相关产品推荐更多 >
万千商家帮你免费找货
0 人在求购买到急需产品
- 详细信息
- 文献和实验
- 技术资料
- 免疫原:
A synthetic peptide of human CK8
- 亚型:
IgG
- 形态:
液体
- 保存条件:
Store at -20°C. Avoid freeze / thaw cycles.
- 克隆性:
单克隆
- 标记物:
现询
- 适应物种:
Human Mouse Rat
- 保质期:
现询
- 抗原来源:
详询
- 目录编号:
K106500P
- 级别:
现询
- 库存:
99
- 供应商:
北京索莱宝科技有限公司
- 宿主:
Rabbit
- 应用范围:
WB IHC
- 浓度:
现询
- 靶点:
CK8
- 抗体英文名:
Anti-CK8 Polyclonal Antibody
- 抗体名:
CARD2;CK-8;CK8;CYK8;K2C8;K8;KO
- 规格:
50ul/100ul
| 规格: | 50ul | 产品价格: | ¥960.0 |
|---|---|---|---|
| 规格: | 100ul | 产品价格: | ¥1600.0 |
产品简介
| 单位 | 支 |
| 英文名称 | Anti-CK8 Polyclonal Antibody |
| 别名 | CARD2;CK-8;CK8;CYK8;K2C8;K8;KO |
| 中文名称 | 角蛋白8假基因12抗体 |
| 宿主 | Rabbit |
| 稀释比例 | WB 1:2000-5000.IHC 1:50-200. |
| Gene ID | 3856 |
| 保存 | Store at -20°C. Avoid freeze / thaw cycles. |
| Swiss Prot | P05787 |
| 储存液 | Buffer: PBS with 0.03% Proclin300, 50% glycerol, pH7.3. |
| 蛋白分子量 | 54kDa |
| 亚细胞定位 | Cytoplasm Nucleus Nucleus matrix nucleoplasm |
| 免疫原 | A synthetic peptide of human KRT8 |
| 亚型 | IgG |
| 性状 | 液体 |
| 纯化方法 | Affinity purification |
| 背景资料 | This gene is a member of the type II keratin family clustered on the long arm of chromosome 12. Type I and type II keratins heteropolymerize to form intermediate-sized filaments in the cytoplasm of epithelial cells. The product of this gene typically dimerizes with keratin 18 to form an intermediate filament in simple single-layered epithelial cells. This protein plays a role in maintaining cellular structural integrity and also functions in signal transduction and cellular differentiation. Mutations in this gene cause cryptogenic cirrhosis. Alternatively spliced transcript variants have been found for this gene. |
| Public Immunogen Range | 115-165/483aa |
| 克隆类型 | Polyclonal Antibody |
| 交叉反应 | Human Rat Mouse |
| 应用 | WB IHC |
| 规格 | 50ul 100ul |
备注:
以上数据均来自公开文献, Solarbio暂未进行独立验证, 仅供参考。
These protocols are for reference only. Solarbio does not independently validate these methods.
温馨提示:
使用前请离心。如有问题请及时联系我们。
Quick spin before use. If you have any questions, please contact us.
