相关产品推荐更多 >
万千商家帮你免费找货
0 人在求购买到急需产品
- 详细信息
- 文献和实验
- 技术资料
- 免疫原:
Carrier-protein conjugated synthetic peptide encompassing a sequence within the N-terminus region of human ERR alpha. The exact sequence is proprietary.
- 亚型:
IgG
- 形态:
Liquid
- 保存条件:
Store as concentrated solution. Centrifuge briefly prior to opening vial. For short-term storage (1-2 weeks), store at 4ºC. For long-term storage, aliquot and store at -20ºC or below. Avoid multiple freeze-thaw cycles.
- 克隆性:
Polyclonal
- 标记物:
Unconjugated
- 适应物种:
Human, Mouse, Rat
- 保质期:
12 months from the shipping date of the product.
- 抗原来源:
Human
- 目录编号:
GTX108166
- 级别:
Primary Antibodies
- 库存:
Available
- 供应商:
GeneTex
- 宿主:
Rabbit
- 应用范围:
WB, ICC/IF, IHC-P, IP, ChIP assay
- 浓度:
1.32 mg/ml (Please refer to the vial label for the specific concentration.)
- 靶点:
ERR alpha
- 抗体英文名:
ERR alpha antibody [N1], N-term
- 抗体名:
ERR alpha 抗体 [N1], N-term
- 规格:
100 μl/25 μl
| 规格: | 100 μl | 产品价格: | ¥4000.0 |
|---|---|---|---|
| 规格: | 25 μl | 产品价格: | ¥1700.0 |
ERR alpha antibody immunoprecipitates ERR alpha protein in IP experiments. IP Sample: 293T whole cell lysate/extract A. 40 μg 293T whole cell lysate/extract B. Control with 2 μg of preimmune rabbit IgG C. Immunoprecipitation of ERR alpha protein by 2 μg of ERR alpha antibody (GTX108166) 7.5% SDS-PAGE The immunoprecipitated ERR alpha protein was detected by ERR alpha antibody (GTX108166) diluted at 1:1000. EasyBlot anti-rabbit IgG (GTX221666-01) was used as a secondary reagent.
ERR alpha antibody [N1], N-term detects ERR alpha protein at nucleus by immunohistochemical analysis.
Sample: Paraffin-embedded rat colon.
ERR alpha stained by ERR alpha antibody [N1], N-term (GTX108166) diluted at 1:500.
Antigen Retrieval: Citrate buffer, pH 6.0, 15 min
Whole cell extract (30 μg) was separated by 10% SDS-PAGE, and the membrane was blotted with ERR alpha antibody [N1], N-term (GTX108166) diluted at 1:500. The HRP-conjugated anti-rabbit IgG antibody (GTX213110-01) was used to detect the primary antibody, and the signal was developed with Trident ECL plus-Enhanced.
ERR alpha antibody [N1], N-term detects ERR alpha protein at nucleus by immunofluorescent analysis.
Sample: MCF-7 cells were fixed in 4% PFA at RT for 15 min.
Green: ERR alpha stained by ERR alpha antibody [N1], N-term (GTX108166) diluted at 1:500.
Red: alpha Tubulin, a cytoskeleton marker, stained by alpha Tubulin antibody [GT114] (GTX628802) diluted at 1:1000.
Sample(30 μg of whole cell lysate)
A:293T
B:A431(GTX27909)
C:H1299
12% SDS PAGE
GTX108166 diluted at 1:500
The HRP-conjugated anti-rabbit IgG antibody (GTX213110-01) was used to detect the primary antibody.
Whole cell extract (30 μg) was separated by 10% SDS-PAGE, and the membrane was blotted with ERR alpha antibody [N1], N-term (GTX108166) diluted at 1:500. The HRP-conjugated anti-rabbit IgG antibody (GTX213110-01) was used to detect the primary antibody.
Cross-linked ChIP was performed with MCF-7 chromatin extract and 5 μg of either control rabbit IgG or anti-ERR alpha antibody. The precipitated DNA was detected by PCR with primer set targeting to PS2 promoter or GAPDH promoter.
