相关产品推荐更多 >
万千商家帮你免费找货
0 人在求购买到急需产品
- 详细信息
- 文献和实验
- 技术资料
- 免疫原:
Recombinant protein encompassing a sequence within the center region of human Glycine Receptor alpha 1. The exact sequence is proprietary.
- 亚型:
IgG
- 形态:
Liquid
- 保存条件:
Store as concentrated solution. Centrifuge briefly prior to opening vial. For short-term storage (1-2 weeks), store at 4ºC. For long-term storage, aliquot and store at -20ºC or below. Avoid multiple freeze-thaw cycles.
- 克隆性:
Polyclonal
- 标记物:
Unconjugated
- 适应物种:
Human, Rat
- 保质期:
12 months from the shipping date of the product.
- 抗原来源:
Human
- 目录编号:
GTX106112
- 级别:
Primary Antibodies
- 库存:
Available
- 供应商:
GeneTex
- 宿主:
Rabbit
- 应用范围:
WB, ICC/IF, IHC-P
- 浓度:
0.43 mg/ml (Please refer to the vial label for the specific concentration.)
- 靶点:
Glycine Receptor alpha 1
- 抗体英文名:
Glycine Receptor alpha 1 antibody [N1C1]
- 抗体名:
Glycine Receptor alpha 1 抗体 [N1C1]
- 规格:
100 μl/25 μl
| 规格: | 100 μl | 产品价格: | ¥4000.0 |
|---|---|---|---|
| 规格: | 25 μl | 产品价格: | ¥1700.0 |
Sample(30 μg of whole cell lysate)
A:HeLa S3(GTX14654)
7.5% SDS PAGE
GTX106112 diluted at 1:1500
Glycine Receptor alpha 1 antibody [N1C1] detects Glycine Receptor alpha 1 protein by immunofluorescent analysis.
Sample: DIV9 rat E18 primary cortical neuron cells were fixed in 4% PFA at RT for 15 min.
Green: Glycine Receptor alpha 1 stained by Glycine Receptor alpha 1 antibody [N1C1] (GTX106112) diluted at 1:500.
Red: beta Tubulin 3/ Tuj1, stained by beta Tubulin 3/ Tuj1 antibody [GT1338] (GTX631831) diluted at 1:500.
Blue: Fluoroshield with DAPI (GTX30920).
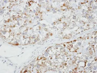
Immunohistochemical analysis of paraffin-embedded OVCA xenograft, using Glycine Receptor alpha1(GTX106112) antibody at 1:100 dilution.
Antigen Retrieval: Trilogy™ (EDTA based, pH 8.0) buffer, 15min
风险提示:丁香通仅作为第三方平台,为商家信息发布提供平台空间。用户咨询产品时请注意保护个人信息及财产安全,合理判断,谨慎选购商品,商家和用户对交易行为负责。对于医疗器械类产品,请先查证核实企业经营资质和医疗器械产品注册证情况。
文献和实验in detail here. The first protocol is essentially a dual-pulldown assay employing Flag-tagged DNMT3A or antibody of choice for an endogenous protein and 5' biotin linked antisense RNA (Figure 1a), while the second protocol is a triple pulldown assay which essentially expands
PriCells: Introduction of Isolation and Culture of Human Alveolar Epithelial Cells
markers, specific for type I cells, have been described in the recent past. The first one was T1α, a 36-kDa glycoprotein found in rodent lungs. Antibodies have been developed against lung proteins that specifically label type I cells in human lung
of adhesion receptor, platelet glycoprotein Ib alpha14-3-3 brain protein homologs in plantsThe 14-3-3 proteins, BMH1 and BMH2, are essential in Saccharomyces cerevisiaeA single Arabidopsis protein has characteristics of diverse 14-3-3 homologues Expression
技术资料暂无技术资料 索取技术资料








![Rho GDI alpha antibody [1F2]](https://img1.dxycdn.com/2023/0711/451/6106825198874858761-14.jpg!wh200)

