相关产品推荐更多 >
万千商家帮你免费找货
0 人在求购买到急需产品
- 详细信息
- 文献和实验
- 技术资料
- 免疫原:
Recombinant protein encompassing a sequence within the center region of human PGK1. The exact sequence is proprietary.
- 亚型:
IgG
- 形态:
Liquid
- 保存条件:
Store as concentrated solution. Centrifuge briefly prior to opening vial. For short-term storage (1-2 weeks), store at 4ºC. For long-term storage, aliquot and store at -20ºC or below. Avoid multiple freeze-thaw cycles.
- 克隆性:
Polyclonal
- 标记物:
Unconjugated
- 适应物种:
Human, Mouse, Rat, Yeast
- 保质期:
12 months from the shipping date of the product.
- 抗原来源:
Human
- 目录编号:
GTX107614
- 级别:
Primary Antibodies
- 库存:
Available
- 供应商:
GeneTex
- 宿主:
Rabbit
- 应用范围:
WB, ICC/IF, IHC-P, IP, ELISA, PLA
- 浓度:
0.048 mg/ml (Please refer to the vial label for the specific concentration.)
- 靶点:
PGK1
- 抗体英文名:
PGK1 antibody
- 抗体名:
PGK1 抗体
- 规格:
100 μl/25 μl
| 规格: | 100 μl | 产品价格: | ¥4000.0 |
|---|---|---|---|
| 规格: | 25 μl | 产品价格: | ¥1700.0 |
PGK1 antibody detects PGK1 protein by western blot analysis. Various whole cell extracts (30 μg) were separated by 10% SDS-PAGE, and the membrane was blotted with PGK1 antibody (GTX107614) diluted by 1:1000. The HRP-conjugated anti-rabbit IgG antibody (GTX213110-01) was used to detect the primary antibody.
Non-transfected (–) and transfected (+) 293T whole cell extracts (30 μg) were separated by 10% SDS-PAGE, and the membrane was blotted with PGK1 antibody (GTX107614) diluted at 1:1000. The HRP-conjugated anti-rabbit IgG antibody (GTX213110-01) was used to detect the primary antibody.
PGK1 antibody detects PGK1 protein by western blot analysis.
A. 50 μg Rat liver lysate/extract
10% SDS-PAGE
PGK1 antibody (GTX107614) dilution: 1:1000
The HRP-conjugated anti-rabbit IgG antibody (GTX213110-01) was used to detect the primary antibody.
PGK1 antibody detects PGK1 protein in 1% O2-treated samples by western blot analysis.
Upper panel: PGK1 antibody (GTX107614)
Lower panel: beta Actin antibody (GTX109639)
A. 30 μg HeLa whole cell lysate/extract (untreated)
B. 30 μg HeLa whole cell lysate/extract (1% O2 treatment for 24hr)
10% SDS PAGE
PGK1 antibody (GTX107614) dilution: 1:1000
beta Actin antibody (GTX109639) dilution: 1:10000
The HRP-conjugated anti-rabbit IgG antibody (GTX213110-01) was used to detect the primary antibody.
Non-transfected (–) and transfected (+) 293T whole cell extracts (30 μg) were separated by 10% SDS-PAGE, and the membrane was blotted with PGK1 antibody (GTX107614) diluted at 1:3000. The HRP-conjugated anti-rabbit IgG antibody (GTX213110-01) was used to detect the primary antibody.
Immunofluorescence analysis of methanol-fixed HeLa, using PGK1(GTX107614) antibody at 1:50 dilution.
Sample (50 μg of whole cell lysate)
A: Mouse brain
10% SDS PAGE
GTX107614 diluted at 1:1000
The HRP-conjugated anti-rabbit IgG antibody (GTX213110-01) was used to detect the primary antibody.
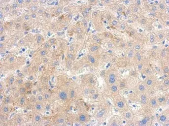
Immunohistochemical analysis of paraffin-embedded human hepatoma, using PGK1 antibody(GTX107614) antibody at 1:500 dilution.
Antigen Retrieval: Trilogy™ (EDTA based, pH 8.0) buffer, 15min
PGK1 antibody detects PGK1 protein at cytoplasm and nucleus by immunofluorescent analysis.
Sample: HeLa cells were fixed in 4% PFA at RT for 15 min.
Green: PGK1 protein stained by PGK1 antibody (GTX107614) diluted at 1:20.
Red: alpha Tubulin, a cytoskeleton marker, stained by alpha Tubulin antibody [B-5-1-2] (GTX11304) diluted at 1:10000.
Blue: Hoechst 33342 staining.
风险提示:丁香通仅作为第三方平台,为商家信息发布提供平台空间。用户咨询产品时请注意保护个人信息及财产安全,合理判断,谨慎选购商品,商家和用户对交易行为负责。对于医疗器械类产品,请先查证核实企业经营资质和医疗器械产品注册证情况。
文献和实验Somatilaka BN et al., Dev Cell 2020 (PMID:32702291)
Nan H et al., Nat Commun 2019 (PMID:30664652)
Yeh YH et al., J Exp Clin Cancer Res 2018 (PMID:29587825)
Chang SJ et al., Arch Biochem Biophys 2018 (PMID:29655550)
Silva LS et al., EMBO Rep 2017 (PMID:29066459)
Wu YH et al., PLoS One 2013 (PMID:23990911)
Lee SO et al., Mol Cancer Res 2014 (PMID:24515801)
Lin LL et al., BMC Genomics 2015 (PMID:25652794)
Drusenheimer N et al., PLoS Genet 2015 (PMID:26720614)
Chen JY et al., J Nutr Biochem 2013 (PMID:24011924)
Ogawa T et al., Physiol Rep 2023 (PMID:36802195)
Kerrie-Ann McMahon et al., Elife 2021 (PMID:34142659)
Chang YC et al., Cell Death Discov 2021 (PMID:34091600)
Generation of Antibody Molecules Through Antibody Engineering
been overcome to a large extent using genetic-engineering techniques to produce chimeric mouse/human and completely human antibodies. Such an approach is particularly suitable because of the domain structure of the antibody molecule ( 2 ), where functional
The importance of antibody molecules was first recognized in the 1890s, when it was shown that immunity to tetanus and diphtheria was caused by antibodies against the bacterial exotoxins (1 ). Around the same time, it was shown that antisera
General comments: Antibodies, like most proteins, do not like to be freeze-thawed. Avoid repetitive freezing of your solution. The best way to store your antibody is to keep a high protein concentration (>1 mg/ml), add some protease
技术资料暂无技术资料 索取技术资料









