相关产品推荐更多 >
万千商家帮你免费找货
0 人在求购买到急需产品
- 详细信息
- 文献和实验
- 技术资料
- 免疫原:
Carrier-protein conjugated synthetic peptide encompassing a sequence within the C-terminus region of human PI3 kinase p110 gamma. The exact sequence is proprietary.
- 亚型:
IgG
- 形态:
Liquid
- 保存条件:
Store as concentrated solution. Centrifuge briefly prior to opening vial. For short-term storage (1-2 weeks), store at 4ºC. For long-term storage, aliquot and store at -20ºC or below. Avoid multiple freeze-thaw cycles.
- 克隆性:
Polyclonal
- 标记物:
Unconjugated
- 适应物种:
Human, Mouse, Rat
- 保质期:
12 months from the shipping date of the product.
- 抗原来源:
Human
- 目录编号:
GTX104639
- 级别:
Primary Antibodies
- 库存:
Available
- 供应商:
GeneTex
- 宿主:
Rabbit
- 应用范围:
WB, IHC-P
- 浓度:
1 mg/ml (Please refer to the vial label for the specific concentration.)
- 靶点:
PI3 kinase p110 gamma
- 抗体英文名:
PI3 kinase p110 gamma antibody [C3], C-term
- 抗体名:
PI3 kinase p110 gamma 抗体 [C3], C-term
- 规格:
100 μl/25 μl
| 规格: | 100 μl | 产品价格: | ¥4000.0 |
|---|---|---|---|
| 规格: | 25 μl | 产品价格: | ¥1700.0 |
Various whole cell extracts (30 μg) were separated by 5% SDS-PAGE, and the membrane was blotted with PI3 kinase p110 gamma antibody [C3], C-term (GTX104639) diluted at 1:500. The HRP-conjugated anti-rabbit IgG antibody (GTX213110-01) was used to detect the primary antibody.
Non-transfected (–) and transfected (+) 293T whole cell extracts (30 μg) were separated by 7.5% SDS-PAGE, and the membrane was blotted with PI3 kinase p110 gamma antibody [C3], C-term (GTX104639) diluted at 1:500. The HRP-conjugated anti-rabbit IgG antibody (GTX213110-01) was used to detect the primary antibody.
Whole cell extract (30 μg) was separated by 7.5% SDS-PAGE, and the membrane was blotted with PI3 kinase p110 gamma antibody [C3], C-term (GTX104639) diluted at 1:1000. The HRP-conjugated anti-rabbit IgG antibody (GTX213110-01) was used to detect the primary antibody.
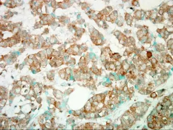
Immunohistochemical analysis of paraffin-embedded Human Breast Cancer, using PI3K gamma(GTX104639) antibody.
Antigen Retrieval: Trilogy™ (EDTA based, pH 8.0) buffer, 15min
风险提示:丁香通仅作为第三方平台,为商家信息发布提供平台空间。用户咨询产品时请注意保护个人信息及财产安全,合理判断,谨慎选购商品,商家和用户对交易行为负责。对于医疗器械类产品,请先查证核实企业经营资质和医疗器械产品注册证情况。
文献和实验-3-3 associates with several tyrosine-phosphorylated proteins and phosphatidylinositol 3-kinase (PI3-K) in T cells. We report here the identification of the 120-kDa 14-3-3tau-binding phosphoprotein present in activated T cell lysates as Cbl, a protooncogene
Introduction of human 14-3-3 proteins
with several tyrosine-phosphorylated proteins and phosphatidylinositol 3-kinase (PI3-K)in T cells.We report here the identification of the 120-kDa 14-3-3tau-binding phosphoprotein present in activated T cell lysates as Cbl,a protooncogene product of unknown function
[资源] 所有的看家基因(housekeeping genes)列表+引物设计服务
, macropain) activator subunit 2 (PA28 beta) (PSME2), mRNA 697 NM_002733 Homo sapiens protein kinase, AMP-activated, gamma 1 non-catalytic subunit (PRKAG1), mRNA 497 NM_002631 Homo sapiens phosphogluconate dehydrogenase (PGD), mRNA 1009 NM_002574 Homo
技术资料暂无技术资料 索取技术资料





![GFP antibody [GT7312]](https://img1.dxycdn.com/2023/0711/451/6106825198874858761-14.jpg!wh200)



