相关产品推荐更多 >
万千商家帮你免费找货
0 人在求购买到急需产品
- 详细信息
- 文献和实验
- 技术资料
- 免疫原:
Recombinant protein encompassing a sequence within the center region of human IL1 Receptor antagonist. The exact sequence is proprietary.
- 亚型:
IgG
- 形态:
Liquid
- 保存条件:
Store as concentrated solution. Centrifuge briefly prior to opening vial. For short-term storage (1-2 weeks), store at 4ºC. For long-term storage, aliquot and store at -20ºC or below. Avoid multiple freeze-thaw cycles.
- 克隆性:
Polyclonal
- 标记物:
Unconjugated
- 适应物种:
Human, Mouse, Rat
- 保质期:
12 months from the shipping date of the product.
- 抗原来源:
Human
- 目录编号:
GTX106490
- 级别:
Primary Antibodies
- 库存:
Available
- 供应商:
GeneTex
- 宿主:
Rabbit
- 应用范围:
WB, ICC/IF, IHC-P
- 浓度:
0.86 mg/ml (Please refer to the vial label for the specific concentration.)
- 靶点:
IL1 Receptor antagonist
- 抗体英文名:
IL1 Receptor antagonist antibody
- 抗体名:
IL1 Receptor antagonist 抗体
- 规格:
100 μl/25 μl
| 规格: | 100 μl | 产品价格: | ¥4000.0 |
|---|---|---|---|
| 规格: | 25 μl | 产品价格: | ¥1700.0 |
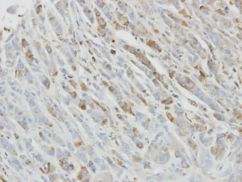
Immunohistochemical analysis of paraffin-embedded PC3 xenograft, using IL1 Receptor antagonist(GTX106490) antibody at 1:500 dilution.
Antigen Retrieval: Citrate buffer, pH 6.0, 15 min
Various whole cell extracts (30 μg) were separated by 15% SDS-PAGE, and the membrane was blotted with IL1 Receptor antagonist antibody (GTX106490) diluted at 1:1000. The HRP-conjugated anti-rabbit IgG antibody (GTX213110-01) was used to detect the primary antibody. Corresponding RNA expression data for the same cell lines are based on Human Protein Atlas program.
IL1 Receptor antagonist antibody detects IL1 Receptor antagonist protein by Western blot analysis. Various whole cell extracts (30 μg) were separated by 15 % SDS-PAGE, and blotted with IL1 Receptor antagonist antibody (GTX106490) diluted by 1:1000
Immunofluorescence analysis of methanol-fixed HeLa, using IL1ra antagonist (GTX106490) antibody at 1:200 dilution.
IL1 Receptor antagonist antibody detects IL1RN protein by western blot analysis.
A. 30 μg Neuro2A whole lysate/extract
B. 30 μg C8D30 whole cell lysate/extract
C. 30 μg NIH-3T3 whole cell lysate/extract
D. 30 μg Raw264.7 whole cell lysate/extract
E. 30 μg C2C12 whole cell lysate/extract
15% SDS-PAGE
IL1 Receptor antagonist antibody (GTX106490) dilution: 1:1000
The HRP-conjugated anti-rabbit IgG antibody (GTX213110-01) was used to detect the primary antibody.
IL1 Receptor antagonist antibody detects IL1RN protein by western blot analysis.
A. 30 μg PC-12 whole cell lysate/extract
15% SDS-PAGE
IL1 Receptor antagonist antibody (GTX106490) dilution: 1:1000
The HRP-conjugated anti-rabbit IgG antibody (GTX213110-01) was used to detect the primary antibody.
风险提示:丁香通仅作为第三方平台,为商家信息发布提供平台空间。用户咨询产品时请注意保护个人信息及财产安全,合理判断,谨慎选购商品,商家和用户对交易行为负责。对于医疗器械类产品,请先查证核实企业经营资质和医疗器械产品注册证情况。
文献和实验Hao B et al., Transl Oncol 2023 (PMID:36270103)
Chemokine Receptor Antagonist Development
This chapter describes assays that focus on the characterization of compounds identified in high-�throughput screening campaigns, and the subsequent medicinal chemistry programs. They cover methods to determine potency
Developing a Photoreactive Antagonist
approach for developing small molecules that, upon irradiation with light, may be used to rapidly inactivate targeted proteins expressed on the surfaces of cells. Highlighted is ANQX, a photoreactive AMPA receptor antagonist developed to irreversibly
Prasugrel: A Novel Platelet ADP P2Y12 Receptor Antagonist
than clopidogrel without an unacceptable increase in hemorrhagic or other side effects. Prasugrel (CS-747; LY-640315), a novel third-generation oral thienopyridine, is a specific, irreversible antagonist of the platelet ADP P2Y12 receptor. Pre-clinical and early
技术资料暂无技术资料 索取技术资料





![beta Tubulin 3/ Tuj1 antibody [2E9]](https://img1.dxycdn.com/2023/0711/451/6106825198874858761-14.jpg!wh200)



