相关产品推荐更多 >
万千商家帮你免费找货
0 人在求购买到急需产品
- 详细信息
- 文献和实验
- 技术资料
- 免疫原:
Vpr(HIV-1) binding protein
- 亚型:
IgG
- 形态:
liquid
- 保存条件:
-20℃ 12月
- 克隆性:
polyclonal
- 标记物:
未标记
- 适应物种:
Human, Mouse, Rat
- 保质期:
-20℃ 12月
- 抗原来源:
Vpr(HIV-1) binding protein
- 目录编号:
FNab09424
- 级别:
科研
- 库存:
100
- 供应商:
武汉菲恩生物科技有限公司
- 宿主:
Rabbit
- 应用范围:
ELISA, WB, IHC, IP, FC
- 靶点:
DCAF1
- 抗体英文名:
DCAF1 antibody
- 抗体名:
DCAF1抗体
- 规格:
50ug/100ug
| 规格: | 50ug | 产品价格: | ¥1140.0 |
|---|---|---|---|
| 规格: | 100ug | 产品价格: | ¥1900.0 |

产品介绍
| 产品名称 | DCAF1 antibody |
| 中文名称 | DCAF1抗体 |
| 货号 | FNab09424 |
| 规格 | 50ug/100ug |
| 宿主 | Rabbit |
| 反应种属 | Human, Mouse, Rat |
| 验证应用 | ELISA, WB, IHC, IP, FC |
| 状态 | liquid |
| 纯化方法 | Immunogen affinity purified |
| 纯度 | ≥95% as determined by SDS-PAGE |
| 克隆性 | polyclonal |
| 亚型 | IgG |
| 免疫原 | Vpr(HIV-1) binding protein |
| 免疫原别称 | DDB1- and CUL4-associated factor 1|HIV-1 Vpr-binding protein (VprBP)|Serine/threonine-protein kinase VPRBP|Vpr-interacting protein|DCAF1|KIAA0800|RIP|VPRBP |
| Uniprot ID | Q9Y4B6 |
| 分子量 | 169 kDa |
| 建议稀释比例 | WB: 1:500-1:2000; IP: 1:500-1:2000; IHC: 1:50-1:500 |
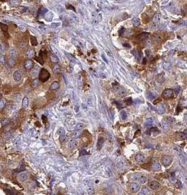
| 验证图片 |
Immunohistochemistry of paraffin-embedded human prostate cancer tissue slide using FNab09424(VPRBP Antibody) at dilution of 1:50 IP Result of anti-VPRBP (IP:FNab09424, 3ug; Detection:FNab09424 1:1000) with HeLa cells lysate 3800ug.
HeLa cells were subjected to SDS PAGE followed by western blot with FNab09424(VPRBP antibody) at dilution of 1:500 |
| 存储 | PBS with 0.02% sodium azide and 50% glycerol pH 7.3, -20℃ for 12 months(Avoid repeated freeze / thaw cycles.) |
| 注意事项 | DCAF1 antibody仅供科研使用 |
菲恩生物抗体产品优势
种类齐全:有10000多种经过验证的免多抗和小鼠单抗,包括流式抗体、内参抗体、标签抗体、小分子化合物抗体、对照抗体等;
多种标记/非标记二抗:针对兔、羊、小鼠、大鼠、人等多个种属。100多种标记二抗,标记物包括HRP、Biotin、FITC、Cy3、Alexa Fluor 488、Alexa Fluor 594等,通过了蛋白质印迹、免疫荧光、免疫组织化学、流式细胞术和ELISA等免疫学相关应用的充分验证,可满足各种实验需求;
验证过多种实验:ELISA、WB、IHC、IF、IP、FC等应用,并进行了广泛的物种交叉实验。
风险提示:丁香通仅作为第三方平台,为商家信息发布提供平台空间。用户咨询产品时请注意保护个人信息及财产安全,合理判断,谨慎选购商品,商家和用户对交易行为负责。对于医疗器械类产品,请先查证核实企业经营资质和医疗器械产品注册证情况。
文献和实验3 篇 Nature 连发,解决世纪难题,周期蛋白的毁灭调控蕴含癌症患者的新生
缺陷小鼠模型中作为肿瘤抑制因子,通过全基因组 CRISPR Cas9 筛选发现 AMBRA1 缺失通过促进 cyclin D 与 CDK2 复合物的形成,降低了对 CDK4/6 抑制剂的敏感性。 图片来源:Nature Simoneschi 的研究表明,CRL4AMBRA1(CRL4DCAF3) 是一种泛素连接酶,在正常细胞周期进程中,以及在营养缺乏和遗传毒性胁迫下,作用于所有三种 cyclin D,使其泛素化降解。同时还提出了,AMBRA1 水平的降低可能是对 CDK
Nature 深度剖析:管坤良与 Alj 组研究成果为何截然相反,Hippo 通路调控乳腺癌的两面性
1/2 通过调控 ERα 及 YAP/TAZ 的降解,决定原始乳腺上皮细胞(PHBECs)的分化,及 ER + 乳腺癌细胞对内分泌治疗的敏感性。 图片来源:Nature 作者发现,抑制 LATS1/2 的表达促使 PHBECs 往腔面型(Luminal)方向分化,产生具有强自我更新能力(self-renewal)的腔面谱系细胞。在机制上,LATS1/2 可以通过结合 ERα 并募集泛素连接酶底物受体 DCAF1/DCAF13,通过泛素 - 蛋白酶体途径诱导 ERα 的降解,且这一过程不依赖其激酶
抗肝肾微粒体抗体(LKM)是一种自身抗体。是诊断II型自身免疫性肝炎的血清学指标,靶抗原为LKM-1(细胞色素P450IID6)、LKM-2、LKM-3和肝微粒体。 自身免疫性肝炎按血清学标志至少可分为三型:Ⅰ型(“狼疮样”肝炎)以出现抗核抗体(ANA)、平滑肌抗体(ASMA)、肝细胞膜抗体(LMA抗体)为特征;Ⅱ型以出现LKM抗体为特征;Ⅲ型以出现可溶性肝抗原抗体(SLA抗体)为特征。 LKM-1抗体为自身免疫性肝炎Ⅱ型的血清
技术资料暂无技术资料 索取技术资料








