相关产品推荐更多 >
万千商家帮你免费找货
0 人在求购买到急需产品
- 详细信息
- 文献和实验
- 技术资料
- 保质期:
1年
- 供应商:
亚光多肽
- 英文名:
无
- 保存条件:
-20℃
- 库存:
大量
- 规格:
mg-g询价
产品信息:
序列信息:RAHYNIVTF
CAS No. : 151812-18-9
分子式:C52H77N15O13
分子量:1120.28 g/mol
等电点:9.9
别名:(HPV) E749-57
性状:冻干粉
介绍:RAHYNIVTF是一种HPV16型E7抗原的CTL表位肽,也被称为人类乳头瘤病毒E7蛋白的49-57位氨基酸序列。该肽段在免疫学研究中具有重要作用,特别是在HPV相关癌症的治疗中。
发货:冻干粉、CoA报告(附HPLC及MS图谱),顺丰包邮
风险提示:丁香通仅作为第三方平台,为商家信息发布提供平台空间。用户咨询产品时请注意保护个人信息及财产安全,合理判断,谨慎选购商品,商家和用户对交易行为负责。对于医疗器械类产品,请先查证核实企业经营资质和医疗器械产品注册证情况。
文献和实验
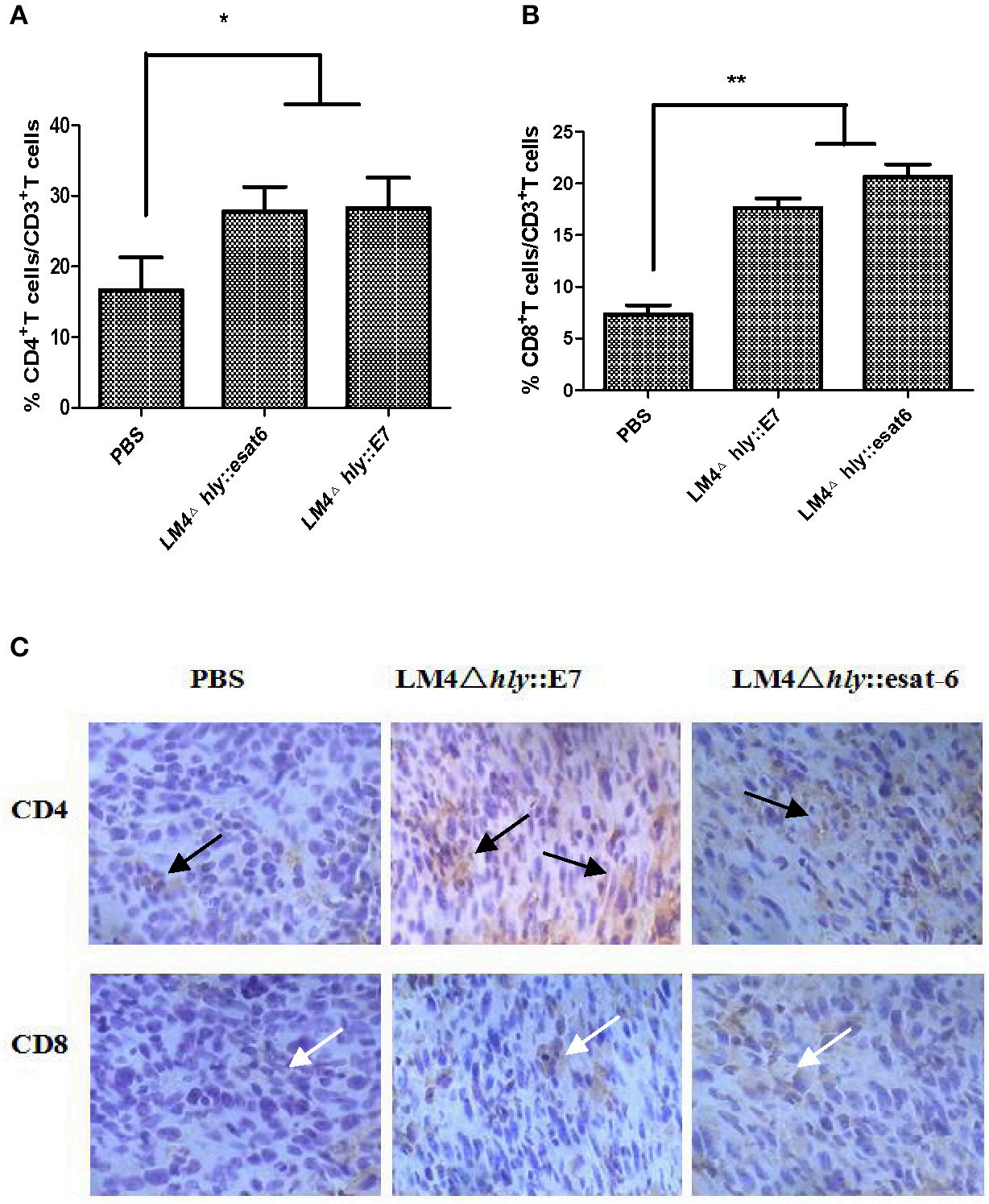
【1】YY Jia, WJ Tan, FF Duan, ZM Pan, X Chen… A Genetically Modified attenuated Listeria Vaccine Expressing HPV16 E7 Kill Tumor Cells in Direct and Antigen-Specific Manner, Front. Cell. Infect. Microbiol., 29 June 2017.

【2】L Zhao, B Liu, J Ren, J Feng, Z Pang, J Gao, H Zhang… Immunogenicity in mice and rhesus monkeys vaccinated with recombinant vaccinia virus expressing bivalent E7E6 fusion proteins from human papillomavirus types 16 and 18, Virology Journal 2011, 8:302
Human Papillomavirus Detection by PCR and Typing by Dot-Blot
and may involve a stimulation of cell proliferation in HPV-infected cells. E5 has also shown a weak transforming activity. The E6 and E7 are coding for two oncoproteins with a high transforming activity. Upon integration into the human genome, E2 and parts
cancer cells as a model, we demonstrate RNAi for viral oncogenes Cervical cancer is the second most common cancer in women worldwide and is caused by human papillomavirus (HPV). Silencing of HPV E6 and E7 gene expression was achieved using siRNAs
人乳头瘤病毒 (human papillomavirus, HPV)
乳头瘤病毒属于乳多空病毒科 (papovaviridae) 的乳头瘤病毒属,它包括多种动物的乳头瘤病毒和人乳头瘤病毒 (human papillomavirus, HPV) 。 HPV 能引起人类皮肤和粘膜的多种良性乳头状瘤或疣,某些型别感染还具潜在的致癌性。 HPV 是一种小的 DNA 病毒,直径 45 ~ 55nm ,衣壳呈二十面体立体对称,含 72 个壳微粒,没有囊膜,完整的病毒颗粒在氯化铯中浮密度为 1.34g/ml ,在密度梯度离心时易与无 dna
技术资料









