相关产品推荐更多 >
万千商家帮你免费找货
0 人在求购买到急需产品
- 详细信息
- 文献和实验
- 技术资料
- 免疫原:
interleukin 28A(interferon, lambda 2)
- 亚型:
IgG1
- 形态:
liquid
- 保存条件:
-20℃ 12月
- 克隆性:
monoclonal
- 标记物:
未标记
- 适应物种:
Human
- 保质期:
-20℃ 12月
- 抗原来源:
interleukin 28A(interferon, lambda 2)
- 目录编号:
FNab04262
- 级别:
科研
- 库存:
100
- 供应商:
武汉菲恩生物科技有限公司
- 宿主:
Mouse
- 应用范围:
ELISA, WB, IHC
- 靶点:
IL-28A
- 抗体英文名:
IL-28A antibody
- 抗体名:
IL-28A抗体
- 规格:
50ug/100ug
| 规格: | 50ug | 产品价格: | ¥1260.0 |
|---|---|---|---|
| 规格: | 100ug | 产品价格: | ¥2100.0 |

产品介绍
| 产品名称 | IL-28A antibody |
| 中文名称 | IL-28A抗体 |
| 货号 | FNab04262 |
| 规格 | 50ug/100ug |
| 宿主 | Mouse |
| 反应种属 | Human |
| 验证应用 | ELISA, WB, IHC |
| 状态 | liquid |
| 纯化方法 | Protein A+G purification |
| 纯度 | ≥95% as determined by SDS-PAGE |
| 克隆性 | monoclonal |
| 亚型 | IgG1 |
| 免疫原 | interleukin 28A(interferon, lambda 2) |
| 免疫原别称 | Interferon lambda-2 (IFN-lambda-2)|Cytokine Zcyto20|Interleukin-28A (IL-28A)|IFNL2|IL28A|ZCYTO20 |
| Uniprot ID | Q8IZJ0 |
| 分子量 | 34 kDa |
| 建议稀释比例 | WB: 1:5000-1:50000; IHC: 1:20-1:200 |
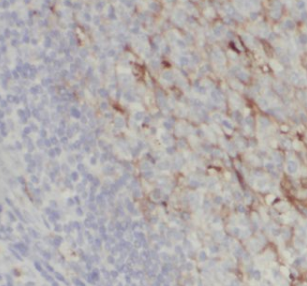
| 验证图片 | Immunohistochemistry of paraffin-embedded human tonsillitis tissue slide using FNab04262(IL28A Antibody) at dilution of 1:50 Recombinant protein were subjected to SDS PAGE followed by western blot with FNab04262(IL28A Antibody) at dilution of 1:5000 |
| 存储 | PBS with 0.02% sodium azide and 50% glycerol pH 7.3, -20℃ for 12 months(Avoid repeated freeze / thaw cycles.) |
| 注意事项 | IL-28A antibody仅供科研使用 |
菲恩生物抗体产品优势
种类齐全:有10000多种经过验证的免多抗和小鼠单抗,包括流式抗体、内参抗体、标签抗体、小分子化合物抗体、对照抗体等;
多种标记/非标记二抗:针对兔、羊、小鼠、大鼠、人等多个种属。100多种标记二抗,标记物包括HRP、Biotin、FITC、Cy3、Alexa Fluor 488、Alexa Fluor 594等,通过了蛋白质印迹、免疫荧光、免疫组织化学、流式细胞术和ELISA等免疫学相关应用的充分验证,可满足各种实验需求;
验证过多种实验:ELISA、WB、IHC、IF、IP、FC等应用,并进行了广泛的物种交叉实验。
风险提示:丁香通仅作为第三方平台,为商家信息发布提供平台空间。用户咨询产品时请注意保护个人信息及财产安全,合理判断,谨慎选购商品,商家和用户对交易行为负责。对于医疗器械类产品,请先查证核实企业经营资质和医疗器械产品注册证情况。
文献和实验白细胞介素 IL-28 IL-28主要产生细胞:表达于病毒感染的单个核细胞等 IL-28氨基酸数目:200(1L-28A);198(1L-28B) IL-28受体:IL-28Rα;IL-10Rβ IL-28主要生物学活性:1L-28A和IL-28B均属I型干扰素家族成员,又分别称为IFNb2和IFNi-3。IL-28A与IL-29有81%同源性,其作用为保护细胞抵抗病毒感染,但无抗病毒增殖活性
8.28 中科大 PNAS 揭示 IL-17 调控 NK 细胞成熟新机制
① 中国科大 PNAS 揭示 NK 细胞终未成熟调控新机制天然杀伤细胞(Natural killer cells, NK cells)是免疫系统的重要组成部分,在机体抗病毒和抗肿瘤中发挥重要作用。IL- 15 是调控 NK 细胞发育成熟、存活增殖及效应功能的关键分子,目前对 IL- 15 信号通路的负相调控及其对 NK 细胞成熟与功能的影响研究尚少。中国科学技术大学生命科学与医学部等处的研究人员发现 IL- 17A 通过上调 SOCS3 抑制 IL- 15 信号以阻碍 NK 细胞发育成熟,一方
协同刺激信号促进IL-2基因转录的机制 经由钙调磷酸酶激活的转录因子NF-AT虽可进人细胞核,但是在组成性表达的一种称为糖原合成酶激酶(GSK3)的作用下,重新从胞核逸出,致使核内无足够浓度的NF-AT可以和启动子区相应的顺式作用元件结合,IL-2基因转录受阻。此时,CD28启动的信号途径中激活的P1 3K,可以作用于GSK3,使其丧失介导NF-AT的胞核外流作用,NF-AT浓度遂迅速升高,使IL-2基因的转录以致整个T细胞的激活成为可能。
技术资料暂无技术资料 索取技术资料








