相关产品推荐更多 >
万千商家帮你免费找货
0 人在求购买到急需产品
- 详细信息
- 询价记录
- 文献和实验
- 技术资料
- 供应商:
奥林巴斯(北京)销售服务有限公司
研究级全玻片扫描系统 SLIDEVIEW VS200
VS200是研究级全玻片扫描系统,把传统载玻片切片样品进行扫描、无缝拼接,生成一整张高分辨率全视野数字图像。针对扫描载玻片专门优化的光学系统,让您关于脑科学、癌症、干细胞研究以及疾病相关药物研发等工作更加得心应收,效率倍增。
-用于定量分析的出色成像质量
- VS200系统采用能够同时实现更高数值孔径、色差校正和平场性的X Line高性能物镜,最终获得具有更宽视场的更平滑图像。20X NA0.8,40X NA0.95带来图像的高清呈现
- 高亮高还原性LED光源,还原样品真实的色彩
- 配有复眼透镜的荧光照明器可让光线在整个视场均匀分布,从而获得明亮均匀的图像
实现精确色彩还原的明亮LED
专一设计的光路和全新X-line最高品质物镜
-灵活适用于诸多应用
- 明场、暗场、偏光、相衬、荧光五种观察方式可集于一身。满足多种成像需求,可观察仅在特定条件下可见的结构。


(睾丸切片,20倍物镜捕获,五种观察方式。图片数据由德国Günthersleben的Robin Wacker提供。)
- 多物镜可选,支持油镜和自动加油,电动物镜转盘,最多配置6颗物镜
- 多玻片尺寸可用,自动识别玻片类型,支持超大样品全景成像。
-更少时间更多数据
- 支持自动对焦、自动曝光时间和对焦地形图,快速探测样品区域,全方面节省操作和扫描时间
- 高精度高速电动载物台,精确扫描目标区域,15mm*15mm明场20X只需80s,荧光2min(50ms曝光)
- 高通量、多载玻片样品同时扫描,最多可装载210片载玻片,批量扫描支持热交换,持续扫描不停歇。加载器上的机械手移动的是载玻片托盘而非单个载玻片,从而确保载玻片保持安全和完整。载玻片托盘类型、载玻片数量和载玻片尺寸会被立即检测,而集成式条形码读取器会自动采集并记录载玻片信息。
-简洁强大的全自动扫描软件
- 流程式的软件操作,最快只需点击鼠标三次即可完成图像的扫描
- 自定义扫描项目,方便参数保存和调用
- 图像比例无极缩放,多图像同步浏览
- 条码扫描读取动能,方便的数据管理

- 自动计测,交互式测量等分析功能,满足科研需求
-便捷的数据管理
- Net Image Server SQL数据库
- 使用免费的虚拟载玻片查看器进行远程访问
风险提示:丁香通仅作为第三方平台,为商家信息发布提供平台空间。用户咨询产品时请注意保护个人信息及财产安全,合理判断,谨慎选购商品,商家和用户对交易行为负责。对于医疗器械类产品,请先查证核实企业经营资质和医疗器械产品注册证情况。
- 作者
- 内容
- 询问日期
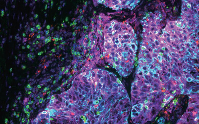
文献和实验文献速递|Science 子刊 :少突胶质前体细胞调控免疫反应及多发性硬化症早期脱髓鞘新机制
了 OPC 作为免疫反应调节细胞的全新功能,发现了 OPC 通过 Wnt 信号激活并分泌趋化因子 CCL4 的机制,揭示了 T 细胞与 cMacrophage 协同作用于早期脱髓鞘损伤的具体细胞与分子机制,为多发性硬化症的早期干预治疗提供了新的理论基础和潜在药物靶点。 神经科学研究者需要对从单个细胞到整体组织、大脑、表层和深层区域进行详细观察。本研究中组织样本显微图像使用奥伟登(Evident)的研究级全玻片扫描系统 VS200 拍摄。VS200 可以对整个样本进行高速高分辨率全景扫描,以此取代
特殊标记手段即可实现低至 110nm 的 XY 分辨率,成像速度可达 200fps,适合进行快速图像拼接及低光毒性延时成像,更有利于在较大的范围内观察标本或者对活体样品进行长时间观察。 VS200 是研究级全玻片扫描系统,把传统载玻片切片样品进行扫描、无缝拼接,生成一整张高分辨率全视野数字图像。针对扫描载玻片专门优化的光学系统。明场、暗场、相差、偏光、荧光可一键调用。 参考文献: 1. Cartee GD, Hepple RT, Bamman MM, Zierath JR
高纤维植物饮食 vs. 发酵食物饮食,哪种饮食方式更健康?Cell 最新研究告诉你答案
物群在调节肠道局部免疫状态中具有不可或缺的作用。在这项研究中,作者使用随机、前瞻性饮食干预模型来评估已知与肠道微生物相互作用的两种饮食模式,即高纤维和发酵食品,如何影响人类微生物组和免疫系统。使用针对微生物组和宿主的多组学测量手段,包括最先进的测序和免疫分析技术,我们发现高纤维和高发酵食品以不同的方式影响微生物组和人类生物学特征。其中一个明显区别是它们对肠道微生物群多样性的影响。总之,本文的发现强调了将饮食干预与深度和纵向免疫,以及微生物组分析相结合如何提供个性化和全人群的洞察力。此外,摄入发酵食品可能
技术资料暂无技术资料 索取技术资料











