相关产品推荐更多 >
万千商家帮你免费找货
0 人在求购买到急需产品
- 详细信息
- 文献和实验
- 技术资料
- 免疫原:
Recombinant protein encompassing a sequence within the C-terminus region of human CD146. The exact sequence is proprietary.
- 亚型:
IgG
- 形态:
Liquid
- 保存条件:
Store as concentrated solution. Centrifuge briefly prior to opening vial. For short-term storage (1-2 weeks), store at 4ºC. For long-term storage, aliquot and store at -20ºC or below. Avoid multiple freeze-thaw cycles.
- 克隆性:
Polyclonal
- 标记物:
Unconjugated
- 适应物种:
Human, Mouse, Rat
- 保质期:
12 months from the shipping date of the product.
- 抗原来源:
Human
- 目录编号:
GTX108777
- 级别:
Primary Antibodies
- 库存:
Available
- 供应商:
GeneTex
- 宿主:
Rabbit
- 应用范围:
WB, ICC/IF, IHC-P
- 浓度:
0.21 mg/ml (Please refer to the vial label for the specific concentration.)
- 靶点:
CD146
- 抗体英文名:
CD146 antibody [C1C3]
- 抗体名:
CD146 抗体 [C1C3]
- 规格:
100 μl/25 μl
| 规格: | 100 μl | 产品价格: | ¥4000.0 |
|---|---|---|---|
| 规格: | 25 μl | 产品价格: | ¥1700.0 |
Wild-type (WT) and CD146 knockout (KO) HeLa cell extracts (30 μg) were separated by 5% SDS-PAGE, and the membrane was blotted with CD146 antibody [C1C3] (GTX108777) diluted at 1:1000. The HRP-conjugated anti-rabbit IgG antibody (GTX213110-01) was used to detect the primary antibody.
CD146 antibody [C1C3] detects CD146 protein at cell membrane by immunohistochemical analysis.
Sample: Paraffin-embedded mouse placenta.
Green: CD146 stained by CD146 antibody [C1C3] (GTX108777) diluted at 1:250.
Red: alpha Tubulin, a cytoskeleton marker, stained by alpha Tubulin antibody [GT114] (GTX628802) diluted at 1:1000.
Blue: Fluoroshield with DAPI (GTX30920).
Antigen Retrieval: Citrate buffer, pH 6.0, 15 min
CD146 antibody [C1C3] detects CD146 protein by Western blot analysis.
A. 30 μg HUVEC whole cell lysate/extract
7.5 % SDS-PAGE
CD146 antibody [C1C3] (GTX108777) dilution: 1:10000
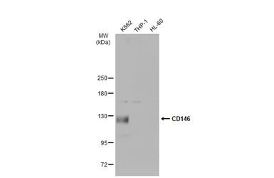
Various whole cell extracts (30 μg) were separated by 5% SDS-PAGE, and the membrane was blotted with CD146 antibody [C1C3] (GTX108777) diluted at 1:1000. The HRP-conjugated anti-rabbit IgG antibody (GTX213110-01) was used to detect the primary antibody.
CD146 antibody [C1C3] detects CD146 protein at cell membrane and cytoplasm by immunofluorescent analysis.
Sample: HUVEC cells were fixed in 4% PFA at RT for 15 min.
Green: CD146 protein stained by CD146 antibody [C1C3] (GTX108777) diluted at 1:500.
Blue: Hoechst 33342 staining.
CD146 antibody [C1C3] detects CD146 protein by western blot analysis.
A. 50 μg rat liver extract
7.5 % SDS-PAGE
CD146 antibody [C1C3] (GTX108777) dilution: 1:1000
CD146 antibody [C1C3] detects CD146 protein at membrane on mouse skin by immunohistochemical analysis.
Sample: Paraffin-embedded mouse skin.
CD146 antibody [C1C3] (GTX108777) dilution: 1:500.
Antigen Retrieval: Trilogy™ (EDTA based, pH 8.0) buffer, 15min
CD146 antibody [C1C3] detects CD146 protein at membrane on mouse colon by immunohistochemical analysis.
Sample: Paraffin-embedded mouse colon.
CD146 antibody [C1C3] (GTX108777) dilution: 1:500.
Antigen Retrieval: Trilogy™ (EDTA based, pH 8.0) buffer, 15min
Immunohistochemical analysis of paraffin-embedded J5 xenograft, using CD146(GTX108777) antibody at 1:500 dilution.
Antigen Retrieval: Trilogy™ (EDTA based, pH 8.0) buffer, 15min
风险提示:丁香通仅作为第三方平台,为商家信息发布提供平台空间。用户咨询产品时请注意保护个人信息及财产安全,合理判断,谨慎选购商品,商家和用户对交易行为负责。对于医疗器械类产品,请先查证核实企业经营资质和医疗器械产品注册证情况。
文献和实验Pearse DD et al., Neuroscience 2020 (PMID:33253822)
Chen SY et al., Stem Cells Transl Med 2020 (PMID:31943851)
Akiyama Y et al., Proc Natl Acad Sci U S A 2019 (PMID:30936320)
Suardi D et al., Med Sci Monit 2023 (PMID:37060171)
Hu Y et al., J Orthop Translat 2020 (PMID:32518750)
人可溶性CD146分子(sCD146)ELISA试剂盒 说明书
人可溶性CD146 分子 ( sCD146 )ELISA 试剂盒 ( 用于血清、血浆、细胞培养上清液和其它生物体液内 ) 原理 本实验采用双抗体夹心 ABC-ELISA 法。用抗人 sCD146 单抗包被于酶标板上,标准品和样品中的 sCD146与单抗结合,加入生物素化的抗人 sCD146 ,形成免疫复合物连接在板上,辣根过氧化物酶标记的 Streptavidin 与生物素结合,加入底物工作液显蓝色,最后
A Method to Isolate, Purify, and Characterize Human Periodontal Ligament Stem Cells
on the expression of MSC-associated surface markers STRO-1 antigen, CD146 (MUC-18), CD29 (integrin β-1), CD44, and CD106 (VCAM-1). Although no single antibody demonstrates specificity for MSCs, isolation based on the expression of individual markers results
技术资料暂无技术资料 索取技术资料





![UXS1 antibody [N3C3]](https://img1.dxycdn.com/2023/0711/255/2344116916935858761-14.jpg!wh200)
![AKT1 antibody [AKT1/3898R]](https://img1.dxycdn.com/2023/0711/451/6106825198874858761-14.jpg!wh200)
