万千商家帮你免费找货
0 人在求购买到急需产品
- 详细信息
- 文献和实验
- 技术资料
- 品系:
细胞系
- 细胞类型:
原代细胞
- 供应商:
上海机纯实业有限公司
- 库存:
63
- 英文名:
兔原代角膜上皮细胞
- 生长状态:
悬浮贴壁
- 年限:
长久
- 运输方式:
干冰运输
- 器官来源:
正常组织源性
- 规格:
>5×105细胞数
兔原代角膜上皮细胞
产品规格:>5×105细胞数
产品价格:49504950
包装规格:1ml冻存细胞悬液或T-25培养瓶
产品的运输和保存:
视天气状况和运输距离远近,公司与客户协商后选择下述方式中的一种进行。
1)1mL冻存细胞悬液装于1.8ml的冻存管中,置于装满干冰的泡沫保温盒中进行运输;收到细胞后请尽快解冻复苏细胞进行培养,如无法立刻进行复苏操作,冻存细胞可在-80℃的条件下保存1个月。
2)T-25培养瓶充满完全培养基后进行常温运输;收到细胞后请镜下观察细胞生长状态,如铺瓶率超过85%请立即进行传代操作,如悬浮的细胞较多,请将培养瓶至于培养箱中静置过夜以帮助未死亡的悬浮细胞能够再次贴壁。
兔原代角膜上皮细胞
推荐培养基:
我们推荐使用原代上皮细胞培养体系作为体外培养原代角膜上皮细胞的培养基。
产品使用:
1)本产品仅能用于科研
2)本产品未通过直接用于活体动物和人的审核
3)本产品未通过用于活体诊断的审核
兔原代角膜上皮细胞
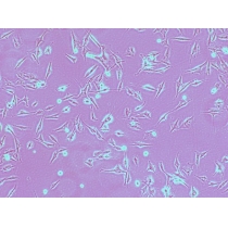
细胞特性:
1)组织来源于实验动物的正常眼组织。
2)细胞鉴定:广谱角蛋白(PCK)免疫荧光染色为阳性。
3)经鉴定细胞纯度高于90%。
4)不含有 HIV-1、 HBV、HCV、支原体、细菌、酵母和真菌。
5)细胞生长方式:上皮样,不规则细胞,贴壁培养。
兔原代角膜上皮细胞
细胞详述:
角膜位于眼球前壁的一层透明膜,约占纤维膜的前1/6,从后面看角膜呈正圆形,从前面看为横椭圆形。角膜厚度各部分不同,中央部薄。角膜分为五层,由前向后依次为:上皮细胞层、前弹力层、基质层、后弹力层、内皮细胞层。
角膜上皮细胞的体外培养对研究角膜的生理学、病理学、免疫学以及分子生物学都是极为重要的手段,常用于研究细胞代谢产物、病毒感染、各种生长因子和药物对细胞生长的影响。
产品规格:>5×105细胞数
产品价格:49504950
包装规格:1ml冻存细胞悬液或T-25培养瓶
产品的运输和保存:
视天气状况和运输距离远近,公司与客户协商后选择下述方式中的一种进行。
1)1mL冻存细胞悬液装于1.8ml的冻存管中,置于装满干冰的泡沫保温盒中进行运输;收到细胞后请尽快解冻复苏细胞进行培养,如无法立刻进行复苏操作,冻存细胞可在-80℃的条件下保存1个月。
2)T-25培养瓶充满完全培养基后进行常温运输;收到细胞后请镜下观察细胞生长状态,如铺瓶率超过85%请立即进行传代操作,如悬浮的细胞较多,请将培养瓶至于培养箱中静置过夜以帮助未死亡的悬浮细胞能够再次贴壁。
兔原代角膜上皮细胞
推荐培养基:
我们推荐使用原代上皮细胞培养体系作为体外培养原代角膜上皮细胞的培养基。
产品使用:
1)本产品仅能用于科研
2)本产品未通过直接用于活体动物和人的审核
3)本产品未通过用于活体诊断的审核
兔原代角膜上皮细胞
细胞特性:
1)组织来源于实验动物的正常眼组织。
2)细胞鉴定:广谱角蛋白(PCK)免疫荧光染色为阳性。
3)经鉴定细胞纯度高于90%。
4)不含有 HIV-1、 HBV、HCV、支原体、细菌、酵母和真菌。
5)细胞生长方式:上皮样,不规则细胞,贴壁培养。
兔原代角膜上皮细胞
细胞详述:
角膜位于眼球前壁的一层透明膜,约占纤维膜的前1/6,从后面看角膜呈正圆形,从前面看为横椭圆形。角膜厚度各部分不同,中央部薄。角膜分为五层,由前向后依次为:上皮细胞层、前弹力层、基质层、后弹力层、内皮细胞层。
角膜上皮细胞的体外培养对研究角膜的生理学、病理学、免疫学以及分子生物学都是极为重要的手段,常用于研究细胞代谢产物、病毒感染、各种生长因子和药物对细胞生长的影响。
风险提示:丁香通仅作为第三方平台,为商家信息发布提供平台空间。用户咨询产品时请注意保护个人信息及财产安全,合理判断,谨慎选购商品,商家和用户对交易行为负责。对于医疗器械类产品,请先查证核实企业经营资质和医疗器械产品注册证情况。
文献和实验相关实验
实验研究是医学发展的基础,而围绕疾病所开展的基础研究是当今生物医学研究领域中的重要内容,运用细胞的体外实验和运用动物的体内实验是科研研究的2种重要手段,对广大的生物医学研究工作者来说,细胞实验和动物模型构建成为了科研路上非常重要的部分。中洪博元实验技术系列讲座,助力您科研道路一臂之力!
原代肝细胞 肝脏,是脊椎动物体内以代谢功能为主的器官,也是人的五脏之一。肝脏能促使一些有毒物质的改进,再排泄体外,从而起到解毒作用。它是人体内的一座 “化工厂”,是新陈代谢的重要器官。但同时,肝脏也十分脆弱,过度的酒精、药物带来的毒性也会对其造成不可逆的损伤。因此无论在疾病研究、药物研发,或是环境安全等的研究中,对肝脏进行研究都至关重要。 在这些研究中使用原代肝细胞,往往是最佳的选择。因为原代细胞离体时间短,保持了其在体内的生物学特性,更接近体内环境的研究模型。同时也无须
技术资料暂无技术资料 索取技术资料
兔原代角膜上皮细胞
¥4950










