相关产品推荐更多 >
万千商家帮你免费找货
0 人在求购买到急需产品
- 详细信息
- 技术资料
- 库存:
44
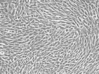
- 细胞形态:
上皮细胞样
- 运输方式:
常温运输/干冰运输
- 生长状态:
贴壁
- 英文名:
A875
A875人黑色素瘤细胞简介:
中文名称:人黑色素瘤细胞
简称:A875
细胞培养条件:MEM+10%FBS
生长特性:□ 贴壁 □悬浮 □半悬浮半贴壁
形态:上皮细胞样
来源:北京协和
是否通过STR鉴定:□是
背景资料:该细胞是一株人黑色素瘤细胞系。可用于建立动物研究模型。
本产品仅供科研!
A875人黑色素瘤细胞使用方法:
1、您收到细胞后,请按照以下方法进行操作:
取出15ml离心管,75%酒精擦拭培养瓶,拆下封口膜,放入37℃,5%CO2细胞培养箱中静置2-3小时以稳定细胞状态,然后离心换用新鲜完全培养液继续培养或进行传代。
2、细胞传代:
待细胞达到一定密度(不超过1x10^6/ml)可按照以下方法换液培养或传代。
方法①:收集细胞,1000rpm离心5min,弃去上清液,补加1-2mL培养液后吹匀,将细胞悬液按1:2到1:3的比例分到新的含8ml培养基的新皿中或者瓶中。
方法②:可选择半数换液方式,弃去半数培养基后,将剩余细胞悬起,将细胞悬液按1:2到1:3的比例分到新的含8ml培养基的新皿中或者瓶中。
3、细胞冻存:
1)将细胞悬液转移至15ml离心管中,1000rpm离心5min;
2)用适量的冻存液(FBS:DMSO=9 :1)重悬细胞,并放置于冻存管中;
3)先将细胞冻存管放置于-20℃ 1.5h,然后将其移入-80℃过夜,24h后转入液氮中进行长期保存。使用程序降温盒可直接放入-80℃。
4、细胞复苏:
1)从液氮中取出细胞冻存管(注意:佩戴防爆管面具),快速将其置入37℃水浴中解冻,直至冻存管中无结晶,然后用75%的酒精擦拭冻存管外壁;
2)将冻存管中的细胞移至含10ml完全培养基的15ml离心管中, 1000rpm离心5min;
3)弃上清,沉淀用5ml完全培养基重悬,接种25cm2培养瓶,于37℃,5%CO2细胞培养箱中培养;
4)第二天,换用新鲜完全培养基继续培养。
中文名称:人黑色素瘤细胞
简称:A875
细胞培养条件:MEM+10%FBS
生长特性:□ 贴壁 □悬浮 □半悬浮半贴壁
形态:上皮细胞样
来源:北京协和
是否通过STR鉴定:□是
背景资料:该细胞是一株人黑色素瘤细胞系。可用于建立动物研究模型。
本产品仅供科研!
A875人黑色素瘤细胞使用方法:
1、您收到细胞后,请按照以下方法进行操作:
取出15ml离心管,75%酒精擦拭培养瓶,拆下封口膜,放入37℃,5%CO2细胞培养箱中静置2-3小时以稳定细胞状态,然后离心换用新鲜完全培养液继续培养或进行传代。
2、细胞传代:
待细胞达到一定密度(不超过1x10^6/ml)可按照以下方法换液培养或传代。
方法①:收集细胞,1000rpm离心5min,弃去上清液,补加1-2mL培养液后吹匀,将细胞悬液按1:2到1:3的比例分到新的含8ml培养基的新皿中或者瓶中。
方法②:可选择半数换液方式,弃去半数培养基后,将剩余细胞悬起,将细胞悬液按1:2到1:3的比例分到新的含8ml培养基的新皿中或者瓶中。
3、细胞冻存:
1)将细胞悬液转移至15ml离心管中,1000rpm离心5min;
2)用适量的冻存液(FBS:DMSO=9 :1)重悬细胞,并放置于冻存管中;
3)先将细胞冻存管放置于-20℃ 1.5h,然后将其移入-80℃过夜,24h后转入液氮中进行长期保存。使用程序降温盒可直接放入-80℃。
4、细胞复苏:
1)从液氮中取出细胞冻存管(注意:佩戴防爆管面具),快速将其置入37℃水浴中解冻,直至冻存管中无结晶,然后用75%的酒精擦拭冻存管外壁;
2)将冻存管中的细胞移至含10ml完全培养基的15ml离心管中, 1000rpm离心5min;
3)弃上清,沉淀用5ml完全培养基重悬,接种25cm2培养瓶,于37℃,5%CO2细胞培养箱中培养;
4)第二天,换用新鲜完全培养基继续培养。
风险提示:丁香通仅作为第三方平台,为商家信息发布提供平台空间。用户咨询产品时请注意保护个人信息及财产安全,合理判断,谨慎选购商品,商家和用户对交易行为负责。对于医疗器械类产品,请先查证核实企业经营资质和医疗器械产品注册证情况。
技术资料暂无技术资料 索取技术资料
A875人黑色素瘤细胞
¥600 - 2000









