相关产品推荐更多 >
万千商家帮你免费找货
0 人在求购买到急需产品
- 详细信息
- 文献和实验
- 技术资料
- 免疫原:
Carrier-protein conjugated synthetic peptide encompassing a sequence within the C-terminus region of human beta 1 Adrenergic Receptor. The exact sequence is proprietary.
- 亚型:
IgG
- 形态:
Liquid
- 保存条件:
Store as concentrated solution. Centrifuge briefly prior to opening vial. For short-term storage (1-2 weeks), store at 4ºC. For long-term storage, aliquot and store at -20ºC or below. Avoid multiple freeze-thaw cycles.
- 克隆性:
Polyclonal
- 标记物:
Unconjugated
- 适应物种:
Human
- 保质期:
12 months from the shipping date of the product.
- 抗原来源:
Human
- 目录编号:
GTX108366
- 级别:
Primary Antibodies
- 库存:
Available
- 供应商:
GeneTex
- 宿主:
Rabbit
- 应用范围:
WB, ICC/IF, IHC-P
- 浓度:
1 mg/ml (Please refer to the vial label for the specific concentration.)
- 靶点:
beta 1 Adrenergic Receptor
- 抗体英文名:
beta 1 Adrenergic Receptor antibody [C3], C-term
- 抗体名:
beta 1 Adrenergic Receptor 抗体 [C3], C-term
- 规格:
100 μl/25 μl
| 规格: | 100 μl | 产品价格: | ¥4000.0 |
|---|---|---|---|
| 规格: | 25 μl | 产品价格: | ¥1700.0 |
Sample(30 μg of whole cell lysate)
A:A431(GTX27909)
B:H1299
12% SDS PAGE
GTX108366 diluted at 1:500
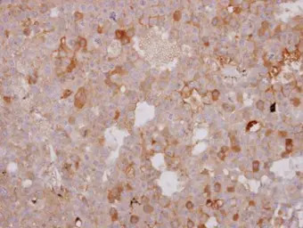
Immunohistochemical analysis of paraffin-embedded HUH-7 xenograft, using Adrenergic receptor beta 1(GTX108366) antibody at 1:100 dilution.
Antigen Retrieval: Trilogy™ (EDTA based, pH 8.0) buffer, 15min
Immunofluorescence analysis of methanol-fixed A431, using beta 1 Adrenergic Receptor(GTX108366) antibody at 1:500 dilution.
风险提示:丁香通仅作为第三方平台,为商家信息发布提供平台空间。用户咨询产品时请注意保护个人信息及财产安全,合理判断,谨慎选购商品,商家和用户对交易行为负责。对于医疗器械类产品,请先查证核实企业经营资质和医疗器械产品注册证情况。
文献和实验Flow Cytometry Assay to Measure Internalization of GPCRs
engineered onto the N-terminus of the GPCR.The following protocol is optimized for internalization of FLAG-tagged beta 2-adrenergic receptor (B2AR) stably transfected into HEK293 cells.Protocol 1) Grow up receptors in 37degC incubator until confluent
Flow Cytometry Assay to Measure Internalization of GPCR's
protocol is optimized for internalization of FLAG-tagged beta 2-adrenergic receptor (B2AR) stably transfected into HEK293 cells. Protocol 1) Grow up receptors in 37degC incubator until confluent onto 6-cm dishes. 2) Fill dishes with 2 mL growth
Flow Cytometry Assay to Measure Internalization of GPCR
2-adrenergic receptor (B2AR) stably transfected into HEK293 cells. Protocol 1) Grow up receptors in 37degC incubator until confluent onto 6-cm dishes. 2) Fill dishes with 2 mL growth media with 30 mM HEPES, pH 7.4. Set aside a dish of 293/B2AR
技术资料暂无技术资料 索取技术资料








