相关产品推荐更多 >
万千商家帮你免费找货
0 人在求购买到急需产品
- 详细信息
- 文献和实验
- 技术资料
- 免疫原:
v-src sarcoma(Schmidt-Ruppin A-2) viral oncogene homolog
- 亚型:
IgG
- 形态:
liquid
- 保存条件:
-20℃ 12月
- 克隆性:
polyclonal
- 标记物:
未标记
- 适应物种:
Human, Mouse, Rat, Hamster
- 保质期:
-20℃ 12月
- 抗原来源:
v-src sarcoma(Schmidt-Ruppin A-2) viral oncogene homolog
- 目录编号:
FNab08216
- 级别:
科研
- 库存:
100
- 供应商:
武汉菲恩生物科技有限公司
- 宿主:
Rabbit
- 应用范围:
ELISA, IHC, IP, FC, IF, WB
- 靶点:
SRC
- 抗体英文名:
SRC antibody
- 抗体名:
SRC抗体
- 规格:
50ug/100ug
| 规格: | 50ug | 产品价格: | ¥1140.0 |
|---|---|---|---|
| 规格: | 100ug | 产品价格: | ¥1900.0 |

产品介绍
| 产品名称 | SRC antibody |
| 中文名称 | SRC抗体 |
| 货号 | FNab08216 |
| 规格 | 50ug/100ug |
| 宿主 | Rabbit |
| 反应种属 | Human, Mouse, Rat, Hamster |
| 验证应用 | ELISA, IHC, IP, FC, IF, WB |
| 状态 | liquid |
| 纯化方法 | Immunogen affinity purified |
| 纯度 | ≥95% as determined by SDS-PAGE |
| 克隆性 | polyclonal |
| 亚型 | IgG |
| 免疫原 | v-src sarcoma(Schmidt-Ruppin A-2) viral oncogene homolog |
| 免疫原别称 | Proto-oncogene tyrosine-protein kinase Src|Proto-oncogene c-Src|pp60c-src (p60-Src)|SRC|SRC1 |
| Uniprot ID | P12931 |
| 分子量 | 55 kDa, 60 kDa |
| 建议稀释比例 | WB: 1:500-1:2000; IP: 1:500-1:2000; IHC: 1:100-1:400; IF: 1:10-1:100 |
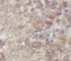
| 验证图片 |
Immunohistochemistry of paraffin-embedded human breast cancer tissue slide using FNab08216(c-SRC Antibody) at dilution of 1:200
Immunofluorescent analysis of A431 cells using FNab08216 (SRC antibody) at dilution of 1:25 and Alexa Fluor 488-conjugated Goat Anti-Rabbit IgG(H+L) IP Result of anti-SRC (IP: FNab08216, 5ug; Detection: FNab08216 1:1000) with SH-SY5Y cells lysate 2900ug.
Jurkat cells were subjected to SDS PAGE followed by western blot with FNab08216(SRC antibody) at dilution of 1:1000 |
| 存储 | PBS with 0.02% sodium azide and 50% glycerol pH 7.3, -20℃ for 12 months(Avoid repeated freeze / thaw cycles.) |
| 注意事项 | SRC antibody仅供科研使用 |
菲恩生物抗体产品优势
种类齐全:有10000多种经过验证的免多抗和小鼠单抗,包括流式抗体、内参抗体、标签抗体、小分子化合物抗体、对照抗体等;
多种标记/非标记二抗:针对兔、羊、小鼠、大鼠、人等多个种属。100多种标记二抗,标记物包括HRP、Biotin、FITC、Cy3、Alexa Fluor 488、Alexa Fluor 594等,通过了蛋白质印迹、免疫荧光、免疫组织化学、流式细胞术和ELISA等免疫学相关应用的充分验证,可满足各种实验需求;
验证过多种实验:ELISA、WB、IHC、IF、IP、FC等应用,并进行了广泛的物种交叉实验。
风险提示:丁香通仅作为第三方平台,为商家信息发布提供平台空间。用户咨询产品时请注意保护个人信息及财产安全,合理判断,谨慎选购商品,商家和用户对交易行为负责。对于医疗器械类产品,请先查证核实企业经营资质和医疗器械产品注册证情况。
文献和实验WB 是检测和定量磷酸化蛋白质的重要实验方法,然而大家一直都说磷酸化蛋白 WB 不好做!这是因为处于不同的细胞生长状况和 / 或特定的细胞周期时,磷酸化蛋白可能仅占细胞总蛋白中的一小部分,处理不得当时,还会快速的去磷酸化。磷酸化蛋白质 WB 做不好的原因有许多,比如封闭问题,抗体问题,或所需的磷酸化蛋白可能不存在于样品中或者低于 WB 检测的量。然而,有一个常被大家忽视的重要原因就是蛋白样品制备所用的方法是否适合于磷酸化蛋白的提取?其实蛋白质提取的方法不仅影响提取效率,还会影响蛋白的质量
Nature 子刊:林圣彩、宋尔卫等建立脂质生成与乳腺癌的直接联系
增加。实验表明,Src 能够促进 LPIN1 上的酪氨酸磷酸化,而生长因子能够显著促进该过程。磷酸化的 LPIN1 促进甘油脂的合成研究人员对 Src 磷酸化的 LPIN1 进行质谱分析,以鉴定磷酸化的酪氨酸残基,随后他们通过构建突变体进行验证,结果发现 Tyr398、Tyr413 和 Tyr795 (3YF) 联合突变能够消除 Src 催化的 LPIN1 磷酸化的效应。他们通过使用特异识别在三个不同的酪氨酸残基上 LPIN1 磷酸化的抗体,再次证实 LPIN1 的三个酪氨酸残基确实以 Src
受体(CD2l、CDl9、CD81)以及CD45分子。这一点,和T细胞识别抗原时发生TCR-CD3、辅助受体(CD4/CD8)和CD45的多聚作用十分相似。多聚化产生两个结果:一是CD45分子胞内段的PTP解除PTKSrc分子C端对PTK分子活性中心的抑制;第二个结果是,受体相关性蛋白酪氨酸激酶即Src家族的成员彼此成簇而发生相互磷酸化,SrcPTK因而激活。表10-1表明,B细胞中参与这一重要步骤的Src家族成员有Lyn、Fyn、Blk和Lck,比参与丁细胞激活的Src家族多了两个成员。
技术资料暂无技术资料 索取技术资料








