病模型及糖尿病并发症研究,药效评价 |
| 5、骨质疏松大鼠、小鼠实验(去势) | 老年性骨质疏松相关疾病临床前药效评价 |
| 6、股骨头坏死、骨缺损、鼠、兔模型 | 镇静、镇痛动物模型,行为学模型制作及药物筛选 |
| 7、Apoe小鼠动脉粥样硬化整体实验 | 高脂饲养、取材、病理实验、大体染色等 |
| 8、急性粒细胞白血病动物实验 | |
| 9、肾结石快速成模大鼠模型 | 乙二醇致大鼠肾脏草酸钙结石模型 |
| 10、眼科大小鼠模型、视网膜铺片、 玻璃体腔内注射 |
眼科疾病模型及相关检测方法 |
| 11、脑缺血、帕金森、脑出血动物模型 | 脑病实验、颅内注射、技术成熟稳定 |
| 12、肾脏缺血、肾移植、肾衰动物模型 | 肾脏缺血、肾移植、肾衰竭实验及检测平台 |
检测平台
| 服务项目 | 服务承诺 | 服务周期 | 样本种类 |
| 病理切片、免疫组化 | 染色结果照片 | 2-3周 | 组织 |
| Western blotting | 胶片 | 1-2周 | 蛋白样本或组织 |
| 流式细胞服务 | 散点图、分析数据、设备信息等 | 1-2周 | 血样、骨髓等 |
| 细胞凋亡检测 | 凋亡图、数据分析 | 细胞 | |
| RT-PCR | 扩增图 | 1-2周 | RNA或组织 |
| 血压监测(无创式) | 实时血压数据 | 大、小鼠 |
备注:以上只是常规制备的动物模型种类,如果有其他动物模型制备的需求,也可以按照方案进行定制
永欣康泰坚持:
上门取样、客服专人跟进项目进度、随时汇报实验进展、为您有效降低科研成本、缩短实验周期。
<-----扫码关注我们秉承工匠精神 保持严谨态度、专业技术
拓宽思路和眼界 积极探索新的模型构建方法
不断积累经验 完成客户的每一项托付
风险提示:丁香通仅作为第三方平台,为商家信息发布提供平台空间。用户咨询产品时请注意保护个人信息及财产安全,合理判断,谨慎选购商品,商家和用户对交易行为负责。对于医疗器械类产品,请先查证核实企业经营资质和医疗器械产品注册证情况。
- 作者
- 内容
- 询问日期
文献和实验记录仪并在在同一时间内完成睡眠日记。研究人员会量化参与者的个人睡眠时长、睡眠持续时间和入睡时间来评估睡眠规律性,通过评估参与者的冠状动脉钙化(Coronary artery calcium, CAC)、颈动脉斑块、颈动脉中膜厚度(Carotid intima-media thickness, cIMT)和踝肱指数(Ankle brachial index,ABI)等亚临床动脉粥样硬化相关指标(图 2),使用 COX 回归模型计算现患比(Prevalence ratio,PR)等数值,得出两者之间
; a journal of technical methods and pathology. 2017;97(8):935-945. 小提示 使用AAV9-Pcsk9-D377Y构建动物模型可以选择联合部分颈动脉结扎术(PCL),快速诱导斑块的形成,虽然说动脉粥样硬化是是多种因素共同诱导的疾病,但是血流紊乱区域常常是动脉粥样硬化开始发展的地方。这样也使得小鼠的病变的位置变得可控,对模型的影响更加单一,减少其他因素的影响。部分颈动脉结扎引起的动脉粥样硬化的分子机制与人动脉粥样硬化易发区域(如主动
)。 实验用大鼠 01、SD大鼠 来源: 1925年Robert W.Dawley将一只杂种雄性和一只雌性Wistar大鼠交配,得到该品系; 特征: 产仔多,生殖力强,生长发育较Wistar快;抗病能力强,尤其对呼吸道疾病的抵抗力很强;自发性肿瘤的发生率较低;对性激素敏感性高。 应用: 大鼠心肌梗死模型、大鼠心肌缺血再灌模型、肾切5/6模型、大鼠TAC模型、药物致大鼠糖尿病模型,等一些模型制备。 02、Wistar











