相关产品推荐更多 >
万千商家帮你免费找货
0 人在求购买到急需产品
- 详细信息
- 文献和实验
- 技术资料
- 免疫原:
complement factor B
- 亚型:
IgG
- 形态:
liquid
- 保存条件:
-20℃ 12月
- 克隆性:
polyclonal
- 标记物:
未标记
- 适应物种:
Human
- 保质期:
-20℃ 12月
- 抗原来源:
complement factor B
- 目录编号:
FNab01853
- 级别:
科研
- 库存:
100
- 供应商:
武汉菲恩生物科技有限公司
- 宿主:
Rabbit
- 应用范围:
ELISA, WB, IHC
- 靶点:
CFB
- 抗体英文名:
CFB antibody
- 抗体名:
CFB抗体
- 规格:
50ug/100ug
| 规格: | 50ug | 产品价格: | ¥1050.0 |
|---|---|---|---|
| 规格: | 100ug | 产品价格: | ¥1750.0 |

产品介绍
| 产品名称 | CFB antibody |
| 中文名称 | CFB抗体 |
| 货号 | FNab01853 |
| 规格 | 50ug/100ug |
| 宿主 | Rabbit |
| 反应种属 | Human |
| 验证应用 | ELISA, WB, IHC |
| 状态 | liquid |
| 纯化方法 | Immunogen affinity purified |
| 纯度 | ≥95% as determined by SDS-PAGE |
| 克隆性 | polyclonal |
| 亚型 | IgG |
| 免疫原 | complement factor B |
| 免疫原别称 | Complement factor B|C3/C5 convertase|Glycine-rich beta glycoprotein (GBG)|PBF2|Properdin factor B|Complement factor B Ba fragment|Complement factor B Bb fragment|CFB|BF|BFD |
| Uniprot ID | P00751 |
| 分子量 | 93-100 kDa, 60-69 kDa |
| 建议稀释比例 | WB: 1:500-1:2000; IHC: 1:20-1:200 |
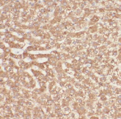
| 验证图片 | Immunohistochemistry of paraffin-embedded human liver tissue slide using FNab01853(CFB Antibody) at dilution of 1:50 human serum tissue were subjected to SDS PAGE followed by western blot with FNab01853(CFB antibody) at dilution of 1:800 |
| 存储 | PBS with 0.02% sodium azide and 50% glycerol pH 7.3, -20℃ for 12 months(Avoid repeated freeze / thaw cycles.) |
| 注意事项 | CFB antibody仅供科研使用 |
菲恩生物抗体产品优势
种类齐全:有10000多种经过验证的免多抗和小鼠单抗,包括流式抗体、内参抗体、标签抗体、小分子化合物抗体、对照抗体等;
多种标记/非标记二抗:针对兔、羊、小鼠、大鼠、人等多个种属。100多种标记二抗,标记物包括HRP、Biotin、FITC、Cy3、Alexa Fluor 488、Alexa Fluor 594等,通过了蛋白质印迹、免疫荧光、免疫组织化学、流式细胞术和ELISA等免疫学相关应用的充分验证,可满足各种实验需求;
验证过多种实验:ELISA、WB、IHC、IF、IP、FC等应用,并进行了广泛的物种交叉实验。
风险提示:丁香通仅作为第三方平台,为商家信息发布提供平台空间。用户咨询产品时请注意保护个人信息及财产安全,合理判断,谨慎选购商品,商家和用户对交易行为负责。对于医疗器械类产品,请先查证核实企业经营资质和医疗器械产品注册证情况。
文献和实验8 色多重荧光免疫组化方法揭示补体在早期类风湿关节炎发展中的作用
类风湿关节炎(RA)是一种以滑膜增生和炎症为特征的自身免疫性疾病。在血清阳性 RA 中发现自身抗体表明,由于关节中局部存在免疫复合物,补体系统激活可能发挥病理生理作用。尽管在开发类风湿关节炎新疗法方面取得了巨大进展,但目前尚无基于补体系统的疗法被批准用于临床治疗。 来自美国科罗拉多大学安舒茨医学院、英国威廉哈维研究所实验医学和风湿病学中心、伦敦玛丽女王大学伦敦医学和牙科学院和卡迪夫大学医学院的研究人员,为了探索特定补体因子在早期类风湿关节炎中的作用机制及其临床应用可能性,对于PEAC(早期
技术资料暂无技术资料 索取技术资料








