相关产品推荐更多 >
万千商家帮你免费找货
0 人在求购买到急需产品
- 详细信息
- 文献和实验
- 技术资料
- 免疫原:
Carrier-protein conjugated synthetic peptide encompassing a sequence within the C-terminus region of human Inhibin beta A. The exact sequence is proprietary.
- 亚型:
IgG
- 形态:
Liquid
- 保存条件:
Store as concentrated solution. Centrifuge briefly prior to opening vial. For short-term storage (1-2 weeks), store at 4ºC. For long-term storage, aliquot and store at -20ºC or below. Avoid multiple freeze-thaw cycles.
- 克隆性:
Polyclonal
- 标记物:
Unconjugated
- 适应物种:
Human
- 保质期:
12 months from the shipping date of the product.
- 抗原来源:
Human
- 目录编号:
GTX108405
- 级别:
Primary Antibodies
- 库存:
Available
- 供应商:
GeneTex
- 宿主:
Rabbit
- 应用范围:
WB, ICC/IF, IHC-P
- 浓度:
0.66 mg/ml (Please refer to the vial label for the specific concentration.)
- 靶点:
Inhibin beta A
- 抗体英文名:
Inhibin beta A antibody
- 抗体名:
Inhibin beta A 抗体
- 规格:
100 μl/25 μl
| 规格: | 100 μl | 产品价格: | ¥4000.0 |
|---|---|---|---|
| 规格: | 25 μl | 产品价格: | ¥1700.0 |
Non-transfected (–) and transfected (+) PC-3 whole cell extracts (30 μg) were separated by 10% SDS-PAGE, and the membrane was blotted with Inhibin beta A antibody (GTX108405) diluted at 1:1500. The HRP-conjugated anti-rabbit IgG antibody (GTX213110-01) was used to detect the primary antibody.
Immunofluorescence analysis of PFA-fixed HeLa, using Inhibin beta-A (GTX108405) antibody at 1:200 dilution.
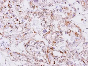
Immunohistochemical analysis of paraffin-embedded CLEAR CELL OVCA xenograft, using Inhibin beta A(GTX108405) antibody at 1:500 dilution.
Antigen Retrieval: Trilogy™ (EDTA based, pH 8.0) buffer, 15min
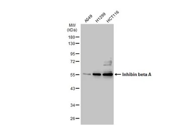
Various whole cell extracts (30 μg) were separated by 10% SDS-PAGE, and the membrane was blotted with Inhibin beta A antibody (GTX108405) diluted at 1:1000. The HRP-conjugated anti-rabbit IgG antibody (GTX213110-01) was used to detect the primary antibody.
风险提示:丁香通仅作为第三方平台,为商家信息发布提供平台空间。用户咨询产品时请注意保护个人信息及财产安全,合理判断,谨慎选购商品,商家和用户对交易行为负责。对于医疗器械类产品,请先查证核实企业经营资质和医疗器械产品注册证情况。
文献和实验Anticardiolipin Antibody and Anti-beta 2 Glycoprotein I Antibody Assays
) antibodies and anti-beta 2 glycoprotein I (β2-GPI) antibodies. Other autoantibodies, such as those directed against anionic phospholipids, can also be assayed; however they are not of clinical significance. Participation in a quality assurance
。 如果beta-catenin抗体不好使,或者EGFP太大影响定位的话,还可以构建Flag标签类载体,转染细胞,加入药物,用抗Flag抗体免疫荧光检测,荧光显微镜下观察就好了。 wangjh28 但按照事先的推测,处理了以后会下调该基因的表达 我觉得科学不能有事先的推测的结果,这样容易受思维定势的影响,而忽略了新发现 dongreyuan 我打算用SAB的β-catenin(Ab-37)Antibody,说明
in 200 mls Solution A. Repeat wash. Pellet cells as above and resuspend in 4 mls Solution A. Reserve 2 mls of the cell suspension. Spheroplast the remaining 2 ml of the cell suspension by addition of beta-mercaptoethanol to 0.1, glusulase
技术资料暂无技术资料 索取技术资料





![beta 2 Adrenergic Receptor antibody [C2C3], C-term](https://img1.dxycdn.com/2023/0711/255/2344116916935858761-14.jpg!wh200)
![l-Myc antibody [CHALU2]](https://img1.dxycdn.com/2023/0711/451/6106825198874858761-14.jpg!wh200)

![EIF2S3 antibody [N1C1]](https://img1.dxycdn.com/2023/0516/045/6925717576889828561-14.jpg!wh200)