实验图
Western blot analysis with Cytokeratin8 antibody at dilution at 1:1000
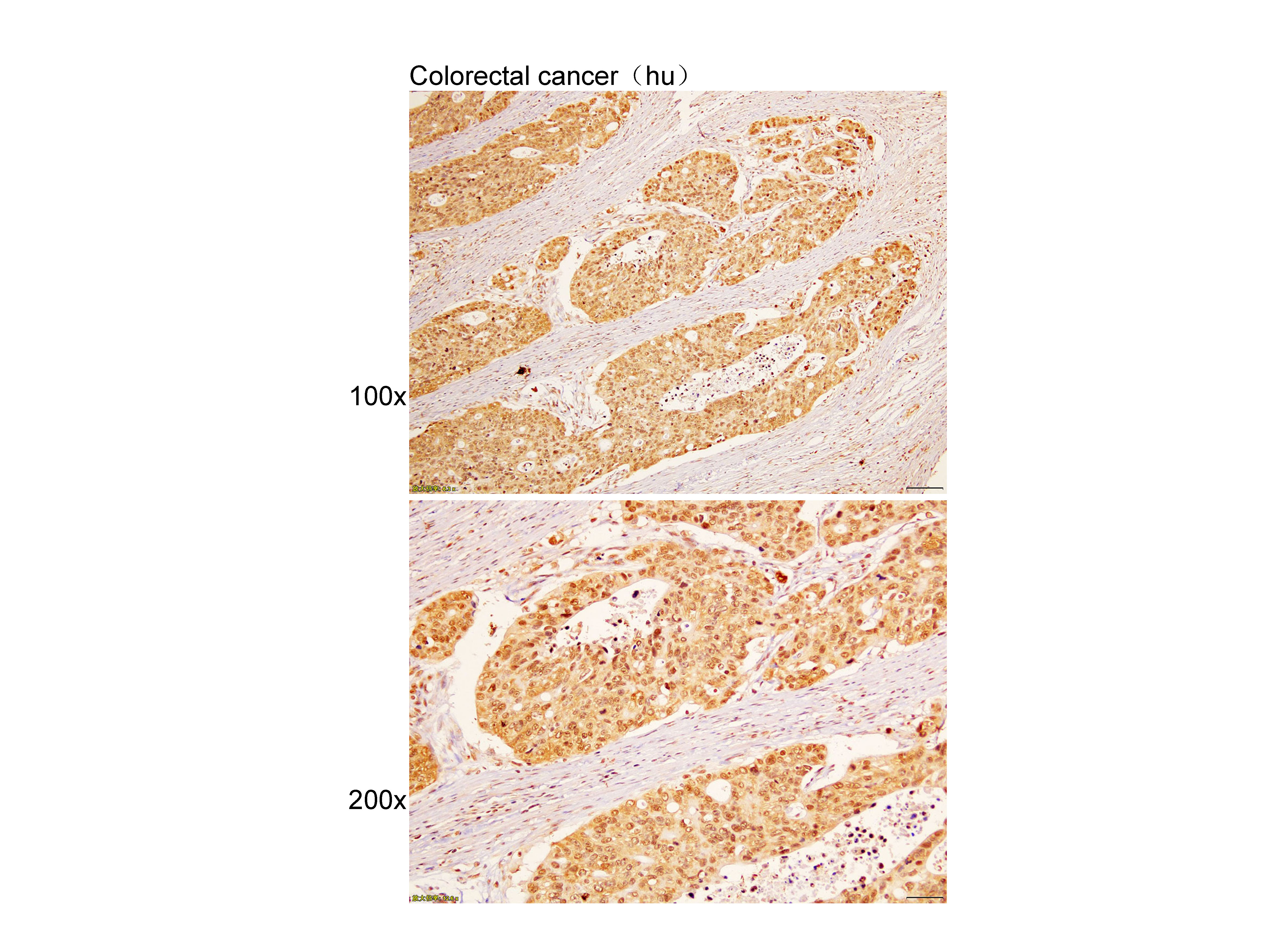
Immunohistochemistry of paraffin-embedded Colorectal cancer(hu) using Cytokeratin8 at dilution of 1:100 (x100 lens,x200 lens).
Immunohistochemistry of paraffin-embedded Cervical cancer(hu) using Cytokeratin8 at dilution of 1:100 (x100 lens,x200 lens).
Immunohistochemistry of paraffin-embedded Pancreatic cancer(hu) using Cytokeratin8 at dilution of 1:100 (x100 lens,x200 lens).
风险提示:丁香通仅作为第三方平台,为商家信息发布提供平台空间。用户咨询产品时请注意保护个人信息及财产安全,合理判断,谨慎选购商品,商家和用户对交易行为负责。对于医疗器械类产品,请先查证核实企业经营资质和医疗器械产品注册证情况。
文献和实验Polyclonal Antibody Production
, if desired this is best accomplished by Protein A Affinity Chromatography. 上一篇:make an Antibody against a Peptides 下一篇:Immunization Protocol for Monoclonal Antibody Production
Polyclonal Antibody Production
Polyclonal Antibody Production Very useful for rapid and simple generation of antibodies for western blots, ELISA assays, and immunoprecipitation. Rabbit Immunization Initial Preparation Your antigen
a simple ELISA method to detect human anti-antibody response.












