相关产品推荐更多 >
万千商家帮你免费找货
0 人在求购买到急需产品
- 详细信息
- 文献和实验
- 技术资料
- 免疫原:
A synthetic peptide of human Ku-70
- 亚型:
IgG
- 形态:
液体
- 保存条件:
Store at -20°C. Avoid freeze / thaw cycles.
- 克隆性:
单克隆
- 标记物:
现询
- 适应物种:
Human
- 保质期:
详询
- 抗原来源:
详询
- 目录编号:
K106656P
- 级别:
现询
- 库存:
99
- 供应商:
北京索莱宝科技有限公司
- 宿主:
Rabbit
- 应用范围:
WB IHC
- 浓度:
详询
- 靶点:
Ku-70
- 抗体英文名:
Anti-XRCC6 Polyclonal Antibody
- 抗体名:
CTC75;CTCBF;G22P1;XRCC6;ML8;TLAA
- 规格:
50ul/100ul
| 规格: | 50ul | 产品价格: | ¥960.0 |
|---|---|---|---|
| 规格: | 100ul | 产品价格: | ¥1600.0 |
产品简介
|
英文名称
|
Anti-XRCC6 Polyclonal Antibody
|
|
中文名称
|
DNA修复酶Ku70抗体
|
|
靶标
|
XRCC6
|
|
别名
|
CTC75;CTCBF;G22P1;KU70;ML8;TLAA
|
|
背景资料
|
Single-stranded DNA-dependent ATP-dependent helicase. Has a role in chromosome translocation. The DNA helicase II complex binds preferentially to fork-like ends of double-stranded DNA in a cell cycle-dependent manner. It works in the 3'-5' direction. Binding to DNA may be mediated by XRCC6. Involved in DNA non-homologous end joining (NHEJ) required for double-strand break repair and V(D)J recombination.
|
|
Swiss Prot
|
P12956
|
|
Gene ID
|
2547
|
|
亚细胞定位
|
Chromosome Nucleus
|
|
宿主
|
Rabbit
|
|
克隆类型
|
Polyclonal Antibody
|
|
亚型
|
IgG
|
|
交叉反应
|
Human
|
|
蛋白分子量
|
70kDa
|
|
应用
|
WB ; IHC
|
|
稀释比例
|
WB 1:500-2000. IHC 1:20-50.
|
|
免疫原
|
A synthetic peptide of human XRCC6
|
|
Public Immunogen Range
|
495-545/609aa
|
|
纯化方法
|
Affinity purification
|
|
储存液
|
Buffer: PBS with 50% Glycerol, 0.03% Proclin300, 0.5% BSA, pH 7.3.
|
|
保存
|
Store at -20°C. Avoid freeze / thaw cycles.
|
|
规格
|
100ul ; 50ul
|
|
单位
|
支
|
These protocols are for reference only. Solarbio does not independently validate these methods.
Quick spin before use. If you have any questions, please contact us.
