相关产品推荐更多 >
万千商家帮你免费找货
0 人在求购买到急需产品
- 详细信息
- 文献和实验
- 技术资料
- 免疫原:
A synthetic peptide of human Hsc70
- 亚型:
IgG
- 形态:
液体
- 保存条件:
Store at -20°C. Avoid freeze / thaw cycles.
- 克隆性:
单克隆
- 标记物:
Biotin,Cy3,Cy3.5,Cy5,Cy5.5,Cy7,FITC,HRP,RBITC,SAlexa Fluor 350,SAlexa Fluor 405,SAlexa Fluor 488,SAlexa Fluor 532,SAlexa Fluor 555,SAlexa Fluor 568,SAlexa Fluor 594,SAlexa Fluor 633,SAlexa Fluor 640,SAlexa Fluor 647,SAlexa Fluor 660,SAlexa Fluor 680,SAlexa Fluor 750
- 适应物种:
Human Mouse Rat
- 保质期:
3年;详询
- 目录编号:
K107017P
- 级别:
科研级别
- 库存:
99
- 供应商:
北京索莱宝科技有限公司
- 宿主:
Rabbit
- 应用范围:
WB IHC
- 浓度:
WB 1:8000-12000. IHC 1:100-300.
- 靶点:
Hsc70
- 抗体英文名:
Anti-HSPA8 Polyclonal Antibody
- 抗体名:
HSPA8,HEL-33,HEL-S-72p,HSC54,HSC71,HSP71,HSP73,HSPA10,LAP-1,LAP1;NIP71,heat shock cognate 71 kDa protein
- 规格:
50ul/100ul
| 规格: | 50ul | 产品价格: | ¥960.0 |
|---|---|---|---|
| 规格: | 100ul | 产品价格: | ¥1600.0 |
This gene encodes a member of the heat shock protein 70 family, which contains both heat-inducible and constitutively expressed members. This protein belongs to the latter group, which are also referred to as heat-shock cognate proteins. It functions as a chaperone, and binds to nascent polypeptides to facilitate correct folding. It also functions as an ATPase in the disassembly of clathrin-coated vesicles during transport of membrane components through the cell. Alternatively spliced transcript variants encoding different isoforms have been found for this gene.
实验图
Western blot analysis with HSPA8 antibody diluted at 1:10000;Lane: A431,HeLa,Raw264.7,293T,Mouse brain.
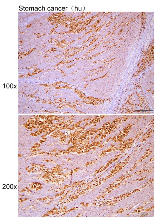
Immunohistochemistry of paraffin-embedded Human stomach cancer with HSPA8 antibody diluted at 1:100.
风险提示:丁香通仅作为第三方平台,为商家信息发布提供平台空间。用户咨询产品时请注意保护个人信息及财产安全,合理判断,谨慎选购商品,商家和用户对交易行为负责。对于医疗器械类产品,请先查证核实企业经营资质和医疗器械产品注册证情况。
文献和实验Polyclonal Antibody Production
, if desired this is best accomplished by Protein A Affinity Chromatography. 上一篇:make an Antibody against a Peptides 下一篇:Immunization Protocol for Monoclonal Antibody Production
Polyclonal Antibody Production
Polyclonal Antibody Production Very useful for rapid and simple generation of antibodies for western blots, ELISA assays, and immunoprecipitation. Rabbit Immunization Initial Preparation Your antigen
a simple ELISA method to detect human anti-antibody response.











