相关产品推荐更多 >
万千商家帮你免费找货
0 人在求购买到急需产品
- 详细信息
- 询价记录
- 文献和实验
- 技术资料
- 免疫原:
voltage-dependent anion channel 1
- 亚型:
IgG
- 形态:
liquid
- 保存条件:
-20℃ 12月
- 克隆性:
polyclonal
- 标记物:
未标记
- 适应物种:
human, mouse, rat
- 保质期:
-20℃ 12月
- 抗原来源:
voltage-dependent anion channel 1
- 目录编号:
FNab09384
- 级别:
科研
- 库存:
100
- 供应商:
武汉菲恩生物科技有限公司
- 宿主:
Rabbit
- 应用范围:
ELISA, WB, IHC, FC, IP
- 靶点:
VDAC1
- 抗体英文名:
VDAC1 antibody
- 抗体名:
VDAC1抗体
- 规格:
50ug/100ug
| 规格: | 50ug | 产品价格: | ¥1140.0 |
|---|---|---|---|
| 规格: | 100ug | 产品价格: | ¥1900.0 |

产品介绍
| 产品名称 | VDAC1 antibody |
| 中文名称 | VDAC1抗体 |
| 货号 | FNab09384 |
| 规格 | 50ug/100ug |
| 宿主 | Rabbit |
| 反应种属 | human, mouse, rat |
| 验证应用 | ELISA, WB, IHC, FC, IP |
| 状态 | liquid |
| 纯化方法 | Immunogen affinity purified |
| 纯度 | ≥95% as determined by SDS-PAGE |
| 克隆性 | polyclonal |
| 亚型 | IgG |
| 免疫原 | voltage-dependent anion channel 1 |
| 免疫原别称 | Voltage-dependent anion-selective channel protein 1 (VDAC-1, hVDAC1)|Outer mitochondrial membrane protein porin 1|Plasmalemmal porin|Porin 31HL|Porin 31HM|VDAC1|VDAC |
| Uniprot ID | P21796 |
| 分子量 | 31 kDa |
| 建议稀释比例 | WB: 1:1000-1:6000; IP: 1:500-1:1000; IHC: 1:20-1:200 |
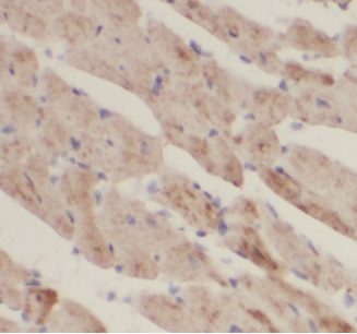
| 验证图片 | Immunohistochemistry of paraffin-embedded human heart using FNab09384(VDAC1 antibody) at dilution of 1:50 IP Result of anti-VDAC1/Porin (IP:FNab09384, 4ug; Detection:FNab09384 1:500) with A431 cells lysate 2400ug. Hela cells were subjected to SDS PAGE followed by western blot with FNab09384(VDAC1 antibody) at dilution of 1:500 |
| 存储 | PBS with 0.02% sodium azide and 50% glycerol pH 7.3, -20℃ for 12 months(Avoid repeated freeze / thaw cycles.) |
| 注意事项 | VDAC1 antibody仅供科研使用 |
菲恩生物抗体产品优势
种类齐全:有10000多种经过验证的免多抗和小鼠单抗,包括流式抗体、内参抗体、标签抗体、小分子化合物抗体、对照抗体等;
多种标记/非标记二抗:针对兔、羊、小鼠、大鼠、人等多个种属。100多种标记二抗,标记物包括HRP、Biotin、FITC、Cy3、Alexa Fluor 488、Alexa Fluor 594等,通过了蛋白质印迹、免疫荧光、免疫组织化学、流式细胞术和ELISA等免疫学相关应用的充分验证,可满足各种实验需求;
验证过多种实验:ELISA、WB、IHC、IF、IP、FC等应用,并进行了广泛的物种交叉实验。
风险提示:丁香通仅作为第三方平台,为商家信息发布提供平台空间。用户咨询产品时请注意保护个人信息及财产安全,合理判断,谨慎选购商品,商家和用户对交易行为负责。对于医疗器械类产品,请先查证核实企业经营资质和医疗器械产品注册证情况。
- 作者
- 内容
- 询问日期
文献和实验蛋白检测,常用的内参抗体为Na,K ATPase。对于线粒体蛋白的检测,常用VDAC1和COX IV作为内参抗体。 以上几条原则只是针对通常情况,但是需要注意的问题是——内参的选择需要考虑实际的试验环境,比如某些细胞中,由于组织缺氧、糖尿病等因素会导致GAPDH的表达增高,不适合做内参。比如在涉及细胞增殖相关试验中,c-Jun由于自身表达变化就不适合做内参;而在凋亡实验时,TBP、Lamin等也不适合作为内参。因此设计实验方案的时候应该考虑这些因素并查询相应文献,在实验过程中也应该注意如果内参
Western Blot 又称为蛋白质印迹,是分子生物学、生物化学和免疫遗传学中常用的基于抗体抗原之间特异免疫反应的一种定量或定性检测蛋白的实验方法。其基本原理为:聚丙烯酰胺凝胶电泳将不同分子量的蛋白质样品分离,分离后的蛋白被转移到固相支撑物(杂交膜)上,抗体特异性识别目标蛋白,通过酶促反应或者化学发光等方法将目标蛋白可视化,从而对蛋白进行定性或者定量研究。抗体与抗原之间的特异性识别是 Western Blot 实验中最为关键的一个步骤,选择的抗体是否合适、抗体的质量优劣都关乎实验的成败。下面
。 3.目的蛋白表达部位: 就一般的蛋白检测来说,Actin、β-actin、β-Tubulin 抗体等就可以了,而针对于核蛋白的定量,特别是样本蛋白就是核蛋白时,选择恰当的核蛋白内参则更能体现内部参照的价值。常用的核内参抗体有 Lamin A、Lamin B、Histone H3,除此之外,其而对于膜蛋白检测,常用的内参抗体为 Na,K ATPase。对于线粒体蛋白的检测,常用 VDAC1 和 COX IV 作为内参抗体。 以上几条原则只是针对通常情况,但是需要注意的问题
技术资料暂无技术资料 索取技术资料









