相关产品推荐更多 >
万千商家帮你免费找货
0 人在求购买到急需产品
- 详细信息
- 技术资料
- 免疫原:
Recombinant protein of human CCT8
- 亚型:
IgG
- 形态:
液体
- 保存条件:
Store at -20°C. Avoid freeze / thaw cycles.
- 克隆性:
单克隆
- 适应物种:
Human Mouse Rat
- 目录编号:
K003804P
- 库存:
999
- 供应商:
北京索莱宝科技有限公司
- 宿主:
Rabbit
- 应用范围:
WB IHC
- 靶点:
CCT8
- 抗体英文名:
Anti-CCT8 Polyclonal Antibody
- 抗体名:
C21orf112;Cctq;D21S246;PRED71
- 规格:
50ul/100ul
| 规格: | 50ul | 产品价格: | ¥960.0 |
|---|---|---|---|
| 规格: | 100ul | 产品价格: | ¥1600.0 |
产品简介
备注:
以上数据均来自公开文献, Solarbio暂未进行独立验证, 仅供参考。
These protocols are for reference only. Solarbio does not independently validate these methods.
温馨提示:
使用前请离心。如有问题请及时联系我们。
Quick spin before use. If you have any questions, please contact us.
实验图
Western blot analysis with CCT8 antibody diluted at 1:1000
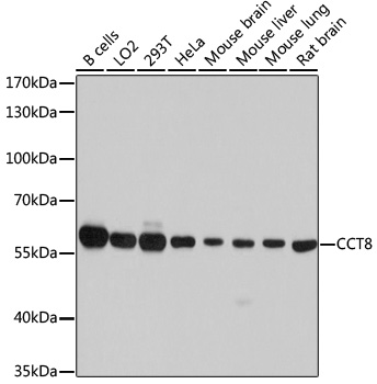
Western blot analysis with CCT8 antibody diluted at 1:7000;Lane: B cells,LO2,293T,HeLa,Mouse brain,Mouse liver,Mouse lung,Rat brain
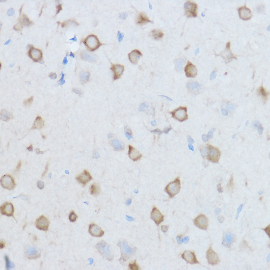
Immunohistochemistry of paraffin-embedded Mouse brain with CCT8 antibody diluted at 1:100
| 单位 | 支 |
| 英文名称 | Anti-CCT8 Polyclonal Antibody |
| 别名 | C21orf112;Cctq;D21S246;PRED71 |
| 宿主 | Rabbit |
| 稀释比例 | WB 1:1000-2000.IHC 1:50-200 |
| Gene ID | 10694 |
| 保存 | Store at -20°C. Avoid freeze / thaw cycles. |
| Swiss Prot | P50990 |
| 蛋白分子量 | 60kDa |
| 储存液 | Buffer: PBS with 0.02% sodium azide, 50% glycerol, pH7.3. |
| 亚细胞定位 | Cytoplasm centrosome cilium basal body cytoskeleton microtubule organizing center |
| 免疫原 | Recombinant protein of human CCT8 |
| 亚型 | IgG |
| 性状 | 液体 |
| 纯化方法 | Affinity purification |
| 背景资料 | This gene encodes the theta subunit of the CCT chaperonin, which is abundant in the eukaryotic cytosol and may be involved in the transport and assembly of newly synthesized proteins. Alternative splicing results in multiple transcript variants of this gene. A pseudogene related to this gene is located on chromosome 1. |
| Public Immunogen Range | Recombinant protein of human CCT8 |
| 克隆类型 | Polyclonal Antibody |
| 交叉反应 | Human Rat Mouse |
| 应用 | WB IHC |
| 规格 | 50ul 100ul |
备注:
以上数据均来自公开文献, Solarbio暂未进行独立验证, 仅供参考。
These protocols are for reference only. Solarbio does not independently validate these methods.
温馨提示:
使用前请离心。如有问题请及时联系我们。
Quick spin before use. If you have any questions, please contact us.
实验图
Western blot analysis with CCT8 antibody diluted at 1:1000
Western blot analysis with CCT8 antibody diluted at 1:7000;Lane: B cells,LO2,293T,HeLa,Mouse brain,Mouse liver,Mouse lung,Rat brain
Immunohistochemistry of paraffin-embedded Mouse brain with CCT8 antibody diluted at 1:100
风险提示:丁香通仅作为第三方平台,为商家信息发布提供平台空间。用户咨询产品时请注意保护个人信息及财产安全,合理判断,谨慎选购商品,商家和用户对交易行为负责。对于医疗器械类产品,请先查证核实企业经营资质和医疗器械产品注册证情况。
技术资料暂无技术资料 索取技术资料
Anti-CCT8 Polyclonal Antibody
¥960 - 1600









