相关产品推荐更多 >
万千商家帮你免费找货
0 人在求购买到急需产品
- 详细信息
- 文献和实验
- 技术资料
- 品系:
细胞系
- 细胞类型:
原代细胞
- 供应商:
上海机纯实业有限公司
- 库存:
50
- 英文名:
兔原代舌表皮细胞
- 生长状态:
悬浮贴壁
- 年限:
长久
- 运输方式:
干冰运输
- 器官来源:
正常组织源性
- 规格:
>5×105细胞数
产品规格:>5×105细胞数
产品价格:4200
包装规格:1ml冻存细胞悬液或T-25培养瓶
产品的运输和保存:
视天气状况和运输距离远近,公司与客户协商后选择下述方式中的一种进行。
1)1mL冻存细胞悬液装于1.8ml的冻存管中,置于装满干冰的泡沫保温盒中进行运输;收到细胞后请尽快解冻复苏细胞进行培养,如无法立刻进行复苏操作,冻存细胞可在-80℃的条件下保存1个月。
2)T-25培养瓶充满完全培养基后进行常温运输;收到细胞后请镜下观察细胞生长状态,如铺瓶率超过85%请立即进行传代操作,如悬浮的细胞较多,请将培养瓶至于培养箱中静置过夜以帮助未死亡的悬浮细胞能够再次贴壁。
兔原代舌表皮细胞
推荐培养基:
我们推荐使用原代角质形成细胞培养体系作为体外培养原代舌表皮干细胞的培养基。
产品使用:
1)本产品仅能用于科研
2)本产品未通过直接用于活体动物和人的审核
3)本产品未通过用于活体诊断的审核
兔原代舌表皮细胞
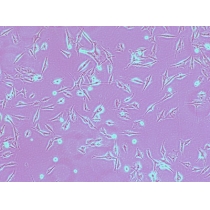
细胞特性:
1)组织来源于实验动物的正常舌组织。
2)细胞鉴定:广谱角蛋白(PCK)免疫荧光染色为阳性。
3)经鉴定细胞纯度高于90%。
4)不含有 HIV-1、 HBV、HCV、支原体、细菌、酵母和真菌。
5)细胞生长方式:铺路石状细胞,不规则细胞,贴壁培养。
兔原代舌表皮细胞
细胞详述:
舌表皮细胞经常轻度教化脱落,与唾液和食物碎屑混合而形成一层白色薄苔。表皮细胞的主要作用是保护,同时还兼有其他功能,如分泌角质层等,具有很强的角质化特征。
风险提示:丁香通仅作为第三方平台,为商家信息发布提供平台空间。用户咨询产品时请注意保护个人信息及财产安全,合理判断,谨慎选购商品,商家和用户对交易行为负责。对于医疗器械类产品,请先查证核实企业经营资质和医疗器械产品注册证情况。
文献和实验分离表皮和真皮,然后再用PBS缓冲液分别冲洗表皮和真皮2-3次,剪碎;10、表皮细胞获取:剪碎的表皮组织用0.25%的胰酶37℃消化15-20min;用移液枪吹打消化组织若干次,吸出漂浮的表皮,1000rpm离心5min;吸出上清,加入K-SFM培养基,吹打混匀,计数,调整细胞浓度后接种。11、真皮细胞获取:剪碎的真皮组织用0.2%的胶原酶37℃消化30min,;用移液枪吹打消化组织若干次,200目筛过滤除去多余组织,1000rpm离心5min收集真皮细胞,吸出上清,加入含20%新生
实验材料: 1. 正常兔晶状体组织; 2. 不含Ca 2+ 和Mg 2+ 的1×PBS,添加200000IU/L青霉素、200mg/L链霉素,pH7.2; 3. 注射器; 4. 培养器具:培养瓶或皿( 用多聚赖氨酸包被)、眼科剪、镊子等; 培养方法: 1. 空气注射处死大兔,在无菌条件下清除巩膜外肌肉及结缔组织后将眼球浸入含双抗的1×PBS(pH7. 2 )浸泡5min ,移入超净工作台内; 2. 用含双抗的1×PBS(pH7. 2 )冲洗 组织
又是代谢的锅,不治之症银屑病终于有盼头了!上交王宏林教授团队Immunity重磅报道
,对 K5. Pp6fl/fl 鼠皮损处样本进行 scRNAseq 检测,发现 IL17a 和 IL17f 主要由 γδT 细胞表达 (图 N)。图片来源:Immunity PP6 通过激活 C/EBP-β 促进银屑病角质形成细胞 arg1 转录接下来,作者研究发现 K5.Pp6fl/fl 鼠中受损皮肤中磷酸化 C/EBPβ(p-C/EBPβ,Thr-188) 增强。值得关注的是,K5.Pp6fl/fl 鼠皮损处 C/EBP-β 靶基因水平增加。同时,在 PP6 缺陷鼠的原代表皮细胞和 siRNA 敲除
技术资料暂无技术资料 索取技术资料










