相关产品推荐更多 >
万千商家帮你免费找货
0 人在求购买到急需产品
- 详细信息
- 技术资料
- 免疫原:
Recombinant protein of human COL6A1
- 亚型:
IgG
- 保存条件:
Store at -20°C. Avoid freeze / thaw cycles.
- 克隆性:
单克隆
- 适应物种:
Human Mouse
- 目录编号:
K006016P
- 库存:
999
- 供应商:
北京索莱宝科技有限公司
- 宿主:
Rabbit
- 靶点:
COL6A1
- 抗体英文名:
Anti-COL6A1 Polyclonal Antibody
- 抗体名:
BTHLM1;OPLL;UCHMD1
- 规格:
50ul/100ul
| 规格: | 50ul | 产品价格: | ¥960.0 |
|---|---|---|---|
| 规格: | 100ul | 产品价格: | ¥1600.0 |
产品简介
备注:
以上数据均来自公开文献, Solarbio暂未进行独立验证, 仅供参考。
These protocols are for reference only. Solarbio does not independently validate these methods.
温馨提示:
使用前请离心。如有问题请及时联系我们。
Quick spin before use. If you have any questions, please contact us.
实验图
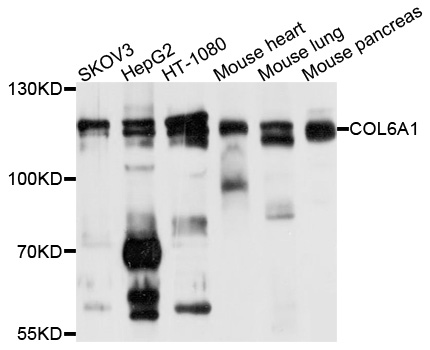
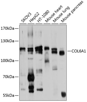
Western blot analysis with COL6A1 antibody diluted at 1:1000
Western blot analysis with COL6A1 antibody diluted at 1:1000;Lane: SKOV3,HepG2,HT-1080,Mouse heart,Mouse lung,Mouse pancreas
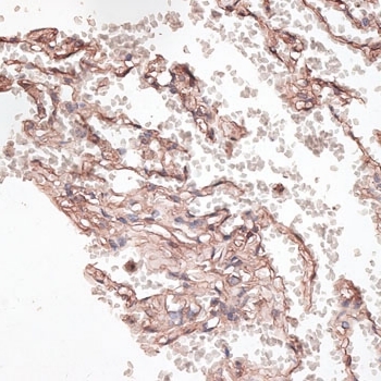
Immunohistochemistry of paraffin-embedded human lung cancer with COL6A1 antibody diluted at 1:100
| 单位 | 支 |
| 英文名称 | Anti-COL6A1 Polyclonal Antibody |
| 别名 | BTHLM1;OPLL;UCHMD1 |
| 宿主 | Rabbit |
| 稀释比例 | WB 1:500-2000 |
| Gene ID | 1291 |
| 保存 | Store at -20°C. Avoid freeze / thaw cycles. |
| Swiss Prot | P12109 |
| 蛋白分子量 | 109kDa |
| 储存液 | Buffer: PBS with 0.02% sodium azide, 50% glycerol, pH7.3. |
| 亚细胞定位 | Secreted extracellular matrix extracellular space |
| 免疫原 | Recombinant protein of human COL6A1 |
| 亚型 | IgG |
| 性状 | 液体 |
| 纯化方法 | Affinity purification |
| 背景资料 | The collagens are a superfamily of proteins that play a role in maintaining the integrity of various tissues. Collagens are extracellular matrix proteins and have a triple-helical domain as their common structural element. Collagen VI is a major structural component of microfibrils. The basic structural unit of collagen VI is a heterotrimer of the alpha1(VI), alpha2(VI), and alpha3(VI) chains. The alpha2(VI) and alpha3(VI) chains are encoded by the COL6A2 and COL6A3 genes, respectively. The protein encoded by this gene is the alpha 1 subunit of type VI collagen (alpha1(VI) chain). Mutations in the genes that code for the collagen VI subunits result in the autosomal dominant disorder, Bethlem myopathy. |
| Public Immunogen Range | Recombinant protein of human COL6A1 |
| 克隆类型 | Polyclonal Antibody |
| 交叉反应 | Human Mouse |
| 应用 | WB |
| 规格 | 50ul 100ul |
备注:
以上数据均来自公开文献, Solarbio暂未进行独立验证, 仅供参考。
These protocols are for reference only. Solarbio does not independently validate these methods.
温馨提示:
使用前请离心。如有问题请及时联系我们。
Quick spin before use. If you have any questions, please contact us.
实验图
Western blot analysis with COL6A1 antibody diluted at 1:1000
Western blot analysis with COL6A1 antibody diluted at 1:1000;Lane: SKOV3,HepG2,HT-1080,Mouse heart,Mouse lung,Mouse pancreas
Immunohistochemistry of paraffin-embedded human lung cancer with COL6A1 antibody diluted at 1:100
风险提示:丁香通仅作为第三方平台,为商家信息发布提供平台空间。用户咨询产品时请注意保护个人信息及财产安全,合理判断,谨慎选购商品,商家和用户对交易行为负责。对于医疗器械类产品,请先查证核实企业经营资质和医疗器械产品注册证情况。
技术资料暂无技术资料 索取技术资料
Anti-COL6A1 Polyclonal Antibody
¥960 - 1600










