相关产品推荐更多 >
万千商家帮你免费找货
0 人在求购买到急需产品
- 详细信息
- 文献和实验
- 技术资料
- 免疫原:
Recombinant Protein
- 亚型:
IgG
- 形态:
液体
- 保存条件:
Store at -20°C. Avoid freeze / thaw cycles.
- 克隆性:
单克隆
- 标记物:
详询
- 适应物种:
Human Mouse Rat
- 保质期:
现询
- 抗原来源:
详询
- 目录编号:
K000482P
- 级别:
现询
- 库存:
999
- 供应商:
北京索莱宝科技有限公司
- 宿主:
Rabbit
- 应用范围:
WB ; IHC
- 浓度:
现询
- 靶点:
GAP43
- 抗体英文名:
Anti-GAP43 Polyclonal Antibody
- 抗体名:
B-50;PP46
- 规格:
50ul/100ul
| 规格: | 50ul | 产品价格: | ¥960.0 |
|---|---|---|---|
| 规格: | 100ul | 产品价格: | ¥1600.0 |
产品简介
|
英文名称
|
Anti-GAP43 Polyclonal Antibody
|
|
中文名称
|
生长相关蛋白43抗体
|
|
靶标
|
GAP43
|
|
别名
|
B-50;PP46;GAP43;pp46;Growth-associated protein 43;NEUM
|
|
背景资料
|
Growth Associated Protein 43 also known as GAP43 is a protein that in humans is encoded by the GAP43 gene. GAP43, is a nervous tissue-specific cytoplasmic protein that can be attached to the membrane via a dual palmitoylation sequence on cysteines 3 and 4. This sequence targets GAP43 to lipid rafts.
|
|
Swiss Prot
|
P17677
|
|
Gene ID
|
2596
|
|
亚细胞定位
|
Cell junction Cell membrane Cell projection Cytoplasmic side Peripheral membrane protein filopodium membrane growth cone membrane synapse
|
|
宿主
|
Rabbit
|
|
克隆类型
|
Polyclonal Antibody
|
|
亚型
|
IgG
|
|
交叉反应
|
Mouse ; Rat ; Human
|
|
蛋白分子量
|
25/29kDa
|
|
应用
|
WB ; IHC
|
|
稀释比例
|
WB 1:1000-3000. IHC 1:500-1000.
|
|
免疫原
|
Recombinant Protein
|
|
纯化方法
|
Affinity purification
|
|
储存液
|
Buffer: PBS with 0.02% sodium azide, 50% glycerol, pH7.3.
|
|
保存
|
Store at -20°C. Avoid freeze / thaw cycles.
|
|
规格
|
100ul ; 50ul
|
|
单位
|
支
|
These protocols are for reference only. Solarbio does not independently validate these methods.
Quick spin before use. If you have any questions, please contact us.
实验图
Western blot analysis with GAP43 antibody diluted at 1:3000
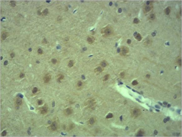
Immunohistochemistry of paraffin-embedded Mouse Brain Tissue with GAP43 antibody diluted at 1:500
风险提示:丁香通仅作为第三方平台,为商家信息发布提供平台空间。用户咨询产品时请注意保护个人信息及财产安全,合理判断,谨慎选购商品,商家和用户对交易行为负责。对于医疗器械类产品,请先查证核实企业经营资质和医疗器械产品注册证情况。
文献和实验Polyclonal Antibody Production
, if desired this is best accomplished by Protein A Affinity Chromatography. 上一篇:make an Antibody against a Peptides 下一篇:Immunization Protocol for Monoclonal Antibody Production
Polyclonal Antibody Production
Polyclonal Antibody Production Very useful for rapid and simple generation of antibodies for western blots, ELISA assays, and immunoprecipitation. Rabbit Immunization Initial Preparation Your antigen
a simple ELISA method to detect human anti-antibody response.












