相关产品推荐更多 >
万千商家帮你免费找货
0 人在求购买到急需产品
- 详细信息
- 文献和实验
- 技术资料
- 免疫原:
cyclic AMP phosphoprotein, 19 kD
- 亚型:
IgG
- 形态:
liquid
- 保存条件:
-20℃ 12月
- 克隆性:
polyclonal
- 标记物:
未标记
- 适应物种:
Human, Mouse, Rat
- 保质期:
-20℃ 12月
- 抗原来源:
cyclic AMP phosphoprotein, 19 kD
- 目录编号:
FNab00606
- 级别:
科研
- 库存:
100
- 供应商:
武汉菲恩生物科技有限公司
- 宿主:
Rabbit
- 应用范围:
ELISA, IHC, WB, IP, IF
- 靶点:
ARPP19
- 抗体英文名:
ARPP19 antibody
- 抗体名:
ARPP19抗体
- 规格:
50ug/100ug
| 规格: | 50ug | 产品价格: | ¥1050.0 |
|---|---|---|---|
| 规格: | 100ug | 产品价格: | ¥1750.0 |

产品介绍
| 产品名称 | ARPP19 antibody |
| 中文名称 | ARPP19抗体 |
| 货号 | FNab00606 |
| 规格 | 50ug/100ug |
| 宿主 | Rabbit |
| 反应种属 | Human, Mouse, Rat |
| 验证应用 | ELISA, IHC, WB, IP, IF |
| 状态 | liquid |
| 纯化方法 | Immunogen affinity purified |
| 纯度 | ≥95% as determined by SDS-PAGE |
| 克隆性 | polyclonal |
| 亚型 | IgG |
| 免疫原 | cyclic AMP phosphoprotein, 19 kD |
| 免疫原别称 | cAMP-regulated phosphoprotein 19 (ARPP-19)|ARPP19 |
| Uniprot ID | P56211 |
| 分子量 | 19 kDa |
| 建议稀释比例 | WB: 1:500-1:1000; IF: 1:10-1:100 ; IHC: 1:20-1:200 |
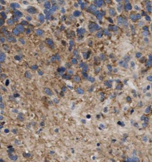
| 验证图片 |
Immunohistochemistry of paraffin-embedded human gliomas using FNab00606(ARPP-19 antibody) at dilution of 1:50 IP Result of anti-ARPP-19 (IP:FNab00606, 3ug; Detection:FNab00606 1:500) with mouse brain tissue lysate 5200ug.
Jurkat cells were subjected to SDS PAGE followed by western blot with FNab00606(ARPP-19 antibody) at dilution of 1:500 |
| 存储 | PBS with 0.02% sodium azide and 50% glycerol pH 7.3, -20℃ for 12 months(Avoid repeated freeze / thaw cycles.) |
| 注意事项 | ARPP19 antibody仅供科研使用 |
菲恩生物抗体产品优势
种类齐全:有10000多种经过验证的免多抗和小鼠单抗,包括流式抗体、内参抗体、标签抗体、小分子化合物抗体、对照抗体等;
多种标记/非标记二抗:针对兔、羊、小鼠、大鼠、人等多个种属。100多种标记二抗,标记物包括HRP、Biotin、FITC、Cy3、Alexa Fluor 488、Alexa Fluor 594等,通过了蛋白质印迹、免疫荧光、免疫组织化学、流式细胞术和ELISA等免疫学相关应用的充分验证,可满足各种实验需求;
验证过多种实验:ELISA、WB、IHC、IF、IP、FC等应用,并进行了广泛的物种交叉实验。
风险提示:丁香通仅作为第三方平台,为商家信息发布提供平台空间。用户咨询产品时请注意保护个人信息及财产安全,合理判断,谨慎选购商品,商家和用户对交易行为负责。对于医疗器械类产品,请先查证核实企业经营资质和医疗器械产品注册证情况。
文献和实验人微小病毒B19IgM抗体(B19IgM-Ab)酶联免疫分析
人 微小病毒 B19IgM 抗体( B19IgM-Ab ) 酶联免疫分析(ELISA ) 试剂盒使用说明书 本试剂仅供研究使用 目的:本试剂盒用于测定人血清,血浆及相关液体样本中 微小病毒B19IgM 抗体(B19IgM-Ab )水平 。 实验原理: 本试剂盒采用双抗原夹心酶联免疫法( ELISA )测定标本中 人 微小病毒B19IgM 抗体(B19IgM-Ab )水平 。用纯化的 人 微小
人微小病毒B19IgG抗体(B19IgG-Ab)酶联免疫分析
人 微小病毒 B19IgG 抗体( B19IgG-Ab ) 酶联免疫分析(ELISA ) 试剂盒使用说明书 本试剂仅供研究使用 目的:本试剂盒用于测定人血清,血浆及相关液体样本中 微小病毒B19IgG 抗体(B19IgG-Ab )水平 。 实验原理: 本试剂盒采用双抗原夹心酶联免疫法( ELISA )测定标本中 人 微小病毒B19IgG 抗体(B19IgG-Ab )水平 。用纯化的 人 微小
MACSQuant Tyto 细胞分选仪助力开发 COVID-19 新疗法
. Schleimann 团队在奥胡斯大学医院是如何设立的? 我们的部门本质上是医院和大学的结合,医学博士和博士生,博士后和其他科学家组成了团队的一部分。总的来说,我们由三个独立但紧密相连的群体组成,总共约有 40 人,他们每天都在研究传染病和临床医学。目前,其中一个目标是发现中和抗体用于 COVID-19 疗法,这也是我们在常规 HIV 研究中尝试使用的疗法;这是一种新的治疗方法,具有很大的潜力。 我们许多研究者进入细胞生物学领域,是为各种疾病努力寻找治疗方法,帮助
技术资料暂无技术资料 索取技术资料








