相关产品推荐更多 >
万千商家帮你免费找货
0 人在求购买到急需产品
- 详细信息
- 文献和实验
- 技术资料
- 免疫原:
valyl-tRNA synthetase 2, mitochondrial(putative)
- 亚型:
IgG
- 形态:
liquid
- 保存条件:
-20℃ 12月
- 克隆性:
polyclonal
- 标记物:
未标记
- 适应物种:
Human, Mouse, Rat
- 保质期:
-20℃ 12月
- 抗原来源:
valyl-tRNA synthetase 2, mitochondrial(putative)
- 目录编号:
FNab09372
- 级别:
科研
- 库存:
100
- 供应商:
武汉菲恩生物科技有限公司
- 宿主:
Rabbit
- 应用范围:
ELISA, WB, IHC
- 靶点:
VARS2
- 抗体英文名:
VARS2 antibody
- 抗体名:
VARS2抗体
- 规格:
50ug/100ug
| 规格: | 50ug | 产品价格: | ¥1140.0 |
|---|---|---|---|
| 规格: | 100ug | 产品价格: | ¥1900.0 |

产品介绍
| 产品名称 | VARS2 antibody |
| 中文名称 | VARS2抗体 |
| 货号 | FNab09372 |
| 规格 | 50ug/100ug |
| 宿主 | Rabbit |
| 反应种属 | Human, Mouse, Rat |
| 验证应用 | ELISA, WB, IHC |
| 状态 | liquid |
| 纯化方法 | Immunogen affinity purified |
| 纯度 | ≥95% as determined by SDS-PAGE |
| 克隆性 | polyclonal |
| 亚型 | IgG |
| 免疫原 | valyl-tRNA synthetase 2, mitochondrial(putative) |
| 免疫原别称 | Valine--tRNA ligase, mitochondrial|Valyl-tRNA synthetase (ValRS)|Valyl-tRNA synthetase-like|VARS2|KIAA1885|VARS2L|VARSL |
| Uniprot ID | Q5ST30 |
| 分子量 | 118 kDa |
| 建议稀释比例 | WB: 1:500-1:5000; IHC: 1:20-1:200;IF: 1:50-1:500; IP: 1:200-1:2000 |
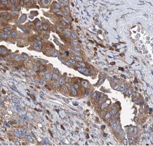
| 验证图片 | Immunohistochemistry of paraffin-embedded human ovary tumor using FNab09372(VARS2 antibody) at dilution of 1:100 HeLa cells were subjected to SDS PAGE followed by western blot with FNab09372(VARS2 antibody) at dilution of 1:500 |
| 存储 | PBS with 0.02% sodium azide and 50% glycerol pH 7.3, -20℃ for 12 months(Avoid repeated freeze / thaw cycles.) |
| 注意事项 | VARS2 antibody仅供科研使用 |
菲恩生物抗体产品优势
种类齐全:有10000多种经过验证的免多抗和小鼠单抗,包括流式抗体、内参抗体、标签抗体、小分子化合物抗体、对照抗体等;
多种标记/非标记二抗:针对兔、羊、小鼠、大鼠、人等多个种属。100多种标记二抗,标记物包括HRP、Biotin、FITC、Cy3、Alexa Fluor 488、Alexa Fluor 594等,通过了蛋白质印迹、免疫荧光、免疫组织化学、流式细胞术和ELISA等免疫学相关应用的充分验证,可满足各种实验需求;
验证过多种实验:ELISA、WB、IHC、IF、IP、FC等应用,并进行了广泛的物种交叉实验。
风险提示:丁香通仅作为第三方平台,为商家信息发布提供平台空间。用户咨询产品时请注意保护个人信息及财产安全,合理判断,谨慎选购商品,商家和用户对交易行为负责。对于医疗器械类产品,请先查证核实企业经营资质和医疗器械产品注册证情况。
文献和实验人抗磷脂酶A2抗体(Anti-PLA2R)酶联免疫分析(ELISA)
人 抗磷脂酶 A2 抗体( Anti-PLA2R ) 酶联免疫分析( ELISA ) 试剂盒使用说明书 本试剂盒仅供研究使用。 使用目的: 本试剂盒用于测定人血清,血浆及相关液体样本中 抗磷脂酶 A2 抗体( Anti-PLA2R ) 含量。 实验原理 本试剂盒应用间接法测定标本中人 抗磷脂酶 A2 抗体( Anti-PLA2R ) 水平。用纯化的抗原包被微孔板,制成固相抗原,往包被单抗的微孔
人乙型肝炎病毒前S2抗体(HBV preS2Ab)酶联免疫分析
人 乙型肝炎病毒前S2抗体(HBV preS2Ab) 酶联免疫 分析( ELISA ) 试剂 盒使用说明书 本试剂仅供研究使用 目的:本试剂盒用于测定人血清,血浆,组织液及相关液体样本中 乙型肝炎病毒前S2抗体(HBV preS2Ab)的 含量。 实验原理 : 本试剂盒应用双 抗原 夹心法测定 标本 中 人 乙型肝炎病毒前S2 抗体 (HBV preS2Ab) 水平。用纯化的 抗原 包被微孔板,制成固相 抗原 ,往包被单抗的微孔中依次
我的石蜡切片又「团灭」了!没关系,专业技术人员与您并肩推塔!
Antibody Diluent #8112 稀释PD-L2抗体(#82723)稀释度为1:200。11. 横沥封闭液,用卫生纸尽量吸干封闭液后,将一抗滴加在切片上。(此步建议一张张完成,防止干片)12. 将湿盒小心移入4度冰箱,过夜。CST技术人员正在配置和滴加抗体二抗孵育与显色13. 小心取出湿盒,在室温平衡45分钟左右。14. 洗涤:切片浸没于TBST中,3 ×5 min。15. 将二抗SignalStain® Boost IHC Detection Reagent (HRP, Rabbit)#8114
技术资料暂无技术资料 索取技术资料