实验图
Western blot analysis with Ku-70 antibody at dilution at 1:1000
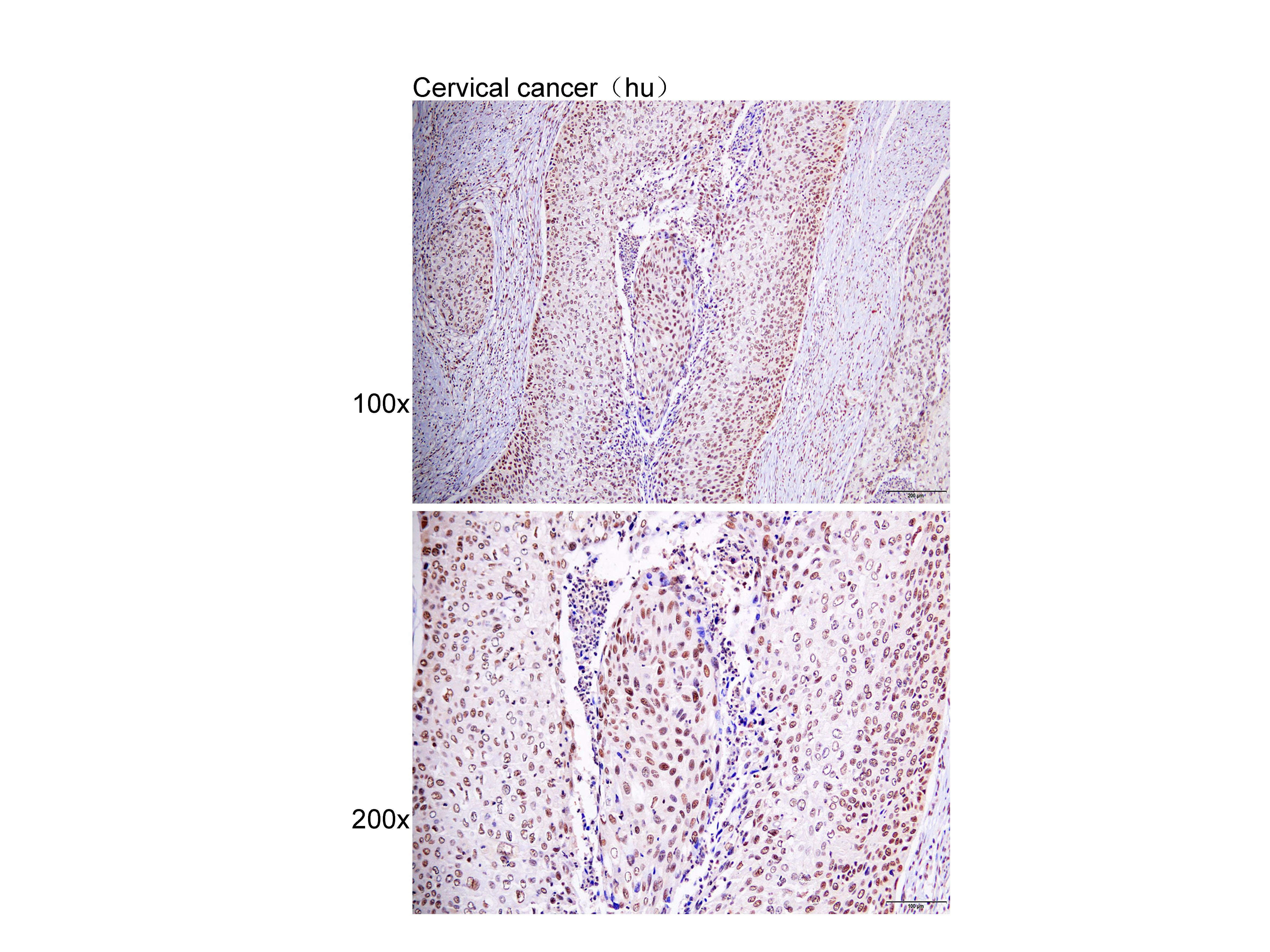
Immunohistochemistry of paraffin-embedded Cervical cancer(hu) using Ku-70 at dilution of 1:25 (x100 lens,x200 lens).
风险提示:丁香通仅作为第三方平台,为商家信息发布提供平台空间。用户咨询产品时请注意保护个人信息及财产安全,合理判断,谨慎选购商品,商家和用户对交易行为负责。对于医疗器械类产品,请先查证核实企业经营资质和医疗器械产品注册证情况。
文献和实验Polyclonal Antibody Production
, if desired this is best accomplished by Protein A Affinity Chromatography. 上一篇:make an Antibody against a Peptides 下一篇:Immunization Protocol for Monoclonal Antibody Production
Polyclonal Antibody Production
Polyclonal Antibody Production Very useful for rapid and simple generation of antibodies for western blots, ELISA assays, and immunoprecipitation. Rabbit Immunization Initial Preparation Your antigen
Construction of Polyclonal Antibody Libraries Using Phage Display
Polyclonal antibody libraries (PCALs) are standardized mixtures of antibodies (Abs) specific for an antigen (Ag) or multi-Ag target (a poly-Ag). As the immunoglobulin (Ig) genes are cloned, the mixtures can be perpetuated, amplified











