相关产品推荐更多 >
万千商家帮你免费找货
0 人在求购买到急需产品
- 详细信息
- 文献和实验
- 技术资料
- 免疫原:
ADAM metallopeptidase domain 17
- 亚型:
IgG
- 形态:
liquid
- 保存条件:
PBS with 0.02% sodium azide and 50% glycerol pH 7.3, -20℃ for 12 months(Avoid repeated freeze / thaw cycles.)
- 克隆性:
多克隆抗体
- 适应物种:
Human
- 保质期:
-20℃ for 12 months(Avoid repeated freeze / thaw cycles.)
- 抗原来源:
ADAM metallopeptidase domain 17
- 目录编号:
FNab00139
- 级别:
科研
- 库存:
100
- 供应商:
武汉菲恩生物科技有限公司
- 宿主:
Rabbit
- 应用范围:
ELISA, WB
- 靶点:
ADAM metallopeptidase domain 17
- 抗体英文名:
ADAM17-Specific antibody
- 抗体名:
ADAM17-Specific antibody
- 规格:
50μg/100μg
| 规格: | 50μg | 产品价格: | ¥1050.0 |
|---|---|---|---|
| 规格: | 100μg | 产品价格: | ¥1750.0 |

ADAM17-Specific antibody|ADAM17特异性抗体宿主来源于Rabbit,克隆性:polyclonal,适用种属:Human,验证应用:ELISA, WB
-------------------------------------------------------------------------------------------------------------------------
产品介绍
| 产品名称 | ADAM17-Specific antibody |
|---|---|
| 货号 | FNab00139 |
| 规格 | 50μg, 100μg |
| 纯化方法 | Immunogen affinity purified |
| 纯度 | ≥95% as determined by SDS-PAGE |
| 宿主 | Rabbit |
| 克隆性 | polyclonal |
| 亚型 | IgG |
| 存储 | PBS with 0.02% sodium azide and 50% glycerol pH 7.3, -20℃ for 12 months(Avoid repeated freeze / thaw cycles.) |
| 分子量 | 29 kDa |
| Uniprot ID | P78536 |
| 适用种属 | Human |
| 验证应用 | ELISA, WB |
| 建议稀释比例 | WB: 1:200-1:2000; IHC: 1:20-1:200 |
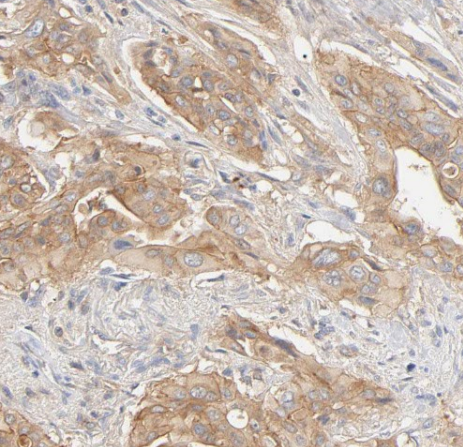
| 图片 | ![]() Immunohistochemistry of paraffin-embedded human pancreas cancer tissue slide using FNab00139(ADAM17-Specific Antibody) at dilution of 1:200 |
![]() human placenta tissue were subjected to SDS PAGE followed by western blot with FNab00139(ADAM17-Specific antibody) at dilution of 1:500 |
|
| 注意事项 | ADAM17-Specific antibody|ADAM17特异性抗体仅供科研使用 |

风险提示:丁香通仅作为第三方平台,为商家信息发布提供平台空间。用户咨询产品时请注意保护个人信息及财产安全,合理判断,谨慎选购商品,商家和用户对交易行为负责。对于医疗器械类产品,请先查证核实企业经营资质和医疗器械产品注册证情况。
文献和实验对蛋白质 C 末端小肽的抗体,常常能得到特异性识别该全蛋白的抗体。另外,蛋白的二级结构是 B 细胞表位计算机预测的重要参数之一,β转角为凸出结构,多出现在蛋白质抗原表面,有利于与抗体结合,较可能成为抗原表位。而α螺旋和β折叠结构规则不易变形,较难结合抗体,一般不作为抗原表位。含有 5 个以上的氨基酸残基的转角又常称为环 (loop)。以往的研究表明,蛋白表面的 loop 区可能为功能性抗体的识别位点,特异性好,可及性强。利用这类似抗原性分析结果,找到两个或者多个独立抗体,再通过比较和分析定量来确认
上海西唐生物科技有限公司 021-55229872, 65333639 www.westang.com 人 ADAM17(TACE)ELISA 试剂盒 ( 用于血清、血浆、细胞培养上清液和生物体液内 ) 原理 本实验采用双抗体夹心 ABC-ELISA 法。用抗人 ADAM17 单抗包被于酶标板上,标准品和样品中的 ADAM17 与单抗结合,加入生物素化的抗人 ADAM17 ,形成免疫复合物连接在板上,辣根
在免疫反应方面,基于抗原的刺激在体内形成、并与抗原作特异性结合的蛋白质之总称。其化学实质是免疫球蛋白。抗体,按照抗原抗体反应的类型可分别称为沉淀素、凝集素、溶血素、溶菌素、抗毒素、中和抗体等,但这些并不等于有相应的不同抗体存在,一般多只表明抗体反应的多样性而已。抗体在血清中含量最多(体液抗体=humoral antibody);含有某特定抗体的血清称为抗血或免疫血清。
技术资料暂无技术资料 索取技术资料










