相关产品推荐更多 >
万千商家帮你免费找货
0 人在求购买到急需产品
- 详细信息
- 文献和实验
- 技术资料
- 免疫原:
endoglin
- 亚型:
IgG
- 形态:
liquid
- 保存条件:
-20℃ 12月
- 克隆性:
polyclonal
- 标记物:
未标记
- 适应物种:
Human, Mouse, Rat
- 保质期:
-20℃ 12月
- 抗原来源:
endoglin
- 目录编号:
FNab02761
- 级别:
科研
- 库存:
100
- 供应商:
武汉菲恩生物科技有限公司
- 宿主:
Rabbit
- 应用范围:
ELISA, WB, IP, IHC
- 靶点:
ENG
- 抗体英文名:
ENG antibody
- 抗体名:
ENG抗体
- 规格:
50ug/100ug
| 规格: | 50ug | 产品价格: | ¥1050.0 |
|---|---|---|---|
| 规格: | 100ug | 产品价格: | ¥1750.0 |

产品介绍
| 产品名称 | ENG antibody |
| 中文名称 | ENG抗体 |
| 货号 | FNab02761 |
| 规格 | 50ug/100ug |
| 宿主 | Rabbit |
| 反应种属 | Human, Mouse, Rat |
| 验证应用 | ELISA, WB, IP, IHC |
| 状态 | liquid |
| 纯化方法 | Immunogen affinity purified |
| 纯度 | ≥95% as determined by SDS-PAGE |
| 克隆性 | polyclonal |
| 亚型 | IgG |
| 免疫原 | endoglin |
| 免疫原别称 | Endoglin|ENG|END |
| Uniprot ID | P17813 |
| 分子量 | 68-75 kDa, 170-180 kDa |
| 建议稀释比例 | WB: 1:200-1:1000; IP: 1:200-1:1000; IHC: 1:2000-1:8000 |
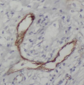
| 验证图片 |
Immunohistochemistry of paraffin-embedded human pancreas using FNab02761(ENG antibody) at dilution of 1:4000 IP Result of anti- CD105 (IP: FNab02761, 3ug; Detection: FNab02761 1:300) with mouse lung tissue lysate 4000ug.
mouse lung tissue were subjected to SDS PAGE followed by western blot with FNab02761(ENG antibody) at dilution of 1:300 |
| 存储 | PBS with 0.02% sodium azide and 50% glycerol pH 7.3, -20℃ for 12 months(Avoid repeated freeze / thaw cycles.) |
| 注意事项 | ENG antibody仅供科研使用 |
菲恩生物抗体产品优势
种类齐全:有10000多种经过验证的免多抗和小鼠单抗,包括流式抗体、内参抗体、标签抗体、小分子化合物抗体、对照抗体等;
多种标记/非标记二抗:针对兔、羊、小鼠、大鼠、人等多个种属。100多种标记二抗,标记物包括HRP、Biotin、FITC、Cy3、Alexa Fluor 488、Alexa Fluor 594等,通过了蛋白质印迹、免疫荧光、免疫组织化学、流式细胞术和ELISA等免疫学相关应用的充分验证,可满足各种实验需求;
验证过多种实验:ELISA、WB、IHC、IF、IP、FC等应用,并进行了广泛的物种交叉实验。
风险提示:丁香通仅作为第三方平台,为商家信息发布提供平台空间。用户咨询产品时请注意保护个人信息及财产安全,合理判断,谨慎选购商品,商家和用户对交易行为负责。对于医疗器械类产品,请先查证核实企业经营资质和医疗器械产品注册证情况。
文献和实验the boiling point of water. Adv. Biochem. Eng. Biotechnol 61 , 37-85. 3. Querol, E ., Perez-Pons, J. A. , and Mozo-Villarias, A. ( 1 99 6 ) Analysis of protein conformational characteristics related to thermostability. Protein Eng. 9, 265-271
随着分子诊断学的不断发展,有人认为膜将逐渐失宠。然而,事实绝非如此。在体外诊断(IVD)的发展过程中,膜材料和微孔材料一直长期占据中心地位。硝酸纤维、尼龙等材料制作成膜,这些膜的使用促进了以抗原抗体相互作用为基础的免疫检测的发展,并使这些测定获得了今天所拥有的市场优势地位。膜的使用也使免疫诊断学向侧流照护点检验的改进成为可能,比如今天人们所熟悉的家用孕检工具形式。但是,随着分子诊断学逐渐商业化发展,一些分析家认为膜的作用必将逐渐消失。他们认为,基于抗原抗体相互作用的免疫检测将会被新兴的以核酸
。 向微型化分析的方向发展 小型化分析设备,如微矩阵和微流装置,已经得到充分的发展,同时不同的,基于传统的小规模分析的方法也得到进一步发展,如微孔板。 微矩阵 通过荧光检测的核酸微矩阵(基因芯片)是已经成熟建立的分析工具,它革命性地推进了基因分析和医学诊断。因为任何类型配体结合的相互作用(如抗原-抗体,蛋白质-蛋白质,配体-受体)都可以利用蛋白微矩阵,所以蛋白微矩阵越来越成为一种普遍的医学研究、诊断、蛋白组学和药物开发的工具。 现在已经发展了一种CL微矩阵,它是把单克隆抗体点到传统的96孔微孔
技术资料暂无技术资料 索取技术资料