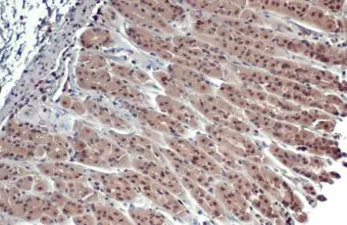
ERR alpha antibody [N1], N-term detects ERR alpha protein at cytoplasm and nucleus by immunohistochemical analysis.
Sample: Paraffin-embedded mouse intestine.
ERR alpha stained by ERR alpha antibody [N1], N-term (GTX108166) diluted at 1:500.
Antigen Retrieval: Citrate buffer, pH 6.0, 15 min
Various whole cell extracts (30 μg) were separated by 10% SDS-PAGE, and the membrane was blotted with ERR alpha antibody [N1], N-term (GTX108166) diluted at 1:1000. The HRP-conjugated anti-rabbit IgG antibody (GTX213110-01) was used to detect the primary antibody.
ERR alpha antibody [N1], N-term detects ERR alpha protein at cytoplasm and nucleus by immunohistochemical analysis.
Sample: Paraffin-embedded mouse stomach.
ERR alpha stained by ERR alpha antibody [N1], N-term (GTX108166) diluted at 1:500.
Antigen Retrieval: Citrate buffer, pH 6.0, 15 min
风险提示:丁香通仅作为第三方平台,为商家信息发布提供平台空间。用户咨询产品时请注意保护个人信息及财产安全,合理判断,谨慎选购商品,商家和用户对交易行为负责。对于医疗器械类产品,请先查证核实企业经营资质和医疗器械产品注册证情况。
文献和实验Cai Q et al., Oncogene 2013 (PMID:22665055)
Nowi?ska K et al., Int J Mol Sci 2022 (PMID:36430689)
Panpan Dong et al., Exp Ther Med 2022 (PMID:35069845)
Cerutti C et al., Sci Rep 2022 (PMID:35264626)
Tribollet V et al., PLoS One 2016 (PMID:27227989)
Tsushida K et al., Biochem Biophys Res Commun 2018 (PMID:29545177)
Carnesecchi J et al., PLoS One 2017 (PMID:29190800)
Puigserver P et al., Mol Cancer Res 2017 (PMID:28596418)
Carnesecchi J et al., Proc Natl Acad Sci U S A 2017 (PMID:28348226)
Sailland J et al., Proc Natl Acad Sci U S A 2014 (PMID:25288732)
Carnesecchi J et al., PLoS One 2015 (PMID:25781607)
Kammerer M et al., Mol Cell Endocrinol 2013 (PMID:23403054)
for Generating and Using Alpha-Synuclein Pre-Formed Fibrils to Model Parkinson's Disease in Rodents. J Parkinsons Dis. 2018;8(2):303-322. [2].Simola, N. et al. The 6-Hydroxydopamine Model of Parkinson's Disease. Neurotoxicity Research, 2007, VOL. 11(3,4). pp. 151
i 的概率,任何时刻一个变量被选取是随机的)的二项分布。这一二项分布可以很好地近似为参数泊松分布,而且计算起来也更容易。 7. 见注 2。对于这种情况,λ 可以计算如下。不同于等概率情况,λi 在这里是不同的。首先,为了计算 λ,我们需要计算所有的 n = 2110 个参数 λi,这个工作量很大,但是这里包含了很多重复,这一特征可以用来简化计算。而且,让我们确定一些由五元组(n1,n2,n3,n4,n5)确定的十肽,由密码子的数量可知,它们的概率在所描述的十肽中分别为 1/64,2/64,3/64
+Neo+Fas) tumors but not that of N1d (MH134+Neo) tumors in gld/gld lpr/lpr mice. MH134+Neo+FasL tumor cells were rejected after the induction of inflammation with infiltration of neutrophils in mice. These results suggest that electroporation and Fas
技术资料暂无技术资料 索取技术资料






![MEK2 antibody [N1C1]](https://img1.dxycdn.com/2023/0516/045/6925717576889828561-14.jpg!wh200)

![mtPAP antibody [N1C1]](https://img1.dxycdn.com/2023/0516/050/2572066211091928561-14.jpg!wh200)

