相关产品推荐更多 >
万千商家帮你免费找货
0 人在求购买到急需产品
- 详细信息
- 文献和实验
- 技术资料
- 免疫原:
melanophilin
- 亚型:
IgG
- 形态:
liquid
- 保存条件:
-20℃ 12月
- 克隆性:
polyclonal
- 标记物:
未标记
- 适应物种:
Human, Mouse, Rat
- 保质期:
-20℃ 12月
- 抗原来源:
melanophilin
- 目录编号:
FNab05120
- 级别:
科研
- 库存:
100
- 供应商:
武汉菲恩生物科技有限公司
- 宿主:
Rabbit
- 应用范围:
ELISA, WB, IHC, IF, IP
- 靶点:
MLPH
- 抗体英文名:
MLPH antibody
- 抗体名:
MLPH抗体
- 规格:
50ug/100ug
| 规格: | 50ug | 产品价格: | ¥1050.0 |
|---|---|---|---|
| 规格: | 100ug | 产品价格: | ¥1750.0 |

产品介绍
| 产品名称 | MLPH antibody |
| 中文名称 | MLPH抗体 |
| 货号 | FNab05120 |
| 规格 | 50ug/100ug |
| 宿主 | Rabbit |
| 反应种属 | Human, Mouse, Rat |
| 验证应用 | ELISA, WB, IHC, IF, IP |
| 状态 | liquid |
| 纯化方法 | Immunogen affinity purified |
| 纯度 | ≥95% as determined by SDS-PAGE |
| 克隆性 | polyclonal |
| 亚型 | IgG |
| 免疫原 | melanophilin |
| 免疫原别称 | Melanophilin|Exophilin-3|Slp homolog lacking C2 domains a (SlaC2-a)|Synaptotagmin-like protein 2a|MLPH|SLAC2A |
| Uniprot ID | Q9BV36 |
| 分子量 | 66 kDa, 80 kDa |
| 建议稀释比例 | WB: 1:500-1:2000; IP: 1:200-1:1000; IHC: 1:20-1:200; IF: 1:20-1:200 |
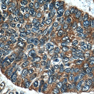
| 验证图片 |
Immunohistochemistry of paraffin-embedded human skin cancer tissue slide using FNab05120(MLPH Antibody) at dilution of 1:200 IP Result of anti-Melanophilin (IP:FNab05120, 4ug; Detection:FNab05120 1:600) with A375 cells lysate 3600ug.
A375 cells were subjected to SDS PAGE followed by western blot with FNab05120(MLPH antibody) at dilution of 1:1000 |
| 存储 | PBS with 0.02% sodium azide and 50% glycerol pH 7.3, -20℃ for 12 months(Avoid repeated freeze / thaw cycles.) |
| 注意事项 | MLPH antibody仅供科研使用 |
菲恩生物抗体产品优势
种类齐全:有10000多种经过验证的免多抗和小鼠单抗,包括流式抗体、内参抗体、标签抗体、小分子化合物抗体、对照抗体等;
多种标记/非标记二抗:针对兔、羊、小鼠、大鼠、人等多个种属。100多种标记二抗,标记物包括HRP、Biotin、FITC、Cy3、Alexa Fluor 488、Alexa Fluor 594等,通过了蛋白质印迹、免疫荧光、免疫组织化学、流式细胞术和ELISA等免疫学相关应用的充分验证,可满足各种实验需求;
验证过多种实验:ELISA、WB、IHC、IF、IP、FC等应用,并进行了广泛的物种交叉实验。
风险提示:丁香通仅作为第三方平台,为商家信息发布提供平台空间。用户咨询产品时请注意保护个人信息及财产安全,合理判断,谨慎选购商品,商家和用户对交易行为负责。对于医疗器械类产品,请先查证核实企业经营资质和医疗器械产品注册证情况。
文献和实验一、实验原理 将抗C5a单克隆抗体包被固相聚苯乙烯板,加入经聚乙二醇(PEG)处理的待测样本,然后依次加入兔抗人C5a-IgC多克隆抗体和过氧化物酶标记的猪抗兔IsC,再加入底物2,2’-连氮-双(3-乙基苯骈唑啉-6-磺酸盐)(ABTS)和H2O2显色,于酶标仪405 mn处测定每分钟光密度增加量(OD/min),以OD/min为纵坐标,C5a标准晶浓度为横坐标绘制标准曲线图,求出待测样本中C5a的含量。 二、实验试剂 1. PBSPH7.2
,发布2002/69/EC决议,禁止中国动物源性食品进口,直接造成我国水产品出口6亿多美元的经济损失。 氯霉素等半抗原(分子量一、材料与方法 1、材料 氯金酸(HauCl4·4H2O)、氯霉素标准品、牛血清白蛋白(BSA)和聚乙二醇20000购于SIGMA公司;抗氯霉素单克隆抗体(MAb),购于Biodesign公司(免疫原为KLH与氯霉素的偶联物,鼠源性);水溶性碳二亚胺(EDC)、氯霉素琥珀酸钠盐,购于Fluka公司;羊抗鼠IgG购于北京鼎国生物技术有限公司;氯霉素ELISA检测试剂盒购
【资源】个人整理 Western Blot(步骤简略,但注意事项、经验总结、基本原理很全面)
3.0 ml 4.5 ml30%丙烯酰胺溶液 2.1 ml 4.2 ml 6.4 mlpH8.8、1.5mol/LTris溶液 1.3 ml 2.6 ml 3.8 ml10%SDS 0.05ml 0.1 ml 0.15 mlTEMED 0.002ml 0.004 ml 0.006 ml10%过硫酸铵 0.05ml 0.1 ml 0.15 ml浓缩胶:5% ,pH6.8 2 ml 4 ml 6 ml超纯水 1.4 ml 2.8 ml 4.1 ml30%丙烯酰胺溶液 0.3 ml
技术资料暂无技术资料 索取技术资料








