相关产品推荐更多 >
万千商家帮你免费找货
0 人在求购买到急需产品
- 详细信息
- 询价记录
- 文献和实验
- 技术资料
- 免疫原:
mutS homolog 2, colon cancer, nonpolyposis type 1(E. coli)
- 亚型:
IgG
- 形态:
liquid
- 保存条件:
-20℃ 12月
- 克隆性:
polyclonal
- 标记物:
未标记
- 适应物种:
Human, Mouse, Rat
- 保质期:
-20℃ 12月
- 抗原来源:
mutS homolog 2, colon cancer, nonpolyposis type 1(E. coli)
- 目录编号:
FNab05371
- 级别:
科研
- 库存:
100
- 供应商:
武汉菲恩生物科技有限公司
- 宿主:
Rabbit
- 应用范围:
ELISA, WB, IHC, IF, FC, IP
- 靶点:
MSH2
- 抗体英文名:
MSH2 antibody
- 抗体名:
MSH2抗体
- 规格:
50ug/100ug
| 规格: | 50ug | 产品价格: | ¥1050.0 |
|---|---|---|---|
| 规格: | 100ug | 产品价格: | ¥1750.0 |

产品介绍
| 产品名称 | MSH2 antibody |
| 中文名称 | MSH2抗体 |
| 货号 | FNab05371 |
| 规格 | 50ug/100ug |
| 宿主 | Rabbit |
| 反应种属 | Human, Mouse, Rat |
| 验证应用 | ELISA, WB, IHC, IF, FC, IP |
| 状态 | liquid |
| 纯化方法 | Immunogen affinity purified |
| 纯度 | ≥95% as determined by SDS-PAGE |
| 克隆性 | polyclonal |
| 亚型 | IgG |
| 免疫原 | mutS homolog 2, colon cancer, nonpolyposis type 1(E. coli) |
| 免疫原别称 | DNA mismatch repair protein Msh2 (hMSH2)|MutS protein homolog 2|MSH2 |
| Uniprot ID | P43246 |
| 分子量 | 105 kDa |
| 建议稀释比例 | WB: 1:1000-1:4000; IP: 1:500-1:1000; IHC: 1:20-1:200; IF: 1:10-1:100 |
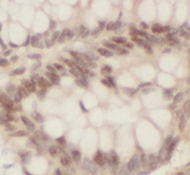
| 验证图片 |
Immunohistochemistry of paraffin-embedded human colon cancer using FNab05371(MSH2 antibody) at dilution of 1:100 IP Result of anti-MSH2 (IP: FNab05371, 4ug; Detection: FNab05371 1:500) with HeLa cells lysate 2000ug.
HeLa cells were subjected to SDS PAGE followed by western blot with FNab05371(MSH2 antibody) at dilution of 1:1000 |
| 存储 | PBS with 0.02% sodium azide and 50% glycerol pH 7.3, -20℃ for 12 months(Avoid repeated freeze / thaw cycles.) |
| 注意事项 | MSH2 antibody仅供科研使用 |
菲恩生物抗体产品优势
种类齐全:有10000多种经过验证的免多抗和小鼠单抗,包括流式抗体、内参抗体、标签抗体、小分子化合物抗体、对照抗体等;
多种标记/非标记二抗:针对兔、羊、小鼠、大鼠、人等多个种属。100多种标记二抗,标记物包括HRP、Biotin、FITC、Cy3、Alexa Fluor 488、Alexa Fluor 594等,通过了蛋白质印迹、免疫荧光、免疫组织化学、流式细胞术和ELISA等免疫学相关应用的充分验证,可满足各种实验需求;
验证过多种实验:ELISA、WB、IHC、IF、IP、FC等应用,并进行了广泛的物种交叉实验。
风险提示:丁香通仅作为第三方平台,为商家信息发布提供平台空间。用户咨询产品时请注意保护个人信息及财产安全,合理判断,谨慎选购商品,商家和用户对交易行为负责。对于医疗器械类产品,请先查证核实企业经营资质和医疗器械产品注册证情况。
- 作者
- 内容
- 询问日期
文献和实验新发现!Science 揭示靶向疗法导致癌细胞耐药性产生的根本原因!
,这一点或许与单细胞微生物类似。针对这一假设,来自意大利坎迪奥洛癌症研究所的 Alberto Bardelli 团队研究了结肠癌细胞在受到药物刺激之后的基因组稳定性变化情况,进而揭示了癌细胞的「应激演化策略」5。主要内容靶向疗法破坏大肠癌细胞 DNA 错配修复以及同源重组的能力为了验证这一假设,作者首先使用抗 EGFR(表皮生长因子受体)抗体「西妥昔单抗(CTX)」(西妥昔单抗与 panitumumab 的联合使用被批准用于治疗 RAS 和 BRAF 突变的转移性 CRC 患者),或采用西妥昔
【交流】免疫版无人应助贴自2008年12月份起改手工统计为系统自动统计,此贴关闭!
&id=12833031&sty=1&tpg=5&age=0 ]【求助】关于中和抗体(neutralizing antibody) [/url] [url=http://www.dxy.cn/bbs/post/view?bid=68&id=12831799&sty=1&tpg=5&age=0 ]【求助】如何采取标本 [/url] [url=http://www.dxy.cn/bbs/post/view?bid=68&id=12831683&sty=1&tpg=5&age=0 ] 【求助
技术资料暂无技术资料 索取技术资料









