相关产品推荐更多 >
万千商家帮你免费找货
0 人在求购买到急需产品
- 详细信息
- 文献和实验
- 技术资料
- 免疫原:
Recombinant protein of human BCAM
- 亚型:
IgG
- 保存条件:
Store at -20°C. Avoid freeze / thaw cycles.
- 克隆性:
单克隆
- 适应物种:
Human Mouse
- 目录编号:
K006978P
- 库存:
999
- 供应商:
北京索莱宝科技有限公司
- 宿主:
Rabbit
- 靶点:
BCAM
- 抗体英文名:
Anti-BCAM Polyclonal Antibody
- 抗体名:
AU;LU;CD239;MSK19
- 规格:
50ul/100ul
| 规格: | 50ul | 产品价格: | ¥960.0 |
|---|---|---|---|
| 规格: | 100ul | 产品价格: | ¥1600.0 |
| 单位 | 支 |
| 英文名称 | Anti-BCAM Polyclonal Antibody |
| 别名 | AU;LU;CD239;MSK19 |
| 宿主 | Rabbit |
| 稀释比例 | WB 1:500-2000. IHC 1:10-100. |
| Gene ID | 4059 |
| 保存 | Store at -20°C. Avoid freeze / thaw cycles. |
| Swiss Prot | P50895 |
| 蛋白分子量 | 67kDa |
| 储存液 | Buffer: PBS with 0.03% Proclin300, 50% glycerol, pH7.3. |
| 亚细胞定位 | Cytoplasm |
| 免疫原 | Recombinant protein of human BCAM |
| 亚型 | IgG |
| 性状 | 液体 |
| 纯化方法 | Affinity purification |
| 背景资料 | This gene encodes Lutheran blood group glycoprotein, a member of the immunoglobulin superfamily and a receptor for the extracellular matrix protein, laminin. The protein contains five extracellular immunoglobulin domains, a single transmembrane domain, and a short C-terminal cytoplasmic tail. This protein may play a role in epithelial cell cancer and in vaso-occlusion of red blood cells in sickle cell disease. Polymorphisms in this gene define some of the antigens in the Lutheran system and also the Auberger system. Inactivating variants of this gene result in the recessive Lutheran null phenotype, Lu(a-b-), of the Lutheran blood group. Two transcript variants encoding different isoforms have been found for this gene.? |
| Public Immunogen Range | Recombinant protein of human BCAM |
| 克隆类型 | Polyclonal Antibody |
| 交叉反应 | Human Mouse |
| 应用 | WB IHC |
| 规格 | 50ul 100ul |
备注:
以上数据均来自公开文献, Solarbio暂未进行独立验证, 仅供参考。
These protocols are for reference only. Solarbio does not independently validate these methods.
温馨提示:
使用前请离心。如有问题请及时联系我们。
Quick spin before use. If you have any questions, please contact us.
实验图
Western blot analysis with BCAM antibody diluted at 1:1000; Lane: Mouse spleen,NIH3T3
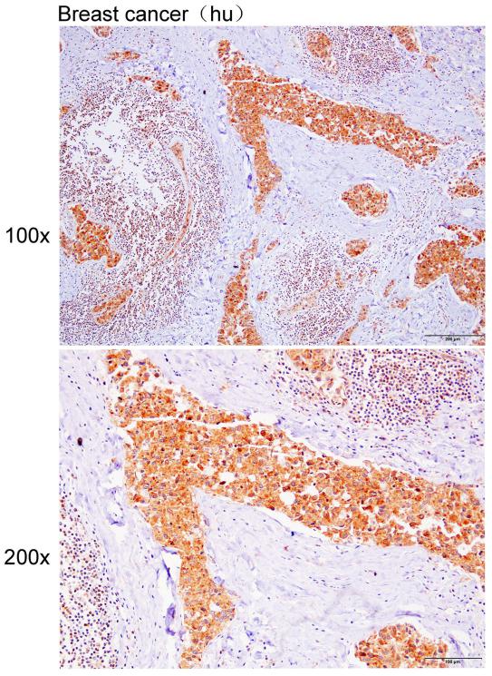
Immunohistochemistry of paraffin-embedded Human breast cancer with BCAM antibody diluted at 1:20
风险提示:丁香通仅作为第三方平台,为商家信息发布提供平台空间。用户咨询产品时请注意保护个人信息及财产安全,合理判断,谨慎选购商品,商家和用户对交易行为负责。对于医疗器械类产品,请先查证核实企业经营资质和医疗器械产品注册证情况。
文献和实验Polyclonal Antibody Production
, if desired this is best accomplished by Protein A Affinity Chromatography. 上一篇:make an Antibody against a Peptides 下一篇:Immunization Protocol for Monoclonal Antibody Production
Polyclonal Antibody Production
Polyclonal Antibody Production Very useful for rapid and simple generation of antibodies for western blots, ELISA assays, and immunoprecipitation. Rabbit Immunization Initial Preparation Your antigen
a simple ELISA method to detect human anti-antibody response.
技术资料暂无技术资料 索取技术资料










