相关产品推荐更多 >
万千商家帮你免费找货
0 人在求购买到急需产品
- 详细信息
- 文献和实验
- 技术资料
- 免疫原:
Recombinant protein encompassing a sequence within the center region of human IDH1. The exact sequence is proprietary.
- 亚型:
IgG
- 形态:
Liquid
- 保存条件:
Store as concentrated solution. Centrifuge briefly prior to opening vial. For short-term storage (1-2 weeks), store at 4ºC. For long-term storage, aliquot and store at -20ºC or below. Avoid multiple freeze-thaw cycles.
- 克隆性:
Polyclonal
- 标记物:
Unconjugated
- 适应物种:
Human, Mouse, Rat
- 保质期:
12 months from the shipping date of the product.
- 抗原来源:
Human
- 目录编号:
GTX105179
- 级别:
Primary Antibodies
- 库存:
Available
- 供应商:
GeneTex
- 宿主:
Rabbit
- 应用范围:
WB, IHC-P, IP
- 浓度:
0.69 mg/ml (Please refer to the vial label for the specific concentration.)
- 靶点:
IDH1
- 抗体英文名:
IDH1 antibody
- 抗体名:
IDH1 抗体
- 规格:
100 μl/25 μl
| 规格: | 100 μl | 产品价格: | ¥4000.0 |
|---|---|---|---|
| 规格: | 25 μl | 产品价格: | ¥1700.0 |
Non-transfected (–) and transfected (+) HepG2 whole cell extracts (30 μg) were separated by 10% SDS-PAGE, and the membrane was blotted with IDH1 antibody (GTX105179) diluted at 1:5000. The HRP-conjugated anti-rabbit IgG antibody (GTX213110-01) was used to detect the primary antibody.
Wild-type (WT) andIDH1 knockout (KO) HeLa cell extracts (30 μg) were separated by 10% SDS-PAGE, and the membrane was blotted with IDH1 antibody (GTX105179) diluted at 1:500. The HRP-conjugated anti-rabbit IgG antibody (GTX213110-01) was used to detect the primary antibody.
Various whole cell extracts (30 μg) were separated by 7.5% SDS-PAGE, and the membranes were blotted with IDH1 antibody (GTX105179) diluted at 1:1000 and competitor's antibody (CST#8137) diluted at 1:1000. The HRP-conjugated anti-rabbit IgG antibody (GTX213110-01) was used to detect the primary antibody.
IDH1 antibody detects IDH1 protein by Western blot analysis.
A. 30 μg Neuro2A whole cell extract
B. 30 μg C8D30 whole cell extract
C. 30 μg NIH-3T3 whole cell extract
D. 30 μg Raw 264.7 whole cell extract
E. 30 μg C2Cl2 whole cell extract
10 % SDS-PAGE
IDH1 antibody (GTX105179) dilution: 1:1000
IDH1 antibody detects IDH1 protein at cytoplasm by immunohistochemical analysis.
Sample: Paraffin-embedded rat duodenum.
IDH1 stained by IDH1 antibody (GTX105179) diluted at 1:1000.
Antigen Retrieval: Citrate buffer, pH 6.0, 15 min
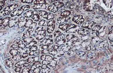
IDH1 antibody detects IDH1 protein at cytoplasm by immunohistochemical analysis.
Sample: Paraffin-embedded rat colon.
IDH1 stained by IDH1 antibody (GTX105179) diluted at 1:1000.
Antigen Retrieval: Citrate buffer, pH 6.0, 15 min
IDH-1 antibody immunoprecipitates IDH-1 protein in IP experiments. IP Sample: HepG2 whole cell lysate/extract A : 30 μg whole cell lysate/extract of IDH1 protein expressing HepG2 cells B : Control with 2.5 μg of pre-immune rabbit IgG C : Immunoprecipitation of IDH-1 protein by 2.5 μg of IDH-1 antibody (GTX105179) 10% SDS-PAGE The immunoprecipitated IDH-1 protein was detected by IDH-1 antibody (GTX105179) diluted at 1 : 1000. EasyBlot anti-rabbit IgG (HRP) (GTX221666-01) was used as a secondary reagent.
IDH1 antibody detects IDH1 protein at cytoplasm by immunohistochemical analysis.
Sample: Paraffin-embedded mouse brain.
IDH1 stained by IDH1 antibody (GTX105179) diluted at 1:1000.
Antigen Retrieval: Citrate buffer, pH 6.0, 15 min
IDH1 antibody detects IDH1 protein at cytoplasm by immunohistochemical analysis.
Sample: Paraffin-embedded mouse intestine.
IDH1 stained by IDH1 antibody (GTX105179) diluted at 1:1000.
Antigen Retrieval: Citrate buffer, pH 6.0, 15 min
Non-transfected (–) and transfected (+) 293T whole cell extracts (30 μg) were separated by 10% SDS-PAGE, and the membrane was blotted with IDH1 antibody (GTX105179) diluted at 1:5000. The HRP-conjugated anti-rabbit IgG antibody (GTX213110-01) was used to detect the primary antibody.
风险提示:丁香通仅作为第三方平台,为商家信息发布提供平台空间。用户咨询产品时请注意保护个人信息及财产安全,合理判断,谨慎选购商品,商家和用户对交易行为负责。对于医疗器械类产品,请先查证核实企业经营资质和医疗器械产品注册证情况。
文献和实验Hedrick E et al., Breast Cancer Res Treat 2019 (PMID:31119568)
Liu WS et al., Breast Cancer Res 2018 (PMID:29661250)
Chou NH et al., Anticancer Res 2016 (PMID:27466503)
Chen JF et al., J Pharm Biomed Anal 2020 (PMID:32460214)
Safe S et al., Mol Cancer Res 2019 (PMID:31462501)
Generation of Antibody Molecules Through Antibody Engineering
been overcome to a large extent using genetic-engineering techniques to produce chimeric mouse/human and completely human antibodies. Such an approach is particularly suitable because of the domain structure of the antibody molecule ( 2 ), where functional
The importance of antibody molecules was first recognized in the 1890s, when it was shown that immunity to tetanus and diphtheria was caused by antibodies against the bacterial exotoxins (1 ). Around the same time, it was shown that antisera
General comments: Antibodies, like most proteins, do not like to be freeze-thawed. Avoid repetitive freezing of your solution. The best way to store your antibody is to keep a high protein concentration (>1 mg/ml), add some protease
技术资料暂无技术资料 索取技术资料






![Amylin antibody [R10/99]](https://custom.dxycdn.com/trademd/upload/pic/2011/12/14/1323695845.jpg!small.t.1)



