相关产品推荐更多 >
万千商家帮你免费找货
0 人在求购买到急需产品
- 详细信息
- 询价记录
- 文献和实验
- 技术资料
- 免疫原:
Sp1 transcription factor
- 亚型:
IgG
- 形态:
liquid
- 保存条件:
-20℃ 12月
- 克隆性:
polyclonal
- 标记物:
未标记
- 适应物种:
Human, Mouse, Rat
- 保质期:
-20℃ 12月
- 抗原来源:
Sp1 transcription factor
- 目录编号:
FNab08131
- 级别:
科研
- 库存:
100
- 供应商:
武汉菲恩生物科技有限公司
- 宿主:
Rabbit
- 应用范围:
ELISA, WB, IP, IHC
- 靶点:
SP1
- 抗体英文名:
SP1 antibody
- 抗体名:
SP1抗体
- 规格:
50ug/100ug
| 规格: | 50ug | 产品价格: | ¥1140.0 |
|---|---|---|---|
| 规格: | 100ug | 产品价格: | ¥1900.0 |

产品介绍
| 产品名称 | SP1 antibody |
| 中文名称 | SP1抗体 |
| 货号 | FNab08131 |
| 规格 | 50ug/100ug |
| 宿主 | Rabbit |
| 反应种属 | Human, Mouse, Rat |
| 验证应用 | ELISA, WB, IP, IHC |
| 状态 | liquid |
| 纯化方法 | Immunogen affinity purified |
| 纯度 | ≥95% as determined by SDS-PAGE |
| 克隆性 | polyclonal |
| 亚型 | IgG |
| 免疫原 | Sp1 transcription factor |
| 免疫原别称 | Transcription factor Sp1|SP1|TSFP1 |
| Uniprot ID | P08047 |
| 分子量 | 90 kDa |
| 建议稀释比例 | WB: 1:500-1:2000; IP: 1:500-1:1000; IHC: 1:50-1:500; IF: 1:20-1:200 |
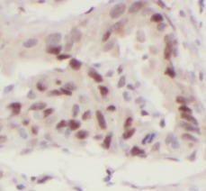
| 验证图片 | Immunohistochemistry of paraffin-embedded human lung cancer tissue using FNab08131(SP1 antibody) at dilution of 1:50 IP Result of anti-SP1 (IP: FNab08131, 4ug; Detection: FNab08131 1:500) with A431 cells lysate 2500ug. Jurkat cells were subjected to SDS PAGE followed by western blot with FNab08131(SP1 antibody) at dilution of 1:500 |
| 存储 | PBS with 0.02% sodium azide and 50% glycerol pH 7.3, -20℃ for 12 months(Avoid repeated freeze / thaw cycles.) |
| 注意事项 | SP1 antibody仅供科研使用 |
菲恩生物抗体产品优势
种类齐全:有10000多种经过验证的免多抗和小鼠单抗,包括流式抗体、内参抗体、标签抗体、小分子化合物抗体、对照抗体等;
多种标记/非标记二抗:针对兔、羊、小鼠、大鼠、人等多个种属。100多种标记二抗,标记物包括HRP、Biotin、FITC、Cy3、Alexa Fluor 488、Alexa Fluor 594等,通过了蛋白质印迹、免疫荧光、免疫组织化学、流式细胞术和ELISA等免疫学相关应用的充分验证,可满足各种实验需求;
验证过多种实验:ELISA、WB、IHC、IF、IP、FC等应用,并进行了广泛的物种交叉实验。
风险提示:丁香通仅作为第三方平台,为商家信息发布提供平台空间。用户咨询产品时请注意保护个人信息及财产安全,合理判断,谨慎选购商品,商家和用户对交易行为负责。对于医疗器械类产品,请先查证核实企业经营资质和医疗器械产品注册证情况。
- 作者
- 内容
- 询问日期
文献和实验实验的 一种正对照。系统包括目的寡核苷酸,对照DNA结合蛋白,结合缓冲液,用于寡核苷酸探针末端标记所需的试剂。Core 系统(目录号E3050)包括含重组AP2蛋白(AP2抽提液)的大肠杆菌抽提液和AP2的同源寡核苷酸。AP2抽提液是从表达AP2蛋白的大肠杆菌中提取的。另外,Core系统还含SP1同源寡核苷酸,凝胶迁移结合缓冲液(5′),和能作20次对照实验的HeLa核抽提液。Complete系统(目录号E3300)含另外5个双链寡核苷酸,分别是AP1、OCT1、CREB,、NF-k B、 TFIID结合
。系统包括目的寡核苷酸,对照DNA结合蛋白,结合缓冲液,用于寡核苷酸探针末端标记所需的试剂。Core 系统(目录号E3050)包括含重组AP2蛋白(AP2抽提液)的大肠杆菌抽提液和AP2的同源寡核苷酸。AP2抽提液是从表达AP2蛋白的大肠杆菌中提取的。另外,Core系统还含SP1同源寡核苷酸,凝胶迁移结合缓冲液(5′),和能作20次对照实验的HeLa核抽提液。Complete系统(目录号E3300)含另外5个双链寡核苷酸,分别是AP1、OCT1、CREB,、NF-kB、 TFIID结合位点的同源
液是从表达AP2蛋白的大肠杆菌中提取的。另外,Core系统还含SP1同源寡核苷酸,凝胶迁移结合缓冲液,和能作20次对照实验的HeLa核抽提液。Complete系统含另外5个双链寡核苷酸,分别是AP1、OCT1、CREB、NF-kB、 TFIID结合位点的同源序列。这些寡核苷酸可以在末端标记后用作特异性探针,或在竞争实验中用作非特异性探针。(4)成功进行凝胶迁移实验,需要优化哪些因素?凝胶迁移实验在理论上很简单也很快速,但要成功地进行凝胶迁移实验,需要优化一些参数,这主要受结合蛋白的来源和探针结合
技术资料暂无技术资料 索取技术资料









