万千商家帮你免费找货
0 人在求购买到急需产品
- 详细信息
- 文献和实验
- 技术资料
- 品系:
细胞系
- 细胞类型:
原代细胞
- 供应商:
上海机纯实业有限公司
- 库存:
289
- 英文名:
大鼠原代卵巢间质细胞
- 生长状态:
悬浮贴壁
- 年限:
长久
- 运输方式:
干冰运输
- 器官来源:
正常组织源性
- 规格:
>5×105细胞数
产品规格:>5×105细胞数
产品价格:4050
包装规格:1ml冻存细胞悬液或T-25培养瓶
产品的运输和保存:
视天气状况和运输距离远近,公司与客户协商后选择下述方式中的一种进行。
1)1mL冻存细胞悬液装于1.8ml的冻存管中,置于装满干冰的泡沫保温盒中进行运输;收到细胞后请尽快解冻复苏细胞进行培养,如无法立刻进行复苏操作,冻存细胞可在-80℃的条件下保存1个月。
2)T-25培养瓶充满完全培养基后进行常温运输;收到细胞后请镜下观察细胞生长状态,如铺瓶率超过85%请立即进行传代操作,如悬浮的细胞较多,请将培养瓶至于培养箱中静置过夜以帮助未死亡的悬浮细胞能够再次贴壁。
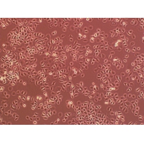
大鼠原代卵巢间质细胞
细胞特性:
1)组织来源于实验动物的正常卵巢组织。
2)细胞鉴定:胆固醇侧链裂解酶(P450SCC)免疫荧光染色为阳性。
3)经鉴定细胞纯度高于90%。
4)不含有 HIV-1、 HBV、HCV、支原体、细菌、酵母和真菌。
5)细胞生长方式:梭形细胞,不规则细胞,贴壁培养。
大鼠原代卵巢间质细胞
推荐培养基:
我们推荐使用原代成纤维细胞培养体系作为体外培养原代卵巢间质细胞的培养基。
产品使用:
1)本产品仅能用于科研
2)本产品未通过直接用于活体动物和人的审核
3)本产品未通过用于活体诊断的审核
大鼠原代卵巢间质细胞
细胞详述:
卵巢不仅是卵子产生、生长并成熟的器官,也是脑垂体前叶分泌促性腺激素的靶器官之一。其中,卵巢间质区是提供卵泡生长和发育的环境,卵巢间质主要由卵巢间质细胞构成。探明卵巢间质细胞的增值及内分泌功能,在发情周期和妊娠期发生变化的机理及调控因素,对进一步研究卵泡发育的调控、排卵、黄体形成和退化、卵巢萎缩、卵巢间质细胞瘤发病机理,以及在这些生理和病理过程中参与其中的激素及细胞因子作用机理均有重要意义。
风险提示:丁香通仅作为第三方平台,为商家信息发布提供平台空间。用户咨询产品时请注意保护个人信息及财产安全,合理判断,谨慎选购商品,商家和用户对交易行为负责。对于医疗器械类产品,请先查证核实企业经营资质和医疗器械产品注册证情况。
文献和实验实验材料: 1. 完整的人角膜; 2. GMF-Saline G; 3. 中性蛋白酶Ⅱ;PriCellls原代细胞分离试剂盒 4. L型胶原酶,1mg/ml在DMEM/F12/GASP中; 5. GMF-Saline G配制的TrypLE Express或0.25%胰蛋白酶; 6. DMEM/F12/GASP; 7. DEME/F12/2FB/GASP:DMEM/F12/GASP含2%FBS; 8. CMF/GASP; 9. 3.5cm塑料组织培养皿或6孔板; 10.
所示即为大鼠原代足细胞。按顺序:图1,2是培养7天传代前的图片,小球周围爬出很多细胞。图3,4是传代第二天细胞情况,过筛后仍有小的组织滤过。图5是传代7天足细胞完全分化图片。 由于本人实验刚有进展,好多图片制作不理想,后续的细胞免疫荧光坚持在做,失败过两次,出结果后再发,不过导师说了就是足细胞! 图1 图2 图3 图4 图5
的[5],但细胞得率均较低,而近些年来国外大多数方法采用以大脑皮质为材料、酶消化及梯度离心分离脑微血管段并进行原代培养[6~9,11,12]。由于原代培养中无法避免地混杂成纤维细胞、周细胞、平滑肌细胞、星型胶质细胞等其他细胞的生长,而且工作量大、过程繁琐且费用高[1],进行较纯的大鼠脑微血管内皮细胞原代培养一直是国内外的一个难点。 本人参照文献[6]、[7]、[8]的方法,成功地摸索出大鼠脑微血管内皮细胞分离和原代培养的方法,并获得纯度较高的脑微血管内皮细胞。 1.材料与方法 1.1 实验动物 每次
技术资料暂无技术资料 索取技术资料










