相关产品推荐更多 >
万千商家帮你免费找货
0 人在求购买到急需产品
- 详细信息
- 文献和实验
- 技术资料
- 免疫原:
Carrier-protein conjugated synthetic peptide encompassing a sequence within the C-terminus region of human SIPA1. The exact sequence is proprietary.
- 亚型:
IgG
- 形态:
Liquid
- 保存条件:
Store as concentrated solution. Centrifuge briefly prior to opening vial. For short-term storage (1-2 weeks), store at 4ºC. For long-term storage, aliquot and store at -20ºC or below. Avoid multiple freeze-thaw cycles.
- 克隆性:
Polyclonal
- 标记物:
Unconjugated
- 适应物种:
Human, Mouse
- 保质期:
12 months from the shipping date of the product.
- 抗原来源:
Human
- 目录编号:
GTX104786
- 级别:
Primary Antibodies
- 库存:
Available
- 供应商:
GeneTex
- 宿主:
Rabbit
- 应用范围:
WB, ICC/IF, IHC-P
- 浓度:
1 mg/ml (Please refer to the vial label for the specific concentration.)
- 靶点:
SIPA1
- 抗体英文名:
SIPA1 antibody [C3], C-term
- 抗体名:
SIPA1 抗体 [C3], C-term
- 规格:
100 μl/25 μl
| 规格: | 100 μl | 产品价格: | ¥4000.0 |
|---|---|---|---|
| 规格: | 25 μl | 产品价格: | ¥1700.0 |
Western Blot analysis of SIPA1 expression in transfected 293T cell line by SIPA1 polyclonal antibody.
A: Non-transfected lysate.
B: SIPA1 transfected lysate.
7.5% SDS PAGE
GTX104786 diluted at 1:500
SIPA1 antibody [C3], C-term detects SIPA1 protein at weak membrane and cytosol on Cal27 xenograft by immunohistochemical analysis.
Sample: Paraffin-embedded Cal27 xenograft.
SIPA1 antibody [C3], C-term (GTX104786) dilution: 1:500.
Antigen Retrieval: Trilogy™ (EDTA based, pH 8.0) buffer, 15min
Immunofluorescence analysis of methanol-fixed mouse ESC, using SIPA1(GTX104786) antibody at 1:200 dilution.
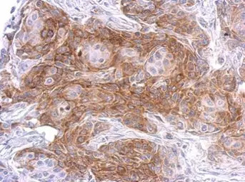
SIPA1 antibody [C3], C-term detects SIPA1 protein at weak membrane and cytosol on HBL435 xenograft by immunohistochemical analysis.
Sample: Paraffin-embedded HBL435 xenograft.
SIPA1 antibody [C3], C-term (GTX104786) dilution: 1:500.
Antigen Retrieval: Trilogy™ (EDTA based, pH 8.0) buffer, 15min
风险提示:丁香通仅作为第三方平台,为商家信息发布提供平台空间。用户咨询产品时请注意保护个人信息及财产安全,合理判断,谨慎选购商品,商家和用户对交易行为负责。对于医疗器械类产品,请先查证核实企业经营资质和医疗器械产品注册证情况。
文献和实验补体成分 C3(C3a/C3b) 补体成分:C3 血清浓度(μg/ml):550-1200 分子量(kDa):195 亚单位(链)及分子量(kDa):α∶110;β∶85 激活产物:C3a;C3b 生物学活性:C3a 过敏毒素、趋化作用等。 C3b 组成CP、AP中的C3、C5转化
上海西唐生物科技有限公司 021-55229872, 65333639 www.westang.com 大鼠补体 C3(C3)ELISA 试剂盒 ( 用于血清、血浆、细胞培养上清液和生物体液内 ) 原理 本实验采用双抗体夹心 ABC-ELISA 法。用抗大鼠 C3 单抗包被于酶标板上,标准品和样品中的 C3 与单抗结合,加入生物素化的抗大鼠 C3 ,形成免疫复合物连接在板上,辣根
人补体C3 (C3)ELISA 试剂盒 ( 用于血清、血浆、细胞培养上清液和其它生物体液内 ) 原理 本实验采用双抗体夹心 ABC-ELISA 法。用抗人 C3 单抗包被于酶标板上,标准品和样品中的 C3与单抗结合,加入生物素化的抗人 C3 ,形成免疫复合物连接在板上,辣根过氧化物酶标记的 Streptavidin 与生物素结合,加入底物工作液显蓝色,最后加终止液硫酸,在 450nm 处测
技术资料暂无技术资料 索取技术资料





![GPR128 antibody [N1N3]](https://img1.dxycdn.com/2023/0711/255/2344116916935858761-14.jpg!wh200)

![DISC1 antibody [N1], N-term](https://img1.dxycdn.com/2023/0516/045/6925717576889828561-14.jpg!wh200)
![CD11b antibody [ED7]](https://img1.dxycdn.com/2023/0711/451/6106825198874858761-14.jpg!wh200)

