相关产品推荐更多 >
万千商家帮你免费找货
0 人在求购买到急需产品
- 详细信息
- 文献和实验
- 技术资料
- 免疫原:
BCL2-associated agonist of cell death
- 亚型:
IgG
- 形态:
liquid
- 保存条件:
-20℃ 12月
- 克隆性:
polyclonal
- 标记物:
未标记
- 适应物种:
Human, Mouse, Rat
- 保质期:
-20℃ 12月
- 抗原来源:
BCL2-associated agonist of cell death
- 目录编号:
FNab00784
- 级别:
科研
- 库存:
100
- 供应商:
武汉菲恩生物科技有限公司
- 宿主:
Rabbit
- 应用范围:
ELISA, IHC, WB, IF
- 靶点:
BAD
- 抗体英文名:
BAD antibody
- 抗体名:
BAD抗体
- 规格:
50ug/100ug
| 规格: | 50ug | 产品价格: | ¥1050.0 |
|---|---|---|---|
| 规格: | 100ug | 产品价格: | ¥1750.0 |

产品介绍
| 产品名称 | BAD antibody |
| 中文名称 | BAD抗体 |
| 货号 | FNab00784 |
| 规格 | 50ug/100ug |
| 宿主 | Rabbit |
| 反应种属 | Human, Mouse, Rat |
| 验证应用 | ELISA, IHC, WB, IF |
| 状态 | liquid |
| 纯化方法 | Immunogen affinity purified |
| 纯度 | ≥95% as determined by SDS-PAGE |
| 克隆性 | polyclonal |
| 亚型 | IgG |
| 免疫原 | BCL2-associated agonist of cell death |
| 免疫原别称 | Bcl2-associated agonist of cell death (BAD)|Bcl-2-binding component 6|Bcl-2-like protein 8 (Bcl2-L-8)|Bcl-xL/Bcl-2-associated death promoter|Bcl2 antagonist of cell death|BAD|BBC6|BCL2L8 |
| Uniprot ID | Q92934 |
| 分子量 | 16 kDa |
| 建议稀释比例 | WB: 1:500 - 1:2000; IHC: 1:50 - 1:200; IF: 1:10 - 1:100 |
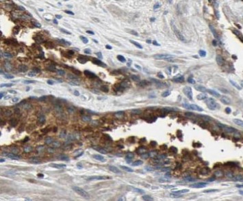
| 验证图片 | Immunohistochemistry of paraffin-embedded human prostate hyperplasia tissue slide using FNab00784( BAD Antibody) at dilution of 1:200 Immunofluorescence analysis of HeLa cells using FNab00784( BAD Antibody). Blue: DAPI for nuclear staining. mouse heart tissue were subjected to SDS PAGE followed by western blot with FNab00784(BAD antibody) at dilution of 1:1000 |
| 存储 | PBS with 0.02% sodium azide and 50% glycerol pH 7.3, -20℃ for 12 months (Avoid repeated freeze / thaw cycles.) |
| 注意事项 | BAD antibody仅供科研使用 |
菲恩生物抗体产品优势
种类齐全:有10000多种经过验证的免多抗和小鼠单抗,包括流式抗体、内参抗体、标签抗体、小分子化合物抗体、对照抗体等;
多种标记/非标记二抗:针对兔、羊、小鼠、大鼠、人等多个种属。100多种标记二抗,标记物包括HRP、Biotin、FITC、Cy3、Alexa Fluor 488、Alexa Fluor 594等,通过了蛋白质印迹、免疫荧光、免疫组织化学、流式细胞术和ELISA等免疫学相关应用的充分验证,可满足各种实验需求;
验证过多种实验:ELISA、WB、IHC、IF、IP、FC等应用,并进行了广泛的物种交叉实验。
风险提示:丁香通仅作为第三方平台,为商家信息发布提供平台空间。用户咨询产品时请注意保护个人信息及财产安全,合理判断,谨慎选购商品,商家和用户对交易行为负责。对于医疗器械类产品,请先查证核实企业经营资质和医疗器械产品注册证情况。
文献和实验Yeast IF without Dehydration--酵母免疫荧光(无甲醇脱水方法)
thoroughly and store at -20¡C. It turns brown when it is bad. 上一篇:贴壁细胞和悬浮细胞免疫荧光染色方法 下一篇:Antibody cleanup--清除非特异抗体
. I find that if you outline the wells with a sharpy before applying the cells, you can prevent mixing. Incubate for 15 min at RT. The cells can be incubated for overnight at this step. Incubate the cells in block containing antibody at the appropriate dilution
Yeast IF with Methanol/Acetone Dehydration
off the gloves. Block the cells in PBS pH7.4/ 0.5 BSA/0.5 ovalbumin. High speed spin this solution. Sometimes the inclusion of 0.5 Tween 20 can help the specificity of the antibody and should be included in this block solution. Be fore warned that the tween
技术资料暂无技术资料 索取技术资料









