相关产品推荐更多 >
万千商家帮你免费找货
0 人在求购买到急需产品
- 详细信息
- 文献和实验
- 技术资料
- 保存条件:
For short-term storage (1-2 weeks), store at 4ºC. For long-term storage, store at -20ºC or below. After reconstitution, keep as concentrated solution. Avoid freeze-thaw cycles.
- 保质期:
12 months from the shipping date of the product.
- 英文名:
Human Factor B (Ba fragment) protein, His and GST tag (active)
- 库存:
Available
- 供应商:
GeneTex
- 规格:
10 μg
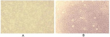
The hemagglutination effect of GTX00269-pro Human Factor B protein (active).
(A) 1% rabbit erythrocyte treated with 0.3125 μg/ml CFB, 8 mmol/l EDTA without MgCl₂.
(B) 1% rabbit erythrocyte treated with 0.3125 μg/ml CFB , 8 mmol/l EDTA with 0.5 mmol/l MgCl₂ for 1hr.
Hemolysis activity by various concentrations of GTX00269-pro Human Factor B protein (active).
WB analysis of GTX00269-pro Human Factor B protein (active).
SDS-PAGE analysis of GTX00269-pro Human Factor B protein (active).
风险提示:丁香通仅作为第三方平台,为商家信息发布提供平台空间。用户咨询产品时请注意保护个人信息及财产安全,合理判断,谨慎选购商品,商家和用户对交易行为负责。对于医疗器械类产品,请先查证核实企业经营资质和医疗器械产品注册证情况。
文献和实验) to the mLhcgr promoter and 3′ regions; (b) HAs (~55 nt) to subclone the human Lhcgr (hLhcgr ); (c) the 18 nt recognition site of the homing endonuclease I-SceI (TAGGGATAACAGGGTAAT); and (d) the primer sites (24 nt) for the RpsL -neo (Figure 2 and Supplementary
Chromatin Interaction Analysis Using Paired‐End Tag Sequencing
Analysis using Paired?End Tag sequencing (ChIA?PET) is a technique developed for large?scale, de novo analysis of higher?order chromatin structures. Cells are treated with formaldehyde to cross?link chromatin interactions, DNA segments bound by protein
GST融合蛋白的准备 Preparation of Glutathione-S-Transferase (GST) Fusion Proteins
Preparation of Glutathione-S-Transferase (GST) Fusion Proteins Margret B. Einarson and Elena N. Pugacheva Foxx Chase Cancer Center, Philadelphia, PA 19111 Jason R. Orlinck
技术资料暂无技术资料 索取技术资料










